Primary Renal Leiomyoma
CC BY 4.0 · Indian J Med Paediatr Oncol 2024; 45(05): 459-460
DOI: DOI: 10.1055/s-0044-1785455
Sir,
Renal leiomyoma is a rare smooth muscle tumor accounting for 0.3%- of all nephrectomies and 1.5%- of all benign neoplasms.[1] They predominantly affect the female population between the second and fifth decades of life. Renal leiomyoma is predominantly asymptomatic and discovered incidentally on autopsy or when the patient is screened for some other symptoms. The most common presentations are abdominal mass, flank pain, and/or microscopic haematuria.[2] In the kidney, the lower pole is commonly involved. Leiomyomas are mostly subcapsular (53%) or capsular (37%), and these occur less often in the renal pelvis (10%) as these sites normally contain smooth muscles.[2] Macroscopically, these tumors are well circumscribed. The cut surfaces appear tan to white with a whorling pattern. Cystic degeneration is common.[3] Microscopically, long interlacing fascicles of spindle cells are seen. The presence of necrosis, atypia, or mitosis warrants the diagnosis of leiomyosarcoma and is hence looked for. Clinically, the important differential diagnosis includes renal cell carcinoma (RCC) and oncocytoma. Microscopically, stromal predominant angiomyolipoma (AML) also needs exclusion through thorough tissue sampling. Immunohistochemically, the diagnosis of leiomyoma is supported by diffuse smooth muscle actin (SMA) positivity and negativity for melanocytic markers (HMB45 and/or Melan-A). Both AML and oncocytoma are benign and require nephron-sparing surgery (NSS) like leiomyoma. However, RCCs are the most common outcome of contrast-enhancing renal mass and need elaborate management.[4] In the case of renal leiomyoma, the choice between partial and radical nephrectomy depends upon the tumor size and its location. There is no documentation of metastasis to date in the literature and most of the patients remain alive.[5]
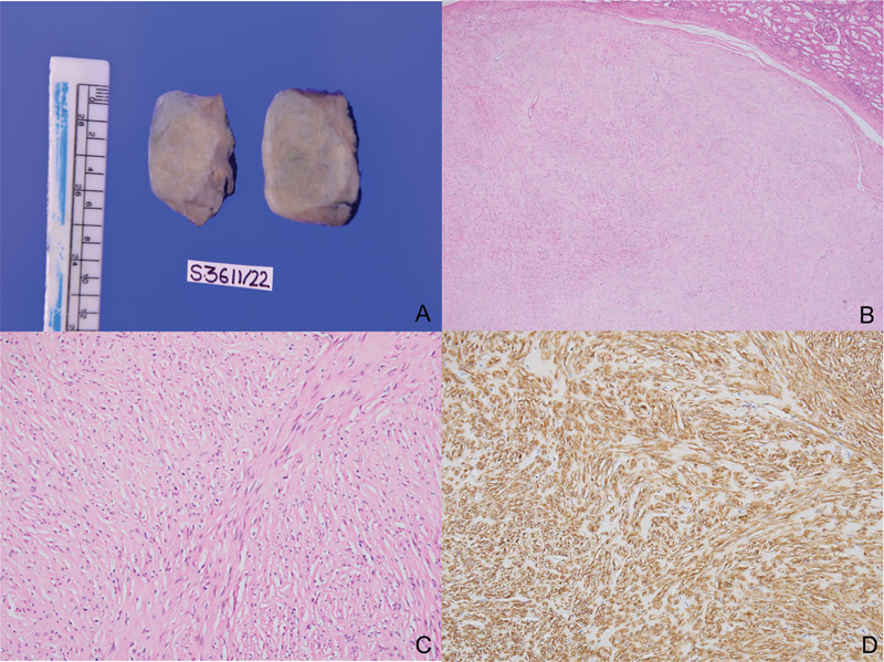
A 56-year-old lady presented with a history of on and off right flank pain for 3 to 4 years. The pain was mild, dull aching and subsided on oral medication. There was no history of hematuria, burning micturition, or any previous significant past medical illness. She was hypertensive for 3 years with regular medication. On evaluation, the complete hemogram and renal and liver function tests were within normal limits. Contrast-enhanced computed tomography (CECT) showed a well-defined soft-tissue lesion measuring 3.6 × 3.0 × 3.1 cm in the mid-pole cortex of the right kidney. On the noncontrast CT scan, the lesion appeared slightly hyperdense to isodense and showed plain CT attenuation of 33 to 46 HU. Furthermore, on the postcontrast scan, the lesion showed mild enhancement of up to 78 HU (maximum); however, it appeared hypodense with respect to renal parenchyma. The lesion showed a slight smooth exophytic bulge into overlying fat at the lateral aspect. Medially, the lesion appeared to merge with the mid-pole pelvicalyceal system. In addition, there was chronic calculous cholecystitis and uterine fibroid measuring 3.0 × 2.2 cm. A robot-assisted laparoscopic right NSS was performed. The specimen was sent for histopathological evaluation. Grossly, the right NSS specimen measured 4 × 3.7 × 2.5 cm. An encapsulated solid tumor was seen measuring 3.6 × 2.5 × 2.6 cm. The cut surface was homogenous, white, and firm with a whorling texture ([Fig. 1A]). No areas of hemorrhage, necrosis, or calcification were noted. A peripheral rim of normal renal parenchyma was identified, measuring 0.3 cm. The histopathological sections showed a well-circumscribed tumor composed of smooth muscle cells arranged in long and short interlacing fascicles ([Fig. 1B]). Additionally, individual tumor cells showed a mild degree of nuclear pleomorphism with spindle-shaped morphology and a moderate amount of eosinophilic cytoplasm. The nuclei appeared cigar shaped with both blunt ends, fine chromatin, and inconspicuous nucleoli ([Fig. 1C]). Mitotic activity was infrequent (<1 href="https://www.thieme-connect.com/products/ejournals/abstract/10.1055/s-0044-1785455#FI231701369-1" xss=removed>Fig. 1D]). Melan-A immunostain was negative. The Ki-67 proliferation index was less than 1%. The surgical resection margin was not involved. In view of morphology and immunohistochemistry, a diagnosis of leiomyoma (pT1a pNx; American Joint Committee on Cancer [AJCC] staging manual, 8th edition) was made. To the best of our knowledge, the association between renal and uterine leiomyomas was not found in the English literature. The patient is doing well after the surgery, and at the 1-year follow-up, she had no recurrence.
Fig. 1 (A) Gross specimen showing a well-circumscribed tumor. The tumor has tan to white color, rubbery texture, and whorled cut surface (scale bar = 2 cm). (B) The microphotograph showing a sharp demarcation from the surrounding normal renal parenchyma (hematoxylin and eosin [H&E]; ×100) immunohistochemistry. (C) The tumor cells are arranged in intersecting fascicles (H&E; ×200). (D) Smooth muscle actin (SMA) shows diffuse strong positivity (×200).
Author Contributions
R.J. and M.P. contributed to the analysis of the pathologic findings and manuscript writing. D.C. contributed to the pathologic analysis and manuscript editing. G.S.B. collected and critically analyzed the clinical data.
The manuscript has been read and approved by all the authors, the requirements for authorship have been met, and each author believes that the manuscript represents honest work.
Ethics Statement
The authors obtained written informed consent for publication from the patient, and the manuscript as per the Institutional Ethics Committee requirements.
Publication History
Article published online:
10 April 2024
© 2024. The Author(s). This is an open access article published by Thieme under the terms of the Creative Commons Attribution License, permitting unrestricted use, distribution, and reproduction so long as the original work is properly cited. (https://creativecommons.org/licenses/by/4.0/)
Thieme Medical and Scientific Publishers Pvt. Ltd.
A-12, 2nd Floor, Sector 2, Noida-201301 UP, India
We recommend
Clinical characteristics and treatments of hereditary leiomyomatosis renal cell carcinoma: two case reports and literature review
Dalin Feng, Zentralblatt für Chirurgie - Zeitschrift für Allgemeine, Viszeral-, Thorax- und Gefäßchirurgie, 2020
Primary Renal Leiomyosarcoma Arising from Renal Vein: A Case Report of Rare Entity with Review of Literature
Reetu Kundu, Indian Journal of Medical and Paediatric Oncology, 2019
Pathology of Leiomyomas
Semin Reprod Med, 1992
Pathology of Leiomyomas
Seminars in Reproductive Medicine, 1992
Leiomyosarcoma of the suprarenal and renal veins, Report on two cases
S. S. K. S. Phoa, RöFo - Fortschritte auf dem Gebiet der Röntgenstrahlen und der bildgebenden Verfahren, 1988
Small Animal Review
Bryn Tennant, Companion Animal, 2018
Genetic heterogeneity in leiomyomas of deep soft tissue
Ioannis Panagopoulos, Oncotarget, 2017
Leiomyosarcoma of the bladder: A case report
Zhiyong Tan, Cancer Plus
A Pictorial Presentation of Three Kidney Anomalies in Computed Tomography
JH Bortz, South African Radiographer, 2023
Malignant transformation of uterine leiomyoma to myxoid leiomyosarcoma after morcellation associated with ALK rearrangement and loss of 14q
Carsten Holzmann, Oncotarget, 2018
Sir,
Renal leiomyoma is a rare smooth muscle tumor accounting for 0.3%- of all nephrectomies and 1.5%- of all benign neoplasms.[1] They predominantly affect the female population between the second and fifth decades of life. Renal leiomyoma is predominantly asymptomatic and discovered incidentally on autopsy or when the patient is screened for some other symptoms. The most common presentations are abdominal mass, flank pain, and/or microscopic haematuria.[2] In the kidney, the lower pole is commonly involved. Leiomyomas are mostly subcapsular (53%) or capsular (37%), and these occur less often in the renal pelvis (10%) as these sites normally contain smooth muscles.[2] Macroscopically, these tumors are well circumscribed. The cut surfaces appear tan to white with a whorling pattern. Cystic degeneration is common.[3] Microscopically, long interlacing fascicles of spindle cells are seen. The presence of necrosis, atypia, or mitosis warrants the diagnosis of leiomyosarcoma and is hence looked for. Clinically, the important differential diagnosis includes renal cell carcinoma (RCC) and oncocytoma. Microscopically, stromal predominant angiomyolipoma (AML) also needs exclusion through thorough tissue sampling. Immunohistochemically, the diagnosis of leiomyoma is supported by diffuse smooth muscle actin (SMA) positivity and negativity for melanocytic markers (HMB45 and/or Melan-A). Both AML and oncocytoma are benign and require nephron-sparing surgery (NSS) like leiomyoma. However, RCCs are the most common outcome of contrast-enhancing renal mass and need elaborate management.[4] In the case of renal leiomyoma, the choice between partial and radical nephrectomy depends upon the tumor size and its location. There is no documentation of metastasis to date in the literature and most of the patients remain alive.[5]
A 56-year-old lady presented with a history of on and off right flank pain for 3 to 4 years. The pain was mild, dull aching and subsided on oral medication. There was no history of hematuria, burning micturition, or any previous significant past medical illness. She was hypertensive for 3 years with regular medication. On evaluation, the complete hemogram and renal and liver function tests were within normal limits. Contrast-enhanced computed tomography (CECT) showed a well-defined soft-tissue lesion measuring 3.6 × 3.0 × 3.1 cm in the mid-pole cortex of the right kidney. On the noncontrast CT scan, the lesion appeared slightly hyperdense to isodense and showed plain CT attenuation of 33 to 46 HU. Furthermore, on the postcontrast scan, the lesion showed mild enhancement of up to 78 HU (maximum); however, it appeared hypodense with respect to renal parenchyma. The lesion showed a slight smooth exophytic bulge into overlying fat at the lateral aspect. Medially, the lesion appeared to merge with the mid-pole pelvicalyceal system. In addition, there was chronic calculous cholecystitis and uterine fibroid measuring 3.0 × 2.2 cm. A robot-assisted laparoscopic right NSS was performed. The specimen was sent for histopathological evaluation. Grossly, the right NSS specimen measured 4 × 3.7 × 2.5 cm. An encapsulated solid tumor was seen measuring 3.6 × 2.5 × 2.6 cm. The cut surface was homogenous, white, and firm with a whorling texture ([Fig. 1A]). No areas of hemorrhage, necrosis, or calcification were noted. A peripheral rim of normal renal parenchyma was identified, measuring 0.3 cm. The histopathological sections showed a well-circumscribed tumor composed of smooth muscle cells arranged in long and short interlacing fascicles ([Fig. 1B]). Additionally, individual tumor cells showed a mild degree of nuclear pleomorphism with spindle-shaped morphology and a moderate amount of eosinophilic cytoplasm. The nuclei appeared cigar shaped with both blunt ends, fine chromatin, and inconspicuous nucleoli ([Fig. 1C]). Mitotic activity was infrequent (<1 href="https://www.thieme-connect.com/products/ejournals/html/10.1055/s-0044-1785455#FI231701369-1" xss=removed>Fig. 1D]). Melan-A immunostain was negative. The Ki-67 proliferation index was less than 1%. The surgical resection margin was not involved. In view of morphology and immunohistochemistry, a diagnosis of leiomyoma (pT1a pNx; American Joint Committee on Cancer [AJCC] staging manual, 8th edition) was made. To the best of our knowledge, the association between renal and uterine leiomyomas was not found in the English literature. The patient is doing well after the surgery, and at the 1-year follow-up, she had no recurrence.
Fig. 1 (A) Gross specimen showing a well-circumscribed tumor. The tumor has tan to white color, rubbery texture, and whorled cut surface (scale bar = 2 cm). (B) The microphotograph showing a sharp demarcation from the surrounding normal renal parenchyma (hematoxylin and eosin [H&E]; ×100) immunohistochemistry. (C) The tumor cells are arranged in intersecting fascicles (H&E; ×200). (D) Smooth muscle actin (SMA) shows diffuse strong positivity (×200).
Conflict of Interest
None declared.
Author Contributions
R.J. and M.P. contributed to the analysis of the pathologic findings and manuscript writing. D.C. contributed to the pathologic analysis and manuscript editing. G.S.B. collected and critically analyzed the clinical data.
The manuscript has been read and approved by all the authors, the requirements for authorship have been met, and each author believes that the manuscript represents honest work.
Ethics Statement
The authors obtained written informed consent for publication from the patient, and the manuscript as per the Institutional Ethics Committee requirements.
References
- Romero FR, Kohanim S, Lima G, Permpongkosol S, Fine SW, Kavoussi LR. Leiomyomas of the kidney: emphasis on conservative diagnosis and treatment. Urology 2005; 66 (06) 1319
- Steiner M, Quinlan D, Goldman SM. et al. Leiomyoma of the kidney: presentation of 4 new cases and the role of computerized tomography. J Urol 1990; 143 (05) 994-998
- Takezaki T, Nakama M, Ogawa A. Renal leiomyoma with extensive cystic degeneration. Urology 1985; 25 (04) 401-403
- Frank I, Blute ML, Cheville JC, Lohse CM, Weaver AL, Zincke H. Solid renal tumors: an analysis of pathological features related to tumor size. J Urol 2003; 170 (6, Pt 1): 2217-2220
- Patil PA, McKenney JK, Trpkov K. et al. Renal leiomyoma: a contemporary multi-institution study of an infrequent and frequently misclassified neoplasm. Am J Surg Pathol 2015; 39 (03) 349-356
Address for correspondence
Publication History
Article published online:
10 April 2024
© 2024. The Author(s). This is an open access article published by Thieme under the terms of the Creative Commons Attribution License, permitting unrestricted use, distribution, and reproduction so long as the original work is properly cited. (https://creativecommons.org/licenses/by/4.0/)
Thieme Medical and Scientific Publishers Pvt. Ltd.
A-12, 2nd Floor, Sector 2, Noida-201301 UP, India
We recommend
Clinical characteristics and treatments of hereditary leiomyomatosis renal cell carcinoma: two case reports and literature review
Dalin Feng, Zentralblatt für Chirurgie - Zeitschrift für Allgemeine, Viszeral-, Thorax- und Gefäßchirurgie, 2020
Primary Renal Leiomyosarcoma Arising from Renal Vein: A Case Report of Rare Entity with Review of Literature
Reetu Kundu, Indian Journal of Medical and Paediatric Oncology, 2019
Pathology of Leiomyomas
Semin Reprod Med, 1992
Pathology of Leiomyomas
Seminars in Reproductive Medicine, 1992
Leiomyosarcoma of the suprarenal and renal veins, Report on two cases
S. S. K. S. Phoa, RöFo - Fortschritte auf dem Gebiet der Röntgenstrahlen und der bildgebenden Verfahren, 1988
Horseshoe kidney with cysts and a single ureter: a case report
Luis Alberto Batista Peres, Brazilian Journal of Nephrology, 2010
A Review of Renal Cell Carcinoma
Makala Pace, US Pharmacist, 2007
An Approach to Renal Masses in Pediatrics
Alpin D. Malkan, Pediatrics, 2015
Renal cell carcinoma with cutaneous metastasis: case report
Thaís Alves de Paula, Brazilian Journal of Nephrology, 2010
Multiparametric magnetic resonance imaging findings of prostatic pure leiomyomas
Mussi, Thais Caldara, einstein (São Paulo), 2016
Fig. 1 (A) Gross specimen showing a well-circumscribed tumor. The tumor has tan to white color, rubbery texture, and whorled cut surface (scale bar = 2 cm). (B) The microphotograph showing a sharp demarcation from the surrounding normal renal parenchyma (hematoxylin and eosin [H&E]; ×100) immunohistochemistry. (C) The tumor cells are arranged in intersecting fascicles (H&E; ×200). (D) Smooth muscle actin (SMA) shows diffuse strong positivity (×200).
References
- Romero FR, Kohanim S, Lima G, Permpongkosol S, Fine SW, Kavoussi LR. Leiomyomas of the kidney: emphasis on conservative diagnosis and treatment. Urology 2005; 66 (06) 1319
- Steiner M, Quinlan D, Goldman SM. et al. Leiomyoma of the kidney: presentation of 4 new cases and the role of computerized tomography. J Urol 1990; 143 (05) 994-998
- Takezaki T, Nakama M, Ogawa A. Renal leiomyoma with extensive cystic degeneration. Urology 1985; 25 (04) 401-403
- Frank I, Blute ML, Cheville JC, Lohse CM, Weaver AL, Zincke H. Solid renal tumors: an analysis of pathological features related to tumor size. J Urol 2003; 170 (6, Pt 1): 2217-2220
- Patil PA, McKenney JK, Trpkov K. et al. Renal leiomyoma: a contemporary multi-institution study of an infrequent and frequently misclassified neoplasm. Am J Surg Pathol 2015; 39 (03) 349-356
PDF
Views
Share

