Post-transplant Epstein–Barr Virus-Related Lymphoproliferative Disorder: A Case Report and Review of Literature
DOI: 10.4103/ijmpo.ijmpo_241_17
DOI: 24 May 2021
Abstract
Post transplant lympho-proliferative disorders (PTLD) are a serious complications of solid organ transplantation. Solid organ recipients have an increased risk of cancers related to immunosuppression and the Epstein-Barr virus (EBV)-in particular lymphomas and majority of PTLD are of B-cell origin. The occurrence of PTLD in solid organ recipients can have varied clinical presentation and histopathological features. Although lymphoproliferative disorders were initially reported to be rare complication of transplantation, observations in past decade shown that they are common and are associated with poor outcomes. We report the case of a patient with deceased donor liver transplantation for Budd-chiari syndrome, who presented, four years after liver transplantation, with an EBV-associated Burkitt lymphoma with gastrointestinal and extensive skeletal metastasis recovered completely after adjustment of immunosuppressive treatment and chemo-immunotherapy. Our suggestion is that patients with the risk factors like T-cell depleting agents or increasing immunosuppressive therapy must be closely monitored with quantitative EBV PCR. Improvements in immunosuppressive strategies for transplantation and advances in treatment resulted in improved outcomes and long term survival for patients with PTLD.
Keywords
Computed tomography - Epstein?Barr virus - positron emission tomography-computed tomography - post-transplant lymphoproliferative disordersPublication History
Article published online:
24 May 2021
? 2019. Indian Society of Medical and Paediatric Oncology. This is an open access article published by Thieme under the terms of the Creative Commons Attribution-NonDerivative-NonCommercial-License, permitting copying and reproduction so long as the original work is given appropriate credit. Contents may not be used for commercial purposes, or adapted, remixed, transformed or built upon. (https://creativecommons.org/licenses/by-nc-nd/4.0/).
Thieme Medical and Scientific Publishers Pvt. Ltd.
A-12, 2nd Floor, Sector 2, Noida-201301 UP, India
Abstract
Post transplant lympho-proliferative disorders (PTLD) are a serious complications of solid organ transplantation. Solid organ recipients have an increased risk of cancers related to immunosuppression and the Epstein-Barr virus (EBV)-in particular lymphomas and majority of PTLD are of B-cell origin. The occurrence of PTLD in solid organ recipients can have varied clinical presentation and histopathological features. Although lymphoproliferative disorders were initially reported to be rare complication of transplantation, observations in past decade shown that they are common and are associated with poor outcomes. We report the case of a patient with deceased donor liver transplantation for Budd-chiari syndrome, who presented, four years after liver transplantation, with an EBV-associated Burkitt lymphoma with gastrointestinal and extensive skeletal metastasis recovered completely after adjustment of immunosuppressive treatment and chemo-immunotherapy. Our suggestion is that patients with the risk factors like T-cell depleting agents or increasing immunosuppressive therapy must be closely monitored with quantitative EBV PCR. Improvements in immunosuppressive strategies for transplantation and advances in treatment resulted in improved outcomes and long term survival for patients with PTLD.
Keywords
Computed tomography - Epstein?Barr virus - positron emission tomography-computed tomography - post-transplant lymphoproliferative disordersIntroduction
Post-transplant lymphoproliferative disorders (PTLDs) refer to a variety of lymphoid hyperproliferative states that may be noticed in solid organ and bone marrow transplant recipients.[1] The incidence of PTLD in adults is estimated to vary from 1% to 2.3% in renal transplant recipients to 1%?2.8% in liver transplant recipients.[2] Most are B-cell in origin and majority of cases of PTL are the Epstein?Barr virus (EBV)-positive.[3] We report here a patient of Budd?Chiari syndrome who developed Burkitt?s lymphoma (BL) with predominant extranodal and skeletal involvement after 4 years of deceased donor liver transplantation.
Case Report
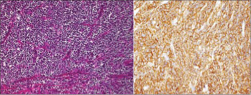
A 43-year-old male patient underwent deceased-donor liver transplantation in June 2012 for the Budd Chiari syndrome. Four years later, he presented with colicky abdominal pain. On examination, the vague nontender mass was found in the right periumbilical and iliac region. Complete blood counts showed hemoglobin of 14 gm/dl, total leukocytes count of 4900/cu mm, and platelet count of 1,89,000/mL. Liver function test revealed total bilirubin of 0.9 mg/dl with direct bilirubin-0.4 mg/dl, alanine transaminase- 64 U/L, aspartate transaminase-55U/L, alkaline phosphatase-78U/L, gamma-glutamyl transferase-78U/L, total protein-7.8 gm/dl, albumin-4gm/dl, internationalized ratio (1.4), serum creatinine-0.7 mg/dl, and blood tacrolimus level of 7 ng/ml. The patient was IgG EBV-positive. Ultrasound abdomen revealed an approximately 5.8 cm ? 3.7 cm ? 3.5 cm sized lesion composed of bowel with the asymmetrically thickened wall in the right iliac fossa. Contrast-enhanced computed tomography (CT) of abdomen revealed thickening of ileum for a length of 6 cm without obstruction. While performing colonoscopy, the distal involved part of the ileum could not be reached. Resection and end-to-end anastomosis was planned. Routine workup for surgery revealed hepatitis B positivity (which was negative before transplant). Mass which was situated about 50 cm from the ileocecal junction was removed, and jejunum to ileal anastomosis was done. Histopathology of small bowel mass showed intermediate-sized, noncleaved, lymphoid cells with high proliferation rate suggestive of Non-Hodgkin?s lymphoma of Burkitt type [Figure 1] with immunohistochemistry positive for CD 10, CD20, BCL-6, and C-myc. Tumor cells also expressed Epstein-Barr encoding region by?in situ?hybridization. They were immune-negative for CD3, MUM-1, and BCL 2. The Mib-1 proliferation index was approximately 100%. Positron emission tomography-CT (PET-CT) revealed hypermetabolic solid adrenal nodule on the left side, most likely suggestive of lymphomatous involvement. Hypermetabolic osseous foci were seen disseminated throughout axial and appendicular skeleton involving the bilateral humeri, clivus, right temporal bone, bilateral clavicles, scapulae, sternum, vertebra, multiple ribs, sacrum, pelvic bones and bilateral femora, SUVmax of reference focus in the right humerus was 22.73, most likely of lymphomatous involvement [Figure 2]. Quantitative polymerase chain reaction (PCR) for EBV revealed 2517 copies/ml. Biopsy from left iliac bone was also suggestive of BL. Bone marrow aspiration done showed basophilic cells with vacuolated cytoplasm, which was suggestive of involvement by BL. The patient was treated with chemoimmunotherapy with three cycles of rituximab, cyclophosphamide, adriamycin, vincristine, and prednisolone with intrathecal methotrexate along with tumor lysis syndrome prophylaxis. After three cycles of chemoimmunotherapy, PET-CT scan revealed complete metabolic and morphologic resolution of the left adrenal gland nodule and skeletal lesions. Very low-grade fluorodeoxyglucose uptake was seen at the sites of increased metabolic activity seen earlier in the musculoskeletal system [Figure 3].
|?Figure. 1? Paraffin block of small bowel mass showed intermediate-sized, noncleaved, lymphoid cells with high proliferation rate suggestive of Non-Hodgkin?s lymphoma of Burkitt type with Mib proliferative index of 100%
|?Figure. 2? The positron emission tomography-computed tomography shows pathological uptake of radiotracer in bones and left adrenal gland
|?Figure. 3? The positron emission tomography-computed tomography showing complete metabolic and morphological resolution in bones and left adrenal gland
Discussion
PTLD is a broad group of disorders ranging from atypical lymphoid proliferations to aggressive type of Non-Hodgkin?s lymphomas in a solid-organ and bone marrow transplant recipients which are the direct result of immunosuppression. The risk factors that have been associated with higher risk of PTLD for a population include EBV seronegativity at the time of transplant, younger age, and amount of immunosuppression.[4] Originally, tacrolimus was assumed to predispose a greater risk than cyclosporine.[5] The World Health Organization classified PTLD into four categories as follows: (1) classic Hodgkin lymphoma-type PTLD, (2) Early lesions, (3) Polymorphic PTLD, and (4) Monomorphic PLTD.[6] Non-Hodgkin?s lymphoma of the diffuse large B-cell lymphoma (DLBCL) type constitute the majority of monomorphic PTLDs (M-PTLD), and rarely, patients can present with a BL phenotype. The high proportion (89%) of post-transplant B-cell PTLD is associated with EBV.[7] It has been shown that EBV promotes B-cell proliferation by expressing an EBV-transforming protein (latent membrane Protein 1) that engages the tumor necrosis factor receptor signal-transduction pathway to activate important regulators of cell growth, differentiation, or survival, such as the nuclear factor-kappa B and mitogen-activated protein kinases.[8] EBV can persist in infected B-cells establishing latent infection after clearance of primary infection. EBV-specific T-cells are decreased in immunocompromised persons that lead to B-cell proliferation.[9] Supplementary tests with immunophenotyping and cytogenetic analysis help in confirming the diagnosis and distinguishing it from a DLBCL. Although the c-MYC translocation is nonspecific and can be seen in up to 10% of DLBCL, the expression of almost 100% Ki-67/MIB-1 proliferation index, positive CD10, and bcl-6 and negative bcl-2, with the morphologic ?starry sky? pattern is diagnostic for BL. Treatment options for EBV-related PTLD include restoring immune response by reducing immunosuppression or targeting the B cells with monoclonal antibodies or chemotherapy. The patient presented with rare, aggressive BL 4 years after liver transplantation. Even though DLBCL constitute the bulk of monomorphic PTLD, other types of lymphoma may also occur. The Mib-1 index of nearly 100%, as well as a monotonous proliferation of intermediate-sized cells and c-myc rearrangement in the patient was diagnostic of BL.[10] The risk factors in our patient for the development of posttransplant BL were immunosuppressive state and high EBV-viral load. Posttransplant BL presenting with nodal involvement following renal and pancreatic transplantation has been reported in 2013 in case reports in oncology. Pasquale?et al. have reported two cases of posttransplant BL presenting with bowel obstruction following a liver transplant in 2002 in pathology oncology research. Both patients were taking tacrolimus as immunosuppressive therapy and were EBV-positive by?in situ?Hybridization technique. Similar to cases reported in literature our patient was also EBV-positive and was on tacrolimus. However, unique feature in our case was extensive skeletal involvement apart from gastrointestinal involvement. We conclude both tacrolimus and EBV positivity are risk factors for the development of PTLDs. We recommend regular follow-up, close monitoring of tacrolimus levels in posttransplant patients. Posttransplant BL is an aggressive disorder, adjuvant chemoimmunotherapy apart from reducing immunosuppression results in prolonged progression-free survival and overall survival in these patients.
Conclusion
In spite of distinct advances in treatment, PTLD remains a dangerous and sometimes, life-threatening complication in patients undergoing solid organ and hematopoietic stem cell transplantation. Therefore, much interest has been there in developing predictive assays to identify patients with early disease. Quantitative EBV load measurement by PCR amplification assays can be a sensitive aid to diagnosis, but it is unfortunately not always specific for disease onset. Prospective randomized clinical trials are needed in future to determine the optimal timing and combination of reducing immunosuppression, rituximab, and combination chemotherapy. In addition, prospective clinical trials are needed to explore novel investigational approaches such as antiviral agents, adoptive T-cell therapy, and mTOR inhibitors for both prophylaxis and treatment of PTLD.
Declaration of patient consent
The authors certify that they have obtained all appropriate patient consent forms. In the form the patient(s) has/have given his/her/their consent for his/her/their images and other clinical information to be reported in the journal. The patients understand that their names and initials will not be published and due efforts will be made to conceal their identity, but anonymity cannot be guaranteed.
Conflict of Interest
There are no conflicts of interest.
- Loren AW, Porter DL, Stadtmauer EA, Tsai DE.?Post-transplant lymphoproliferative disorder: A review. Bone Marrow Transplant 2003; 31: 145-55
- Young LS.?Epstein-Barr virus: General features. In: Mahy BW, van Regenmortel MH. editors Encyclopedia of Virology. Oxford: Academic Press; 2008: 148-57
- Taylor AL, Marcus R, Bradley JA.?Post-transplant lymphoproliferative disorders (PTLD) after solid organ transplantation. Crit Rev Oncol Hematol 2005; 56: 155-67
- Smith JM, Corey L, Healey PJ, Davis CL, McDonald RA.?Adolescents are more likely to develop posttransplant lymphoproliferative disorder after primary Epstein-Barr virus infection than younger renal transplant recipients. Transplantation 2007; 83: 1423-8
- Gross TG, Savoldo B, Punnett A.?Posttransplant lymphoproliferative diseases. Pediatr Clin North Am 2010; 57: 481-503
- Swerdlow SH, Webber SA, Chadburn A, Ferry J.?Post transplant lymphoproliferative disorders. In: Swerdlow SH, Campo E, Harris NL. editors Classification of Tumours of Haematopoietic and Lymphoid Tissues. 4th ed. Lyon, France: International Agency for Research on Cancer; 2008: 342-9
- Saxena A, Dyker KM, Angel S, Moshynska O, Dharampaul S, Cockroft DW. et al.?Posttransplant diffuse large B-cell lymphoma of ?lymphomatoid granulomatosis? type. Virchows Arch 2002; 441: 622-8
- Frank D, Cesarman E, Liu YF, Michler RE, Knowles DM.?Posttransplantation lymphoproliferative disorders frequently contain type A and not type B Epstein-Barr virus. Blood 1995; 85: 1396-403
- Nalesnik MA.?Clinicopathologic characteristics of post-transplant lymphoproliferative disorders. Recent Results Cancer Res 2002; 159: 9-18
- Nakamura N, Nakamine H, Tamaru J, Nakamura S, Yoshino T, Ohshima K. et al.?The distinction between Burkitt lymphoma and diffuse large B-cell lymphoma with c-myc rearrangement. Mod Pathol 2002; 15: 771-6
Address for correspondence
Publication History
Article published online:
24 May 2021
? 2019. Indian Society of Medical and Paediatric Oncology. This is an open access article published by Thieme under the terms of the Creative Commons Attribution-NonDerivative-NonCommercial-License, permitting copying and reproduction so long as the original work is given appropriate credit. Contents may not be used for commercial purposes, or adapted, remixed, transformed or built upon. (https://creativecommons.org/licenses/by-nc-nd/4.0/).
Thieme Medical and Scientific Publishers Pvt. Ltd.
A-12, 2nd Floor, Sector 2, Noida-201301 UP, India
|?Figure. 1? Paraffin block of small bowel mass showed intermediate-sized, noncleaved, lymphoid cells with high proliferation rate suggestive of Non-Hodgkin?s lymphoma of Burkitt type with Mib proliferative index of 100%
|?Figure. 2? The positron emission tomography-computed tomography shows pathological uptake of radiotracer in bones and left adrenal gland
|?Figure. 3? The positron emission tomography-computed tomography showing complete metabolic and morphological resolution in bones and left adrenal gland
References
- Loren AW, Porter DL, Stadtmauer EA, Tsai DE.?Post-transplant lymphoproliferative disorder: A review. Bone Marrow Transplant 2003; 31: 145-55
- Young LS.?Epstein-Barr virus: General features. In: Mahy BW, van Regenmortel MH. editors Encyclopedia of Virology. Oxford: Academic Press; 2008: 148-57
- Taylor AL, Marcus R, Bradley JA.?Post-transplant lymphoproliferative disorders (PTLD) after solid organ transplantation. Crit Rev Oncol Hematol 2005; 56: 155-67
- Smith JM, Corey L, Healey PJ, Davis CL, McDonald RA.?Adolescents are more likely to develop posttransplant lymphoproliferative disorder after primary Epstein-Barr virus infection than younger renal transplant recipients. Transplantation 2007; 83: 1423-8
- Gross TG, Savoldo B, Punnett A.?Posttransplant lymphoproliferative diseases. Pediatr Clin North Am 2010; 57: 481-503
- Swerdlow SH, Webber SA, Chadburn A, Ferry J.?Post transplant lymphoproliferative disorders. In: Swerdlow SH, Campo E, Harris NL. editors Classification of Tumours of Haematopoietic and Lymphoid Tissues. 4th ed. Lyon, France: International Agency for Research on Cancer; 2008: 342-9
- Saxena A, Dyker KM, Angel S, Moshynska O, Dharampaul S, Cockroft DW. et al.?Posttransplant diffuse large B-cell lymphoma of ?lymphomatoid granulomatosis? type. Virchows Arch 2002; 441: 622-8
- Frank D, Cesarman E, Liu YF, Michler RE, Knowles DM.?Posttransplantation lymphoproliferative disorders frequently contain type A and not type B Epstein-Barr virus. Blood 1995; 85: 1396-403
- Nalesnik MA.?Clinicopathologic characteristics of post-transplant lymphoproliferative disorders. Recent Results Cancer Res 2002; 159: 9-18
- Nakamura N, Nakamine H, Tamaru J, Nakamura S, Yoshino T, Ohshima K. et al.?The distinction between Burkitt lymphoma and diffuse large B-cell lymphoma with c-myc rearrangement. Mod Pathol 2002; 15: 771-6
PDF
Views
Share

