Nasal Cavity Cancer with Distal Phalanx Metastasis: An Extremely Rare Case Report
CC BY-NC-ND 4.0 ? Indian J Med Paediatr Oncol 2019; 40(S 01): S117-S119
DOI: DOI: 10.4103/ijmpo.ijmpo_255_17
Abstract
Cancers of nasal cavity are relatively uncommon; and osseous metastases distal to the elbow and knee joints are also very rare. We herein report the two rare occurrences of nasal cavity carcinoma and acrometastasis together in the same patient, which is the first such case report to the best of our knowledge. The features associated with acrometastasis in the present study are similar to what has been cited in the literature, such as male gender, older age, widespread metastasis, single bone metastasis, lytic lesion, third finger, distal phalanx, poor prognosis, and short survival; however, involvement of left hand and nasal cavity as the primary site of tumor were the exceptions.
Publication History
Article published online:
24 May 2021
? 2019. Indian Society of Medical and Paediatric Oncology. This is an open access article published by Thieme under the terms of the Creative Commons Attribution-NonDerivative-NonCommercial-License, permitting copying and reproduction so long as the original work is given appropriate credit. Contents may not be used for commercial purposes, or adapted, remixed, transformed or built upon. (https://creativecommons.org/licenses/by-nc-nd/4.0/).
Thieme Medical and Scientific Publishers Pvt. Ltd.
A-12, 2nd Floor, Sector 2, Noida-201301 UP, India
Abstract
Cancers of nasal cavity are relatively uncommon; and osseous metastases distal to the elbow and knee joints are also very rare. We herein report the two rare occurrences of nasal cavity carcinoma and acrometastasis together in the same patient, which is the first such case report to the best of our knowledge. The features associated with acrometastasis in the present study are similar to what has been cited in the literature, such as male gender, older age, widespread metastasis, single bone metastasis, lytic lesion, third finger, distal phalanx, poor prognosis, and short survival; however, involvement of left hand and nasal cavity as the primary site of tumor were the exceptions.
Introduction
Cancers of the nasal cavity are relatively uncommon. They are usually seen after the age of 40 years, and men are affected twice more common than women. Most of the nasal cavity tumors are squamous cell carcinomas; adenocarcinomas have been reported to occur more frequently in carpenters and sawmill workers. Cigarette smoking doubles the risk of nasal cancer. The usual signs and symptoms are chronic unilateral discharge, ulcer, obstruction, anterior headache, and intermittent epistaxis; mimicking nasal polyps, which delays the diagnosis. They usually spread locally; distant spread, both lymphatic and hematogenous, is uncommon. The treatment options available to treat nasal cavity tumors are surgical resection, radiotherapy, and chemotherapy depending on the stage of tumor and performance status of the patient.
Case Report
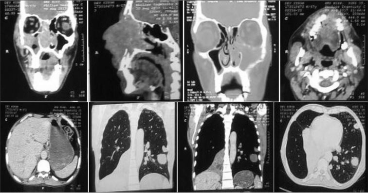
We herein report a case of a 56-year-old male, who presented to us with complaints of swelling over the nose associated with nasal blockade and discharge for past 1 year with increase in growth for past 3 months, swelling and pain in the left middle finger for past 3 months, and difficulty in breathing for past 1 month. The physical examination revealed swollen middle finger of left hand and exophytic mass replacing the nasal cavity [Figure 1]. The X-ray (anteroposterior and lateral views) of the left hand demonstrated lytic destruction of distal phalanx of middle finger [Figure 2]. The chest X-ray (posteroanterior view) demonstrated bilateral lung metastases [Figure 2], which was further confirmed by contrast-enhanced computed tomography (CECT) of thorax [Figure 3]. CECT of head and neck revealed an enhancing lesion in nasal cavity with the destruction of nasal cavity and extension into maxillary sinus and nasopharynx [Figure 3].
|?Figure. 1? Clinical picture of the patient showing nas
|?Figure. 2? X-ray of chest (postero-anterior view) and left hand (anteroposterior and lateral view)
|?Figure. 3? Contrast-enhanced computed tomography of head and neck, thorax, and upper abdomen
Due to the presence of widespread metastasis, the patient was given a single fraction of 8 Gy conventional radiotherapy to the affected finger over cobalt teletherapy machine, which was followed by relief of more than 50% of pain, 2-weeks postradiotherapy. This was followed by administration of systemic chemotherapy consisting of injection paclitaxel and carboplatin given intravenously according to the body surface area, but unfortunately, the patient succumbed to death before second cycle of chemotherapy.
Discussion
The distribution of metastases in the skeleton corresponds to the presence of active hematopoietic bone marrow; as a result, osseous metastases distal to the elbow and knee joints are rare, accounting for 0.1% of all metastatic osseous involvement in the hand.[1] The first such case was reported by Handley in 1906.[2] The lesion is usually associated with pain, redness or discoloration, tenderness, heat, swelling, erythema, or loss of function, mimicking an infection. An increase in blood flow in dominant hand or release of chemotactic factors (prostaglandins) following a trauma has been suggested as the possible mechanism responsible for the deposition of metastatic tumor cells within the hand, although the exact mechanism still remains unclear.[3] [4]
Men are affected twice more common than women, with the median age of 58 years (range: 18 months to 91 years).[5] Primary lung tumors comprise about 50% of all cancers that metastasize to the hands, followed by kidney (12%) and breast (10%); the other rare primary sites are colon, stomach, liver, prostate, rectum, and numerous other cancers. The right hand was more often involved than the left, and 9% of cases had both hands involved. The third finger was the most commonly affected finger by osseous lesions, followed by thumb, the fourth finger, the second finger, and the fifth finger. The distal phalanx was the region of the digit most commonly affected by bone metastases (28.8%), followed by metacarpal bones (21.8%), proximal phalanges (10.1%), and middle phalanges (6.2%). Single lesions occurred in 74% of the cases. Majority of the cases are diagnosed on X-ray only, the most common radiological finding being a lytic lesion, often extending into the soft tissues; however, this may vary depending on the primary site of the tumor. Bronchial carcinomas are typically osteolytic, metastasizing to a single bone within the hand, whereas breast cancer metastases are sclerotic, lytic, or mixed and often lead to multiple bony lesions.[6] Acrometastases generally accompany widespread disease; as a rule, prognosis is poor and survival is short (average 6 months in most of the cases).[7] Therefore, pain palliation is often the primary objective of treatment in these individuals.[8] Various treatment options available are amputation, radiotherapy, curettage, cementation, chemotherapy, and wide excision, depending on the status of the patient, localization of the lesion, and primary cancer.[9] Amputation was the preferred method of treatment, especially in distal phalanges (19.4%), followed by radiation (11.7), wide excision (5.8%), and systemic therapy (3.9%).
The role of radiotherapy in treating acrometastases has been described by Flynn?et al., who have reported two such cases; a 78-year-old female of non-small-cell lung carcinoma with osteolytic lesion in the proximal left second metacarpal, and a 65-year-old female of breast carcinoma with lytic destruction of proximal two-thirds of the third metacarpal, distal margin of the capitate, and the base of the fifth metacarpal.[10] Both patients had multiple bone metastasis and were treated with a single 8 Gy fraction of palliative radiotherapy, which was associated with relief of pain.
The present case report highlights two rare occurrences in the same patient. With extensive search over PubMed using ?nasal cavity/nasal cavity cancer? and ?acrometastasis/phalangeal metastasis/distal phalanx metastasis,? no article was found citing both the things together in a single paper. Although case reports were found with nasopharyngeal carcinoma presenting with acrometastases, to the best of our knowledge, this is the first report of a case of nasal cavity cancer with acrometastasis. The findings of the present study are similar to what has been cited in the literature, such as male gender, older age, widespread metastasis, single bone metastasis, lytic lesion, third finger, distal phalanx, poor prognosis, and short survival; involvement of left hand and nasal cavity as the primary site of tumor was the exceptions.
Declaration of patient consent
The authors certify that they have obtained all appropriate patient consent forms. In the form the patient(s) has/have given his/her/their consent for his/her/their images and other clinical information to be reported in the journal. The patients understand that their names and initials will not be published and due efforts will be made to conceal their identity, but anonymity cannot be guaranteed.
Conflict of Interest
There are no conflicts of interest.
|?Figure. 1? Clinical picture of the patient showing nas
|?Figure. 2? X-ray of chest (postero-anterior view) and left hand (anteroposterior and lateral view)
|?Figure. 3? Contrast-enhanced computed tomography of head and neck, thorax, and upper abdomen
References
- Drewes J, Sailer R, Schmitt-Gr?ff A.?Cancer metastases of the hand. Handchirurgie 1981; 13: 296-304
- Handley WS.?Cancer of the Breast and Its Operative Treatment. London: John Murray; 1906
- Healey JH, Turnbull AD, Miedema B, Lane JM.?Acrometastases. A study of twenty-nine patients with osseous involvement of the hands and feet. J Bone Joint Surg Am 1986; 68: 743-6
- Joll CA.?Metastatic tumors of bone. Br J Surg 1923; 11: 38-72
- Asencio G, Hafdi C, Pujol H, Allieu Y.?Osseous metastases in the hand. A general review of three cases. Ann Chir Main 1982; 1: 137-45
- Libson E, Bloom RA, Husband JE, Stoker DJ.?Metastatic tumours of bones of the hand and foot. A comparative review and report of 43 additional cases. Skeletal Radiol 1987; 16: 387-92
- Hsu CS, Hentz VR, Yao J.?Tumours of the hand. Lancet Oncol 2007; 8: 157-66
- Amadio PC, Lombardi RM.?Metastatic tumors of the hand. J Hand Surg Am 1987; 12: 311-6
- Ozcanli H, Ozdemir H, Ozenci AM, S?y?nc? Y, Aydin AT.?Metastatic tumors of the hand in three cases. Acta Orthop Traumatol Turc 2005; 39: 445-8
- Flynn CJ, Danjoux C, Wong J, Christakis M, Rubenstein J, Yee A. et al.?Two cases of acrometastasis to the hands and review of the literature. Curr Oncol 2008; 15: 51-8
Address for correspondence
Publication History
Article published online:
24 May 2021
? 2019. Indian Society of Medical and Paediatric Oncology. This is an open access article published by Thieme under the terms of the Creative Commons Attribution-NonDerivative-NonCommercial-License, permitting copying and reproduction so long as the original work is given appropriate credit. Contents may not be used for commercial purposes, or adapted, remixed, transformed or built upon. (https://creativecommons.org/licenses/by-nc-nd/4.0/).
Thieme Medical and Scientific Publishers Pvt. Ltd.
A-12, 2nd Floor, Sector 2, Noida-201301 UP, India
References
- Drewes J, Sailer R, Schmitt-Gr?ff A.?Cancer metastases of the hand. Handchirurgie 1981; 13: 296-304
- Handley WS.?Cancer of the Breast and Its Operative Treatment. London: John Murray; 1906
- Healey JH, Turnbull AD, Miedema B, Lane JM.?Acrometastases. A study of twenty-nine patients with osseous involvement of the hands and feet. J Bone Joint Surg Am 1986; 68: 743-6
- Joll CA.?Metastatic tumors of bone. Br J Surg 1923; 11: 38-72
- Asencio G, Hafdi C, Pujol H, Allieu Y.?Osseous metastases in the hand. A general review of three cases. Ann Chir Main 1982; 1: 137-45
- Libson E, Bloom RA, Husband JE, Stoker DJ.?Metastatic tumours of bones of the hand and foot. A comparative review and report of 43 additional cases. Skeletal Radiol 1987; 16: 387-92
- Hsu CS, Hentz VR, Yao J.?Tumours of the hand. Lancet Oncol 2007; 8: 157-66
- Amadio PC, Lombardi RM.?Metastatic tumors of the hand. J Hand Surg Am 1987; 12: 311-6
- Ozcanli H, Ozdemir H, Ozenci AM, S?y?nc? Y, Aydin AT.?Metastatic tumors of the hand in three cases. Acta Orthop Traumatol Turc 2005; 39: 445-8
- Flynn CJ, Danjoux C, Wong J, Christakis M, Rubenstein J, Yee A. et al.?Two cases of acrometastasis to the hands and review of the literature. Curr Oncol 2008; 15: 51-8
PDF
Views
Share

