Primary Renal Leiomyosarcoma Arising from Renal Vein: A Case Report of Rare Entity with Review of Literature
CC BY-NC-ND 4.0 ? Indian J Med Paediatr Oncol 2019; 40(S 01): S139-S141
DOI: DOI: 10.4103/ijmpo.ijmpo_232_17
Abstract
Primary renal sarcomas are extremely rare neoplasms accounting for about 1% of all malignant renal neoplasms. Among all the sarcomas of kidney, leiomyosarcoma is the most common histotype. The histogenesis of these tumors is unclear, and presumably, they arise either from renal capsule or smooth muscle of renal vessels or renal pelvis. We report a case of a 65-year-old woman, who presented with intermittent abdominal pain for 1 year. The correct diagnosis was established only after the histopathological analysis of the resected specimen. The poor prognosis borne by these tumors mandates a thorough evaluation of all renal masses with unusual gross and histomorphology.
Publication History
Article published online:
24 May 2021
? 2019. Indian Society of Medical and Paediatric Oncology. This is an open access article published by Thieme under the terms of the Creative Commons Attribution-NonDerivative-NonCommercial-License, permitting copying and reproduction so long as the original work is given appropriate credit. Contents may not be used for commercial purposes, or adapted, remixed, transformed or built upon. (https://creativecommons.org/licenses/by-nc-nd/4.0/).
Thieme Medical and Scientific Publishers Pvt. Ltd.
A-12, 2nd Floor, Sector 2, Noida-201301 UP, India
Abstract
Primary renal sarcomas are extremely rare neoplasms accounting for about 1% of all malignant renal neoplasms. Among all the sarcomas of kidney, leiomyosarcoma is the most common histotype. The histogenesis of these tumors is unclear, and presumably, they arise either from renal capsule or smooth muscle of renal vessels or renal pelvis. We report a case of a 65-year-old woman, who presented with intermittent abdominal pain for 1 year. The correct diagnosis was established only after the histopathological analysis of the resected specimen. The poor prognosis borne by these tumors mandates a thorough evaluation of all renal masses with unusual gross and histomorphology.
Introduction
Primary renal sarcomas are rare tumors, accounting for about 1% of all malignant tumors of the kidney.[1] Leiomyosarcoma is the most common type, constituting about 50%?60% of all sarcomas of the kidney.[2] The primary renal leiomyosarcomas have an unclear histogenesis and perhaps arise either from renal capsule or smooth muscle of renal vessels or renal pelvis.[3] These tumors are commonly seen during the sixth decade of life, preferentially affecting the females.[4]
The tumor bears a markedly different prognosis when compared to renal cell carcinoma, and this makes it mandatory to consider the diagnosis in all renal masses with unusual gross and histomorphological findings. Herein, we report a case of a 65-year-old woman who presented with intermittent abdominal pain for 1 year. The correct diagnosis was established only after the histopathological analysis of the resected specimen, postoperatively.
Case Report
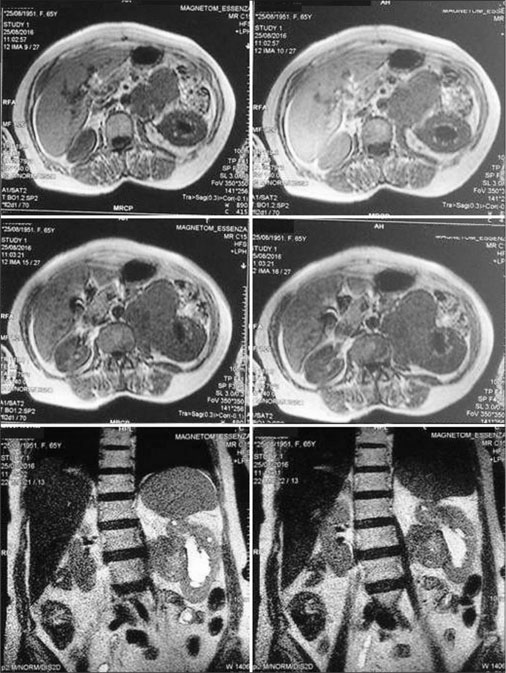
A 65-year-old female presented with off-and-on abdominal pain for the past 1 year. She was being treated symptomatically outside before reporting to the urology outpatient department of our hospital. There was no history of fever, weight loss, or nausea. Hematological investigations revealed a mild degree of anemia (hemoglobin 10.2 g%). Urine examination reported no abnormality. Serum electrolytes (sodium - 138 mEq/L and potassium - 4.0 mEq/L), urea (28 mg/dL), and serum creatinine (1.0 mg/dL) were within normal range. The ultrasound abdomen revealed left renal mass following which magnetic resonance imaging (MRI) abdomen was advised. MRI showed a left renal mass of 9.6 cm ? 5.4 cm ? 7.4 cm size, arising exophytically from the medial aspect in interpolar region, engulfing renal vein, and ureter with moderate hydronephrosis [Figure 1]. Left renal vein appeared retroaortic in position with loss of flow in proximal part and tumor thrombus in it without any extension into inferior vena cava. Imagings suggested a malignant renal mass likely renal cell carcinoma.
|?Figure. 1? Magnetic resonance imaging scans showing a left renal mass (9.6 cm ? 5.4 cm ? 7.4 cm) arising exophytically from the medial aspect in interpolar region, engulfing renal vein, and upper ureter
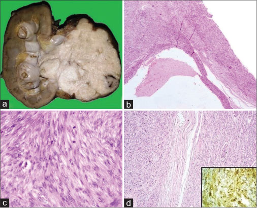
The patient underwent abdominal exploration and a left radical nephrectomy. The kidney specimen submitted for histopathologic examination measured 9.5 cm ? 12.5 cm ? 8.0 cm in size and weighed 310 g. The renal capsule was intact without any scar and mid-pole expanded with an encapsulated tumor measuring 8.0 cm ? 7.5 cm ? 8.0 cm [Figure 2]. Cut section was bulging, grayish white and firm with some whorling and focal gray tan areas. The corticomedullary distinction was maintained; however, there was noteworthy dilatation of the pelvicalyceal system without any calculus. The renal vein appeared adhered to the tumor. The ureter, renal artery, and perinephric fat were free of tumor. Lymph nodes isolated appeared free of tumor. Multiple sections were taken.
|?Figure. 2? Cut section of leiomyosarcoma showing a bulging, grayish white encapsulated tumor with focal whorling (b) Histopathologic section showing tumor origin from musculature of renal vein (H and E, ?100). (c) Tumor cells are arranged in interlacing fascicles and bundles with scattered mitotic figures (H and E, ?400). (d) Interface of tumor with normal renal parenchyma (H and E, ?100). Inset shows positivity for smooth muscle actin in tumor cells on immunostaining (immunohistochemistry, ?400)
The representative sections showed a well-encapsulated tumor arising from the muscularis of the left renal vein. Cells were moderately anaplastic spindle cells with vesicular nuclei and ample eosinophilic cytoplasm arranged in interlacing fascicles and bundles. Many mitotic figures, bizarre cells, areas of necrosis and hyalinization were observed. The adjoining renal parenchyma was compressed with dilated pelvicalyceal system. The renal capsule, ureter, and perirenal fat were devoid of any tumor deposits. Lymph nodes isolated were free of tumor. The tumor cells were positive for smooth muscle actin (SMA) and negative for cytokeratin (CK) immunostains. A final diagnosis of primary leiomyosarcoma arising from the renal vein was made. In the follow-up, after 11 months, the patient was doing well without any local recurrence/distant metastases.
Discussion
Leiomyosarcomas are malignant tumors of smooth muscle origin, most commonly seen in uterus, stomach, small intestine, and retroperitoneum.[5] Primary leiomyosarcoma originating in vein is rare with about half of the cases arising from inferior vena cava.[6] Still rarer is the tumor arising from renal vein and only about 35 cases have been reported in the literature.[7] This tumor was first described by L?pez Varela and Pereira Garro in 1967.[8] Over a span of the last two decades, literature on renal leiomyosarcoma is sparse with few isolated case reports,[1] [2] [3] [4] and a multi-institutional data is relatively lacking.[9]
The classical clinical triad of abdominal mass, flank pain, and hematuria may be seen and suggest a late presentation.[1] In general, systemic symptoms such as fever, nausea, weight loss, and anemia are not observed. Our patient also had only intermittent abdominal pain as the presenting complaint. Usually, renal leiomyosarcomas have an aggressive biological behavior and unfavorable prognosis. Local recurrence is frequent with distant metastases to lungs, liver, and colon.
On histology, leiomyosarcoma needs to be differentiated from sarcomatoid variant of renal cell carcinoma, leiomyoma, angiomyolipoma, synovial sarcoma-monophasic fibrous type, fibrosarcoma, and malignant peripheral nerve sheath tumor.[9] [10] Renal leiomyosarcoma can be distinguished from leiomyoma by the presence of cellular pleomorphism, increased mitosis, and necrosis. On histomorphology, sarcomatoid carcinoma lacks the uniform fascicular pattern typical of leiomyosarcomas. A thorough tumor sampling in renal leiomyosarcoma is required to rule out any epithelial component of sarcomatoid renal cell carcinoma.
Although renal angiomyolipoma too has fascicles of smooth muscle cells, an admixture with mature fat and thick-walled vasculature is diagnostic.[9] The monophasic variant of synovial sarcoma shows plump cells arranged in diffuse sheets with irregular borders with entrapped renal tubules. The fibrosarcoma and malignant peripheral nerve sheath tumor can be distinguished on the basis of herringbone pattern of tumor cells and kinking of nuclei, respectively.
Leiomyosarcoma is immunoreactive for SMA, calponin, desmin, and h-caldesmon and nonreactive for CK, S-100, and HMB45.[10] Sarcomatoid carcinoma is positive for CK. Epithelioid variant of angiomyolipoma may be difficult to exclude on histomorphology alone, but positivity for melanocytic marker HMB45 clinches the diagnosis. In the indexed case, tumor immunoreactivity for SMA and nonimmunoreactivity for CK was confirmatory. Before making the diagnosis of primary leiomyosarcoma of the kidney which is the most common?de novo?renal sarcoma, a secondary involvement by retroperitoneal leiomyosarcoma must be ruled out.[9] With the availability of sophisticated imaging modalities, this distinction can be drawn with ease.
To conclude, primary leiomyosarcoma of kidney is a rare entity and clinical presentations as well as radiology imagings, simulate other renal malignancies. Nevertheless, clinching the diagnosis holds relevance for its therapeutic and prognostic bearing. Histopathological examination of renal tumors with ancillary immunostaining of the suspected leiomyosarcoma is helpful in arriving at a correct diagnosis.
Declaration of patient consent
The authors certify that they have obtained all appropriate patient consent forms. In the form the patient(s) has/have given his/her/their consent for his/her/their images and other clinical information to be reported in the journal. The patients understand that their names and initials will not be published and due efforts will be made to conceal their identity, but anonymity cannot be guaranteed.
Conflict of Interest
There are no conflicts of interest.
- Narula V, Siraj F, Bansal A.?Renal leiomyosarcoma with soft tissue metastasis: An unusual presentation. Can Urol Assoc J 2015; 9: E139-41
- Sharma D, Pradhan S, Aryya NC, Shukla VK.?Leiomyosarcoma of kidney: A case report with long term result after radiotherapy and chemotherapy. Int Urol Nephrol 2007; 39: 397-400
- Choudhury M, Singh SK, Pujani M, Pathania OP.?A case of leiomyosarcoma of kidney clinically and radiologically misdiagnosed as renal cell carcinoma. Indian J Cancer 2009; 46: 241-3
- Kwon YS, Salmasi A, Han CS, Hon JD, Singer EA.?Renal leiomyosarcoma: Case report and review of the literature. World J Nephrol Urol 2015; 4: 213-7
- Weiss SW.?Smooth muscle tumors of soft tissue. Adv Anat Pathol 2002; 9: 351-9
- Devlin CM, Gill K, Thomas J, Biyani CS.?Renal vein leiomyosarcoma and renal cell carcinoma presenting together: A case report and discussion on the follow-up. Can Urol Assoc J 2015; 9: E517-20
- Ojha S, Nilkanthe R, Valecha J, Meenai F, Haritwal A.?Leiomyosarcoma of renal vein ? A rare case report. J Clin Diagn Res 2017; 11: ED03-4
- L?pez Varela EA, Pereira Garro C.?Leiomyosarcoma of the renal vein. Case report. Int Surg 1967; 47: 340-3
- Miller JS, Zhou M, Brimo F, Guo CC, Epstein JI.?Primary leiomyosarcoma of the kidney: A clinicopathologic study of 27 cases. Am J Surg Pathol 2010; 34: 238-42
- Pong YH, Tsai VF, Wang SM.?Primary leiomyosarcoma of the kidney. Formos J Surg 2012; 45: 124-6
Address for correspondence
Publication History
Article published online:
24 May 2021
? 2019. Indian Society of Medical and Paediatric Oncology. This is an open access article published by Thieme under the terms of the Creative Commons Attribution-NonDerivative-NonCommercial-License, permitting copying and reproduction so long as the original work is given appropriate credit. Contents may not be used for commercial purposes, or adapted, remixed, transformed or built upon. (https://creativecommons.org/licenses/by-nc-nd/4.0/).
Thieme Medical and Scientific Publishers Pvt. Ltd.
A-12, 2nd Floor, Sector 2, Noida-201301 UP, India
|?Figure. 1? Magnetic resonance imaging scans showing a left renal mass (9.6 cm ? 5.4 cm ? 7.4 cm) arising exophytically from the medial aspect in interpolar region, engulfing renal vein, and upper ureter
|?Figure. 2? Cut section of leiomyosarcoma showing a bulging, grayish white encapsulated tumor with focal whorling (b) Histopathologic section showing tumor origin from musculature of renal vein (H and E, ?100). (c) Tumor cells are arranged in interlacing fascicles and bundles with scattered mitotic figures (H and E, ?400). (d) Interface of tumor with normal renal parenchyma (H and E, ?100). Inset shows positivity for smooth muscle actin in tumor cells on immunostaining (immunohistochemistry, ?400)
References
- Narula V, Siraj F, Bansal A.?Renal leiomyosarcoma with soft tissue metastasis: An unusual presentation. Can Urol Assoc J 2015; 9: E139-41
- Sharma D, Pradhan S, Aryya NC, Shukla VK.?Leiomyosarcoma of kidney: A case report with long term result after radiotherapy and chemotherapy. Int Urol Nephrol 2007; 39: 397-400
- Choudhury M, Singh SK, Pujani M, Pathania OP.?A case of leiomyosarcoma of kidney clinically and radiologically misdiagnosed as renal cell carcinoma. Indian J Cancer 2009; 46: 241-3
- Kwon YS, Salmasi A, Han CS, Hon JD, Singer EA.?Renal leiomyosarcoma: Case report and review of the literature. World J Nephrol Urol 2015; 4: 213-7
- Weiss SW.?Smooth muscle tumors of soft tissue. Adv Anat Pathol 2002; 9: 351-9
- Devlin CM, Gill K, Thomas J, Biyani CS.?Renal vein leiomyosarcoma and renal cell carcinoma presenting together: A case report and discussion on the follow-up. Can Urol Assoc J 2015; 9: E517-20
- Ojha S, Nilkanthe R, Valecha J, Meenai F, Haritwal A.?Leiomyosarcoma of renal vein ? A rare case report. J Clin Diagn Res 2017; 11: ED03-4
- L?pez Varela EA, Pereira Garro C.?Leiomyosarcoma of the renal vein. Case report. Int Surg 1967; 47: 340-3
- Miller JS, Zhou M, Brimo F, Guo CC, Epstein JI.?Primary leiomyosarcoma of the kidney: A clinicopathologic study of 27 cases. Am J Surg Pathol 2010; 34: 238-42
- Pong YH, Tsai VF, Wang SM.?Primary leiomyosarcoma of the kidney. Formos J Surg 2012; 45: 124-6
PDF
Views
Share

