Profile of Childhood Non-Hodgkin Lymphomas at a Tertiary Care Hospital
CC BY-NC-ND 4.0 ? Indian J Med Paediatr Oncol 2019; 40(S 01): S82-S88
DOI: DOI: 10.4103/ijmpo.ijmpo_230_17
Abstract
Context:?Lymphoma was the second most common malignancy accounted for 22% of pediatric cases, of which 34 (68%) were non-Hodgkin?s lymphoma (NHL).?Aims:?To find the incidence, clinical presentations, laboratory findings, proportion of extranodal involvement, and to study histological subtypes (REAL/WHO classification) of NHL, compare them with reported case series in the world literature.?Settings and Design:?Gross specimens and biopsies of pediatric NHL were retrieved from the Department of Surgical Pathology from the year 2004 to 2013 at a tertiary care hospital. Patients and?Methods:?Gross and microscopy of incisional biopsies and surgically resected specimens of pediatric cases were studied using hematoxylin and eosin stain and wherever needed special stain and immunohistochemistry were used.?Results:?The incidence of NHL was higher in more than 10 years of age group with male predominance. Burkitt?s lymphoma (BL) (41.2%) was the most common subtype followed by T-lymphoblastic lymphoma (T-LL) (29.4%). Predominantly extranodal presentation was seen, BL presented as ileocecal masses (five cases) and orbital swelling (three cases). T-LL presented as a mediastinal masses (six cases). Rare cases of precursor B-LL involving orbital mass and plasmablastic lymphoma involving paranasal sinuses were studied. Among bone marrows studied a case of T-LL developed pancytopenia, during chemotherapy showed giant pronormoblast (Parvovirus infection). HIV association was seen in five cases of NHL. Postchemotherapy disease-free survival was very low and many patients died during chemotherapy.?Conclusion:?Although the incidence of HL is higher in children, in the present study, NHL with extranodal presentation (58%) involving rare sites with poor prognosis is higher, 15% of all cases showed HIV seropositivity.
Keywords
Burkitt?s lymphoma - Non-Hodgkin lymphoma - Plasmablastic lymphoma - Precurser B- lymphoblastic lymphoma - T - lymphoblastic lymphomaPublication History
Article published online:
24 May 2021
? 2019. Indian Society of Medical and Paediatric Oncology. This is an open access article published by Thieme under the terms of the Creative Commons Attribution-NonDerivative-NonCommercial-License, permitting copying and reproduction so long as the original work is given appropriate credit. Contents may not be used for commercial purposes, or adapted, remixed, transformed or built upon. (https://creativecommons.org/licenses/by-nc-nd/4.0/).
Thieme Medical and Scientific Publishers Pvt. Ltd.
A-12, 2nd Floor, Sector 2, Noida-201301 UP, India
Abstract
Context:?Lymphoma was the second most common malignancy accounted for 22% of pediatric cases, of which 34 (68%) were non-Hodgkin?s lymphoma (NHL).?Aims:?To find the incidence, clinical presentations, laboratory findings, proportion of extranodal involvement, and to study histological subtypes (REAL/WHO classification) of NHL, compare them with reported case series in the world literature.?Settings and Design:?Gross specimens and biopsies of pediatric NHL were retrieved from the Department of Surgical Pathology from the year 2004 to 2013 at a tertiary care hospital. Patients and?Methods:?Gross and microscopy of incisional biopsies and surgically resected specimens of pediatric cases were studied using hematoxylin and eosin stain and wherever needed special stain and immunohistochemistry were used.?Results:?The incidence of NHL was higher in more than 10 years of age group with male predominance. Burkitt?s lymphoma (BL) (41.2%) was the most common subtype followed by T-lymphoblastic lymphoma (T-LL) (29.4%). Predominantly extranodal presentation was seen, BL presented as ileocecal masses (five cases) and orbital swelling (three cases). T-LL presented as a mediastinal masses (six cases). Rare cases of precursor B-LL involving orbital mass and plasmablastic lymphoma involving paranasal sinuses were studied. Among bone marrows studied a case of T-LL developed pancytopenia, during chemotherapy showed giant pronormoblast (Parvovirus infection). HIV association was seen in five cases of NHL. Postchemotherapy disease-free survival was very low and many patients died during chemotherapy.?Conclusion:?Although the incidence of HL is higher in children, in the present study, NHL with extranodal presentation (58%) involving rare sites with poor prognosis is higher, 15% of all cases showed HIV seropositivity.
Keywords
Burkitt?s lymphoma - Non-Hodgkin lymphoma - Plasmablastic lymphoma - Precurser B- lymphoblastic lymphoma - T - lymphoblastic lymphomaIntroduction
The incidence of pediatric tumors is on rise worldwide.[1] In developing countries like India, childhood mortality is still due to malnutrition and infections, but pediatric tumors are also rising in number [1] [2] Lymphomas are the third most common group of malignancies in children and adolescents in the USA.[3] Non-Hodgkin lymphoma (NHL) accounts for approximately 7% of newly diagnosed cancers.[4] NHL constitutes 6%?10% of all pediatric malignancies in different parts of the world.[5] [6]
This study looks into various NHLs causing mortality and morbidity in children and their distribution according to age and sex.
Patients and Methods
Study design
Selection and description of participants
In this study, 34 cases of NHL retrieved from surgical pathology were studied from 2004 to 2013. It is a retrospective and prospective study.
Inclusion criteria
Cases of pediatric NHL reported in the Department of Surgical Pathology age up to 15 years including males and females.
Exclusion criteria
Age above 15 years.
Gross and microscopic study of incisional biopsies and surgically resected specimens done using H and E stain and wherever required special stains, IHC. Furthermore, cases are analyzed according to age, sex, and clinical features. Retrospectively, surgically resected and biopsied cases of pediatric NHL were studied by using clinical data from record sheets and reviewing slides and paraffin blocks. Detailed clinical history was obtained from the indoor papers from medical record office.
Morphological features of external and cut surfaces of the organs were documented and they were preserved in 10% formalin for adequate fixation. After fixation, adequate sections from each of the organs were taken. Sections were studied by using H and E stain and IHC.
Radiological findings (computed tomography [CT], magnetic resonance imaging [MRI], X-ray, and ultrasonography [USG]) and complete blood count with other laboratory investigations were retrieved from the indoor papers. Subtyping of lymphomas was done with the help of IHC.
Clinical information obtained from patients medical records included as follows:
Patients age, sex, and chief complaints
Physical examination:
Lymphadenopathy ? localized/generalized
Hepatosplenomegaly
Abdominal mass
Gastrointestinal involvement
Mediastinal involvement
Any other site involvement
Radiological findings
USG/CT of abdomen and pelvis
Positron-emission tomography scan findings (wherever done) findings.
Laboratory investigations
Complete blood count ? Hemoglobin, white blood cell count, differential count, and platelet counts.
Serum B2 microglobulin and LDH (lactate dehydrogenase) levels
Serum total protein, albumin, and globulin
Serological tests ? HIV
Ann Arbor staging.
Results
During the study 4302 pediatric cases up to the age of 15 years from the year 2004 to 2013 were retrieved, constituting 5.6% of all. The incidence of pediatric malignancies was 5.2% (227) of all pediatric cases, and incidence of pediatric lymphoma was found to be 22% (50) of all pediatric malignancies [Figure 1]. Among these, central nervous system (CNS) tumors (43%) were the most common followed by lymphoma (22%), of which NHL constitutes 15% (34) cases [Figure 2]. Among NHL, Burkitt?s lymphoma (BL) was the most common 14 cases (41.2%) followed by lymphoblastic lymphoma (LL) 11 cases (32.3%), two cases of anaplastic large-cell lymphoma (ALCL) and one case of plasmablastic lymphoma were reported. Six cases of NHL were unclassified due to unavailability of tissue blocks for further subtyping [Table 1] and [Figure 3].
|?Figure. 1? Distribution of different malignances in pediatric population (n = 227)
|
Histological type |
Frequency (%) |
|---|---|
|
NHL ? Non-Hodgkin?s lymphoma; BL ? Burkitt?s lymphoma; T-LL ? T-lymphoblastic lymphoma; B-LL ? B-lymphoblastic lymphoma; ALCL ? Anaplastic large cell lymphoma |
|
|
NHL |
34 (68) |
|
BL |
14 (41.2) |
|
T-LL |
10 (29.4) |
|
B-LL |
1 (2.9) |
|
ALCL |
2 (5.8) |
|
Plasmablastic lymphoma |
1 (2.9) |
|
Unclassified |
6 (17.8) |
|?Figure. 2? Frequency of Hodgkin?s lymphoma and Non-Hodgkin?s lymphoma. Out of 50 cases of lymphoma, 34 (68%) diagnosed with Non Hodgkin lymphoma
|?Figure. 3? Frequency distribution of subtypes of Non-Hodgkin?s lymphoma
In the present study, maximum number of 15 (44.1%) NHL cases were found beyond 10 years of age (44.1%) cases, mean age of incidence of NHL was 8.7 years, and ranging from 2.5 years to 13 years [Table 2].
|
Age groups (years) |
NHL, n (%) |
|---|---|
|
NHL ? Non-Hodgkin?s lymphoma |
|
|
0-5 |
7 (20.5) |
|
5-10 |
12 (35.3) |
|
10-15 |
15 (44.1) |
|
Histological subtype |
n |
Male |
Female |
|---|---|---|---|
|
BL ? Burkitt?s lymphoma; NHL ? Non-Hodgkin?s lymphoma; ALCL ? Anaplastic large cell lymphoma; LL ? Lymphoblastic lymphoma |
|||
|
BL |
14 |
9 |
5 |
|
LL |
11 |
9 |
2 |
|
ALCL |
2 |
1 |
1 |
|
Plasmablastic lymphoma |
1 |
0 |
1 |
|
NHL unclassified |
6 |
4 |
2 |
|
Site of involvement |
BL |
LL |
ALCL |
PL |
U |
|---|---|---|---|---|---|
|
BL ? Burkitt?s lymphoma; ALCL ? Anaplastic large-cell lymphoma; LL ? Lymphoblastic lymphoma; GIT ? Gastrointestinal tract; LN ? Lymph node; PL ? Plasmablastic lymphoma; U ? Unclassified |
|||||
|
Peripheral LN |
8 |
6 |
1 |
0 |
5 |
|
Mediastinum |
1 |
6 |
1 |
0 |
0 |
|
GIT |
5 |
1 |
0 |
0 |
1 |
|
Parotid |
1 |
0 |
0 |
0 |
0 |
|
Kidney |
0 |
1 |
0 |
0 |
1 |
|
Testis |
0 |
0 |
0 |
0 |
1 |
|
Bone marrow |
2 |
1 |
0 |
0 |
1 |
|
Spinal cord |
1 |
0 |
1 |
0 |
0 |
|
Liver |
1 |
0 |
0 |
0 |
0 |
|
Orbit |
3 |
1 |
0 |
0 |
0 |
|
Nose |
0 |
0 |
0 |
1 |
0 |
|
Age/sex |
Subtype of NHL |
Site of involvement |
|---|---|---|
|
BL ? Burkitt?s lymphoma; NHL ? Non-Hodgkin?s lymphoma; T-LL ? T-lymphoblastic lymphoma; LN ? Lymph node |
||
|
12 years/male |
BL |
Small bowl mass |
|
7 years/male |
T-LL |
Multiple lymphadenopathy |
|
11 years/male |
BL |
Lymphadenopathy with paraspinal soft tissue extension |
|
13 years/female |
BL |
Lymphadenopathy with orbital and small bowl mass |
|
2.5 years/female |
BL |
Small bowl mass with tibia, peripancreatic, and pericardiac LN deposites |
|?Figure. 4? A 6-year-old child with unilateral proptosis, diagnosed with precursor B- lymphoblastic lymphoma on biopsy (LTMMC, Mumbai, India)
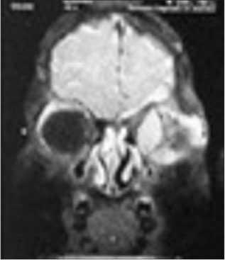
|?Figure. 5? A Magnetic resonance imaging of brain and orbit showed large lobulated intraorbital mass occupying the retrobulbar portion, orbital apex, and extends into cavernous sinus, c/o precursor B- lymphoblastic lymphoma
Resection of the mass was done. Intraoperatively tumor was well circumscribed, not involving the optic nerve. Histopathological examination showed bits of tumor tissue showing diffuse dense monomorphous proliferation of lymphoid cells, infiltrating in the orbital soft tissue and muscle, and tumor cells were medium-sized lymphoid cells with thin nuclear membrane, delicate chromatin, indistinct nucleoli, brisk mitoses, and scant cytoplasm. On immunohistochemistry, tumor cells were negative for desmin, mic2, MPO, and synaptophysin and positive for LCA, CD20 and Tdt [Figure 6].
|?Figure. 6? A Sheets of tumor cells infiltrating into orbital soft tissue and muscle, medium-sized lymphoid cells with thin nuclear membrane, delicate chromatin, indistinct nucleoli, brisk mitoses, scant cytoplasm ? Precursor B LL, (H and E, ?100), IHC: LCA, CD20, and Tdt- Positive|
Final diagnosis?Primary orbital precursor B-cell lymphoblastic lymphoma.
The patient was started with systemic chemotherapy and died during the treatment course.
Similar cases of primary ocular adnexal lymphomas in younger age group of 7?12 years presenting as proptosis with loss of vision due to unilateral orbital mass involving optic nerve extending into anterior cranial fossa have been reported by Ferry?et al.,[17] Alford?et al.,[18] and Hari Mohan?et al.[19]
A 14-year-old male child presented with left side nasal obstruction for 3 months with epistaxis, 3?4 episodes. CT skull and nasal cavity showed soft-tissue lesion involving left nasal cavity extending into maxilla, sphenoid and ethmoid sinus, and sparing left orbit. Resection of the mass was done [Figure 7].
|?Figure. 7? A CT skull and nasal cavity shows soft-tissue lesion involving left nasal cavity extending into maxilla, sphenoid, and ethmoid sinus, sparing left orbit - c/o Plasmablastic lymphoma
On histopathological examination, soft-tissue tumor showed the monomorphic population of large plasmablastic cells with abundant basophilic cytoplasm. Round to ovoid vesicular nuclei with prominent peripheral-based nucleoli. Prominent tingible body macrophages seen imparting a starry-sky appearance with prominent mitotic activity suggestive of plasmablastic lymphoma.
Dignosis was confirmed on IHC and tumor cells were positive for CD138, EMA, LCA, and negative for CD20, CD56, CK, S100, NSE, synaptophysin, and chromogranin [Figure 8].
|?Figure. 8? A Prominent tingible body macrophages, imparting a starry-sky appearance with prominent mitotic activity, monomorphic population of large plasmablastic cells with abundant basophilic cytoplasm, and prominent peripheral-based nucleoli - Plasmablastic Lymphoma - (H and E, ?100), IHC ? Positive ? EMA, LCA, CD138
Plasmablastic lymphoma is a rare and rapidly progressive variety of DLBL that was originally reported exclusively in the jaw and oral mucosa of male-predominant HIV-positive patients. A substantial minority of cases occur in HIV-negative patients following solid organ transplantation or immunosuppressive therapy.
Christine?et al.[20] have reported a 24-year-old male presented with chronic sinusitis, pain in the left cheek, and left-sided facial asymmetry for 2 months. CT scan showed left maxillary sinus mass, involving the nasal septum, and extending through the medial maxillary sinus wall into the left nasal canal. The mass also invaded the inferior orbital rim and abutted the inferior rectus muscle. Biopsy of the mass revealed a monotonous, highly proliferative sheet of mononuclear cells, and IHC studies diagnosed plasmablastic lymphoma.
In the present study, a 10-year-old male child presented with fever, cough, and chest pain with repeated hemorrhagic pleural and pericardial effusion. USG chest showed moderate-to-severe pericardial and pleural effusion with right-sided lung collapse. CT chest showed a mediastinal mass. Pleural fluid cytology showed atypical round cells suggestive of lymphoma.
Histopathological examination and IHC on lymph node biopsy were conducted and diagnosed with T-LL.
Patient was started with chemotherapy, during the treatment course developed pancytopenia for which bone marrow examination was conducted.
Bone marrow aspirate showed erythroblastopenia with giant pronormoblast with 14% lymphomonocytoid cells suggestive of parvovirus infection [Figure 9]. The patient was detected with raised titers of immunoglobulin M parvovirus antibodies and diagnosis was confirmed with serology.
|?Figure. 9? A 10-year-old male child diagnosed with T-lymphoblastic lymphoma, Bone marrow aspiration showed giant proerythroblast with pale cytoplasmic inclusions suggestive of parvovirus infection (Giemsa, ?1000)|
Parvovirus B19 infection causes severe cytopenia and can mimic a leukemic relapse or therapy-induced cytopenia in patients with hematologic malignancies, and Hence, screening for parvovirus B19 DNA by polymerase chain reaction (PCR) in pediatric patients with ALL and unexplained cytopenia is suggested. Detection of giant pronormoblasts and absence of normal mature erythroid precursors is characteristic of parvovirus infection, on a routine bone marrow examination.
Lindblom?et al., USA [21] reported among 117 children with ALL, 18 (15%) were found to be parvovirus B19 DNA positive, while the infection was suspected on clinical grounds in only one of these 18 patients.
Yetgin?et al., Turkey [22] reported two cases of parvovirus B19 infection and bone marrow infiltration with preBlymphoblasts, one patient was diagnosed with ALL, and the other patient with neurologic findings, showed total resolution of the blastic morphology and phenotype.
McNall, USA [23] described a patient undergoing induction therapy for ALL whose parvovirus B19 infection was identified by the incidental bone marrow examination.
Immunocompromised children including those undergoing chemotherapy treatment of malignant disease, are at particular risk for infection with parvovirusB19, immunoglobulin therapy can revert this changes, this highlights the importance of alertness to the possibility of parvovirus infection in children with cancer.
In the present study, three cases presented as orbital swelling with intracranial extension, 3-year-old male child presented with unilateral proptosis, headache, and decreased vision. CT scan showed soft-tissue lesion involving orbit, small bowl thickening with mesenteric lymphadenopathy. The child was diagnosed with secondary involvement of orbit with primary gastrointestinal BL.
Zak?et al.[24] reported a case of non-African BL presenting an acute bilateral fulminant exophthalmos in as infantile male, correlates with the present study.
Huisman?et al.[25] reported a 12-year-old boy who presented with incomplete right ophthalmoplegia, exophthalmos, and headache diagnosed with BL on mediastinal LN biopsy.
Conclusion
The incidence of pediatric tumors is increasing worldwide. Although malignant neoplasms are rare in children, it is an important cause of childhood mortality in many of the economically developed nations of the world. Due to the major advances in diagnosis, multimodality therapy, development of the rational use of combination chemotherapy, and improved supportive care, the cure rate in childhood cancer has increased tremendously and over 60% of all childhood cancers are now curable.
Among childhood malignancies, lymphomas contribute the second most common. Although the incidence of Hodgkin?s lymphoma was higher in pediatric age group, number of NHL cases is rising rapidly due to increased prevalence of HIV patients, immunodeficiency, and many undiagnosed etiologies. Disease-free survival period is very less in majority of NHL patients with predominantly extranodal visceral involvement, as many of them died during chemoradiation.
Clinical and histopathological study of these cases helps in knowing their epidemiology and burden of disease in the community. With a careful assessment of histomorphological features along with clinical and radiological imaging information, accurate diagnosis of NHL is possible. Although conventional H and E can diagnose the lymphomas, IHC plays an important role in further subtyping of lymphoma.
Parvovirus B19 infection causes severe cytopenia and can mimic therapy-induced cytopenia in lymphoma patients, and hence, screening for parvovirus B19 DNA by PCR in lymphoma patients on therapy with unexplained cytopenia is suggested. Detection of giant pronormoblasts and absence of normal mature erythroid precursors is characteristic of parvovirus infection on routine bone marrow examination.
Declaration of patient consent
The authors certify that they have obtained all appropriate patient consent forms. In the form the patient(s) has/have given his/her/their consent for his/her/their images and other clinical information to be reported in the journal. The patients understand that their names and initials will not be published and due efforts will be made to conceal their identity, but anonymity cannot be guaranteed.
Conflict of Interest
There are no conflicts of interest.
- Rathi AK, Kumar S, Ashu A, Singh K.?Epidemiology of pediatric tumors at a teriary care centre. Indian J Med Paediatr Oncol 2007; 28: 33-5
- Kusumakumary P, Jacob R, Jothirmayi R, Nair MK.?Profile of pediatric malignancies: A ten year study. Indian Pediatr 2000; 37: 1234-8
- Stiller CA.?International patterns of cancer incidence in adolescents. Cancer Treat Rev 2007; 33: 631-45
- Gross TG, Termuhlen AM.?Pediatric non-Hodgkin?s lymphoma. Curr Oncol Rep 2007; 9: 459-65
- Kaplinsky C, Zaizov R.?Childhood B-cell non-Hodgkin?s lymphoma in Israel. Leuk Lymphoma 1994; 14: 49-53
- Samuelsson BO, Ridell B, R?ckert L, Gustafsson G, M?rky I.?Non-Hodgkin lymphoma in children: A 20-year population-based epidemiologic study in Western Sweden. J Pediatr Hematol Oncol 1999; 21: 103-10
- Manipadam MT, Nair S, Viswabandya A, Mathew L, Srivastava A, Chandy M. et al.?Non-Hodgkin lymphoma in childhood and adolescence: Frequency and distribution of immunomorphological types from a tertiary care center in South India. World J Pediatr 2011; 7: 318-25
- Jabeen S, Haque M, Islam MJ, Talukder MH.?Profile of paediatric malignancies: A five year study. J Dhaka Med Coll Cancer 2010; 19: 33-8
- Swaminathan R, Rama R, Shanta V.?Childhood cancers in Chennai, India, 1990-2001: Incidence and survival. Int J Cancer 2008; 122: 2607-11
- Srinivas V, Soman CS, Naresh KN.?Study of the distribution of 289 non-Hodgkin lymphomas using the WHO classification among children and adolescents in India. Med Pediatr Oncol 2002; 39: 40-3
- Wright D, McKeever P, Carter R.?Childhood non-Hodgkin lymphomas in the United Kingdom: Findings from the UK Children?s Cancer Study Group. J Clin Pathol 1997; 50: 128-34
- Nandakumar A, Anantha N, Appaji L, Swamy K, Mukherjee G, Venugopal T. et al.?Descriptive epidemiology of childhood cancers in Bangalore, India. Cancer Causes Control 1996; 7: 405-10
- Hwang IG, Yoo KH, Lee SH, Park YH, Lim TK, Lee SC. et al.?Clinicopathologic features and treatment outcomes in malignant lymphoma of pediatric and young adult patients in Korea: Comparison of Korean all-ages group and Western younger age group. Clin Lymphoma Myeloma 2007; 7: 580-6
- Burkhardt B, Zimmermann M, Oschlies I, Niggli F, Mann G, Parwaresch R. et al.?The impact of age and gender on biology, clinical features and treatment outcome of non-Hodgkin lymphoma in childhood and adolescence. Br J Haematol 2005; 131: 39-49
- Advani S, Pai S, Adde M, Vaidya S, Vats T, Naresh K. et al.?Preliminary report of an intensified, short duration chemotherapy protocol for the treatmentof paediatric non-Hodgkin?s lymphoma in India. Ann Oncol 1997; 8: 893-7
- Magrath IT.?African Burkitt?s lymphoma. History, biology, clinical features, and treatment. Am J Pediatr Hematol Oncol 1991; 13: 222-46
- Ferry JA.?Burkitt?s lymphoma: Clinicopathologic features and differential diagnosis. Oncologist 2006; 11: 375-83
- Alford MA, Nerad JA, Conlan RM, Comito M, Giller RH.?Precursor B-cell lymphoblastic lymphoma presenting as an orbital mass. Orbit 1999; 18: 17-24
- Mohan H, Sen DK, Chatterjee PK.?Primary reticulo-endothelial tumours of orbit. Indian J Ophthalmol 1971; 19: 61-6
- Saraceni C, Agostino N, Cornfield DB, Gupta R.?Plasmablastic lymphoma of the maxillary sinus in an HIV-negative patient: A case report and literature review. Springerplus 2013; 2: 142
- Lindblom A, Heyman M, Gustafsson I, Norbeck O, Kaldensj? T, Vernby A. et al.?Parvovirus B19 infection in children with acute lymphoblastic leukemia is associated with cytopenia resulting in prolonged interruptions of chemotherapy. Clin Infect Dis 2008; 46: 528-36
- Yetgin S, ?etin M, Aslan D, ?y?rek E, Anlar B, U?kan D. et al.?Parvovirus B19 infection presenting as pre-B-cell acute lymphoblastic leukemia: A Transient and progressive course in two children. J Pediatr Hematol Oncol 2004; 26: 689-92
- McNall RY, Head DR, Pui CH, Razzouk BI.?Parvovirus B19 infection in a child with acute lymphoblastic leukemia during induction therapy. J Pediatr Hematol Oncol 2001; 23: 309-11
- Zak TA, Fisher JE, Afshani E.?Infantile non-African Burkitt?s lymphoma presenting as bilateral fulminant exophthalmos. J Pediatr Ophthalmol Strabismus 1982; 19: 294-8
- Huisman TA, Tschirch F, Schneider JF, Niggli F, Martin-Fiori E, Willi UV. et al.?Burkitt?s lymphoma with bilateral cavernous sinus and mediastinal involvement in a child. Pediatr Radiol 2003; 33: 719-21
Address for correspondence
Publication History
Article published online:
24 May 2021
? 2019. Indian Society of Medical and Paediatric Oncology. This is an open access article published by Thieme under the terms of the Creative Commons Attribution-NonDerivative-NonCommercial-License, permitting copying and reproduction so long as the original work is given appropriate credit. Contents may not be used for commercial purposes, or adapted, remixed, transformed or built upon. (https://creativecommons.org/licenses/by-nc-nd/4.0/).
Thieme Medical and Scientific Publishers Pvt. Ltd.
A-12, 2nd Floor, Sector 2, Noida-201301 UP, India
|?Figure. 1? Distribution of different malignances in pediatric population (n = 227)
References
- Rathi AK, Kumar S, Ashu A, Singh K.?Epidemiology of pediatric tumors at a teriary care centre. Indian J Med Paediatr Oncol 2007; 28: 33-5
- Kusumakumary P, Jacob R, Jothirmayi R, Nair MK.?Profile of pediatric malignancies: A ten year study. Indian Pediatr 2000; 37: 1234-8
- Stiller CA.?International patterns of cancer incidence in adolescents. Cancer Treat Rev 2007; 33: 631-45
- Gross TG, Termuhlen AM.?Pediatric non-Hodgkin?s lymphoma. Curr Oncol Rep 2007; 9: 459-65
- Kaplinsky C, Zaizov R.?Childhood B-cell non-Hodgkin?s lymphoma in Israel. Leuk Lymphoma 1994; 14: 49-53
- Samuelsson BO, Ridell B, R?ckert L, Gustafsson G, M?rky I.?Non-Hodgkin lymphoma in children: A 20-year population-based epidemiologic study in Western Sweden. J Pediatr Hematol Oncol 1999; 21: 103-10
- Manipadam MT, Nair S, Viswabandya A, Mathew L, Srivastava A, Chandy M. et al.?Non-Hodgkin lymphoma in childhood and adolescence: Frequency and distribution of immunomorphological types from a tertiary care center in South India. World J Pediatr 2011; 7: 318-25
- Jabeen S, Haque M, Islam MJ, Talukder MH.?Profile of paediatric malignancies: A five year study. J Dhaka Med Coll Cancer 2010; 19: 33-8
- Swaminathan R, Rama R, Shanta V.?Childhood cancers in Chennai, India, 1990-2001: Incidence and survival. Int J Cancer 2008; 122: 2607-11
- Srinivas V, Soman CS, Naresh KN.?Study of the distribution of 289 non-Hodgkin lymphomas using the WHO classification among children and adolescents in India. Med Pediatr Oncol 2002; 39: 40-3
- Wright D, McKeever P, Carter R.?Childhood non-Hodgkin lymphomas in the United Kingdom: Findings from the UK Children?s Cancer Study Group. J Clin Pathol 1997; 50: 128-34
- Nandakumar A, Anantha N, Appaji L, Swamy K, Mukherjee G, Venugopal T. et al.?Descriptive epidemiology of childhood cancers in Bangalore, India. Cancer Causes Control 1996; 7: 405-10
- Hwang IG, Yoo KH, Lee SH, Park YH, Lim TK, Lee SC. et al.?Clinicopathologic features and treatment outcomes in malignant lymphoma of pediatric and young adult patients in Korea: Comparison of Korean all-ages group and Western younger age group. Clin Lymphoma Myeloma 2007; 7: 580-6
- Burkhardt B, Zimmermann M, Oschlies I, Niggli F, Mann G, Parwaresch R. et al.?The impact of age and gender on biology, clinical features and treatment outcome of non-Hodgkin lymphoma in childhood and adolescence. Br J Haematol 2005; 131: 39-49
- Advani S, Pai S, Adde M, Vaidya S, Vats T, Naresh K. et al.?Preliminary report of an intensified, short duration chemotherapy protocol for the treatmentof paediatric non-Hodgkin?s lymphoma in India. Ann Oncol 1997; 8: 893-7
- Magrath IT.?African Burkitt?s lymphoma. History, biology, clinical features, and treatment. Am J Pediatr Hematol Oncol 1991; 13: 222-46
- Ferry JA.?Burkitt?s lymphoma: Clinicopathologic features and differential diagnosis. Oncologist 2006; 11: 375-83
- Alford MA, Nerad JA, Conlan RM, Comito M, Giller RH.?Precursor B-cell lymphoblastic lymphoma presenting as an orbital mass. Orbit 1999; 18: 17-24
- Mohan H, Sen DK, Chatterjee PK.?Primary reticulo-endothelial tumours of orbit. Indian J Ophthalmol 1971; 19: 61-6
- Saraceni C, Agostino N, Cornfield DB, Gupta R.?Plasmablastic lymphoma of the maxillary sinus in an HIV-negative patient: A case report and literature review. Springerplus 2013; 2: 142
- Lindblom A, Heyman M, Gustafsson I, Norbeck O, Kaldensj? T, Vernby A. et al.?Parvovirus B19 infection in children with acute lymphoblastic leukemia is associated with cytopenia resulting in prolonged interruptions of chemotherapy. Clin Infect Dis 2008; 46: 528-36
- Yetgin S, ?etin M, Aslan D, ?y?rek E, Anlar B, U?kan D. et al.?Parvovirus B19 infection presenting as pre-B-cell acute lymphoblastic leukemia: A Transient and progressive course in two children. J Pediatr Hematol Oncol 2004; 26: 689-92
- McNall RY, Head DR, Pui CH, Razzouk BI.?Parvovirus B19 infection in a child with acute lymphoblastic leukemia during induction therapy. J Pediatr Hematol Oncol 2001; 23: 309-11
- Zak TA, Fisher JE, Afshani E.?Infantile non-African Burkitt?s lymphoma presenting as bilateral fulminant exophthalmos. J Pediatr Ophthalmol Strabismus 1982; 19: 294-8
- Huisman TA, Tschirch F, Schneider JF, Niggli F, Martin-Fiori E, Willi UV. et al.?Burkitt?s lymphoma with bilateral cavernous sinus and mediastinal involvement in a child. Pediatr Radiol 2003; 33: 719-21
PDF
Views
Share

