Pseudoprogression in Rectal Gastrointestinal Stromal Tumor
CC BY-NC-ND 4.0 · Indian J Med Paediatr Oncol 2019; 40(S 01): S173-S175
DOI: DOI: 10.4103/ijmpo.ijmpo_148_17
Abstract
Although gastrointestinal stromal tumors (GISTs) are common mesenchymal intestinal neoplasms, rectal GISTs are rare mesenchymal tumors of the GI tract. We describe a case of rectal GIST in a 63-year-old male. The patient was given imatinib monotherapy and was further followed up by contrast-enhanced computed tomography abdomen for response assessment. We conclude that although rectal GISTs are extremely uncommon, it should be considered as a differential when any rectal mass is incidentally detected. Oncologists and radiologists should also be aware of pseudoprogression phenomena of GISTs in evaluating tumor response.
Publication History
Article published online:
24 May 2021
© 2019. Indian Society of Medical and Paediatric Oncology. This is an open access article published by Thieme under the terms of the Creative Commons Attribution-NonDerivative-NonCommercial-License, permitting copying and reproduction so long as the original work is given appropriate credit. Contents may not be used for commercial purposes, or adapted, remixed, transformed or built upon. (https://creativecommons.org/licenses/by-nc-nd/4.0/).
Thieme Medical and Scientific Publishers Pvt. Ltd.
A-12, 2nd Floor, Sector 2, Noida-201301 UP, India
Abstract
Although gastrointestinal stromal tumors (GISTs) are common mesenchymal intestinal neoplasms, rectal GISTs are rare mesenchymal tumors of the GI tract. We describe a case of rectal GIST in a 63-year-old male. The patient was given imatinib monotherapy and was further followed up by contrast-enhanced computed tomography abdomen for response assessment. We conclude that although rectal GISTs are extremely uncommon, it should be considered as a differential when any rectal mass is incidentally detected. Oncologists and radiologists should also be aware of pseudoprogression phenomena of GISTs in evaluating tumor response.
Introduction
Gastrointestinal stromal tumors (GISTs) are rare tumors of the gastrointestinal tract and represent only about 1%–3% of all GI malignancies.[1] The term GIST was coined by Mazur and Clark in the year 1983.[2] They arise from interstitial cells of Cajal and nearly always express the transmembrane receptor tyrosine kinase KIT (CD117).[3] Stomach (60%–70%) is the most common site of GIST followed by small intestine (20%–25%) and rectum (5%).[4] [5] It is a well-known fact that imatinib, a new molecular targeted tyrosine-kinase receptor blocker, results in a dramatic response with an increase in survival of GIST patients. Imaging has a vital role in the management of GIST as it leads to increased recognition, diagnosis, and follow-up. Furthermore, imaging is the only way for monitoring the effect of treatment and disease progression.[6] We describe a rare case of rectal GIST and its treatment evaluation on the contrast-enhanced computed tomography (CECT) in this case report.
Case Report
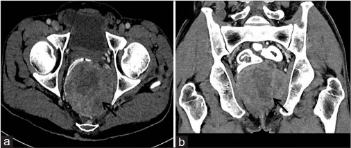
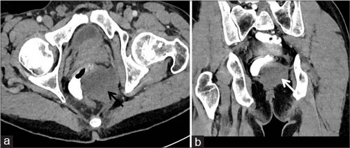
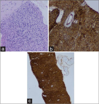
A 63-year-old-male patient presented with on and off constipation for the past 3 months. The patient was chronic smoker for 20 years. Per rectal examination revealed solitary palpable mass along posterior rectal wall extending from 4 to 8 o’clock position. Patient’s blood counts, viral markers, and chest X-ray were normal. With a suspicion of rectal malignancy, triphasic contrast-enhanced CT abdomen was performed. CECT revealed heterogeneous predominantly exophytic mass lesion abutting the rectum [Figure 1]. On histopathological examination, the specimen revealed fibrocollagenous cores with a cellular spindle cell tumor comprising of spindle cell. On immunohistochemistry, tumor cells were strongly positive for CD34 and CD117 [Figure 2]. Postimatinib therapy, the tumor showed a significant reduction in size, attenuation, and internal neovascularity [Figure 3].
| Figure. 1 (a and b) Pretreatment imaging. Axial and coronal reformatted computed tomography images showing heterogeneously hyperenhancing exophytic mass lesion arising from rectum (arrows)
| Figure. 2 Microscopic examination revealing fibrocollagenous cores with a cellular spindle cell tumor comprising spindle cell. (b and c) On immunohistochemistry, tumor cells were strongly positive for CD34 and CD117
| Figure. 3 (a and b) Posttreatment imaging. Axial and coronal reformatted computed tomography images showing significant reduction in size, attenuation, and enhancement of the rectal gastrointestinal stromal tumor suggestive of partial response
Discussion
GISTs are mesenchymal tumors which can be seen throughout GIT and express CD117. CD117 is a tyrosine kinase growth factor receptor and the most important marker for the diagnosis of GIST, and it is a target for drug therapy with imatinib.[7] The rectum is an uncommon site for GIST and constitutes only 5% of gastrointestinal GISTs.
Symptoms of rectal GIST are similar to other rectal tumors. The diagnostic workup for rectal GIST is similar to that of other rectal masses. Digital examination of the rectum, colonoscopy, triple-phase CECT scan, and biopsy play an important role in the diagnosis of GIST. Most of the GIST originates within the musclaris propria layer, and they commonly have exophytic growth pattern. Exophytic GISTs without mucosal invasion can only be seen in CT scan.[8] This growth pattern is better seen on imaging, and CT scan is a must for local invasion and for possible metastatic disease elsewhere in the body.
Triple-phase CECT is the modality of choice for the diagnosis of rectal GIST. Imaging features include a large soft-tissue hypervascular and intensely enhancing mass lesion. Necrosis, cystic degeneration, and hemorrhage can lead to heterogeneous appearance.[9] [10] Other common features include ulceration and fistulization. Cavitary nature with air and contrast within the mass is suggestive of mucosal ulceration with fistulous communication of necrotic cavity with the bowel lumen. Collection of air in the nondependent aspect of larger cavitating tumors with necrosis is known as the “Torricelli–Bernoulli” crescentic necrosis sign. Neovascularity can also be seen within the tumors. Displacement of adjacent organs and vascular structures can be seen. Only sometimes, direct invasion of adjacent organs is seen. Large size, exophytic nature, and displacement of adjacent bowel loops may sometimes lead to difficulty in identifying the exact site of origin. Bowel obstruction is very rare in rectal GIST. Liver and peritoneum are the most common sites of metastasis in GIST. Lungs and pleura are the uncommon site for metastasis in GIST. Lymph node metastasis is very rare in GIST. Imaging characteristics of GIST metastasis is similar to primary mass.[11]
Rectal GISTs respond very well to imatinib. Reduction in size and enhancement are commonly observed. The traditional approach of measuring tumor size alone in the evaluation of treatment response in GISTs has various pitfalls. Over the years, the WHO and response evaluation criteria in solid tumors criteria have been modified and changes in size and the morphologic and metabolic features of specific tumors to overcome the limitations of the traditional criteria. The Choi response criteria are used in the assessment of GISTs. Decrease in tumor size is usually minimal during the early stages of posttreatment, whereas dramatic changes in internal characteristics (e.g., tumor attenuation, nodularity, and a number of vessels) are seen. Based on the Choi criteria, subjective evaluation using changes in tumor nodules, density, and tumor vascularization, in addition to changes in tumor size, is the best way to evaluate response by CT. Objective criteria using a combination of tumor density (>15% change) and modified tumor size (>10%) are promising in early response evaluation and have excellent prognostic value. Identifying an intratumoral nodule within the treated GIST is a unique and important imaging finding in recurrent GIST. Reduction in enhancing components indicates tumor response. However, oncologists and radiologists should be aware of the phenomenon of pseudoprogression. Paradoxically, tumor can increase in size after imatinib treatment secondary to intratumoral hemorrhage, necrosis, and myxoid degeneration. However, such increase in size should not be misinterpreted as disease progression.[6] [12] [13]
Biopsy plays a key role in the diagnosis of GIST, and it also provides information regarding immunohistochemical features. GISTs generally express CD117. Often, CD34, smooth muscle actin, and S100 are also expressed by GISTs.[3]
Conclusion
Rectal GISTs should be included when a rectal mass lesion is detected; however, it is extremely rare. Diagnostic workup of rectal GIST is similar to that of other rectal tumors. CT plays a very important role in diagnosis, staging, and monitoring of effects of treatment. Oncologists and radiologist should be aware of pseudoprogression phenomena of GISTs in evaluating tumor response.
Declaration of patient consent
The authors certify that they have obtained all appropriate patient consent forms. In the form the patient(s) has/have given his/her/their consent for his/her/their images and other clinical information to be reported in the journal. The patients understand that their names and initials will not be published and due efforts will be made to conceal their identity, but anonymity cannot be guaranteed.
Conflict of Interest
There are no conflicts of interest.
- Nishida T, Hirota S. Biological and clinical review of stromal tumors in the gastrointestinal tract. Histol Histopathol 2000; 15: 1293-301
- Mazur MT, Clark HB. Gastric stromal tumors. Reappraisal of histogenesis. Am J Surg Pathol 1983; 7: 507-19
- Hirota S, Isozaki K, Moriyama Y, Hashimoto K, Nishida T, Ishiguro S. et al. Gain-of-function mutations of c-kit in human gastrointestinal stromal tumors. Science 1998; 279: 577-80
- Tran T, Davila JA, El-Serag HB. The epidemiology of malignant gastrointestinal stromal tumors: An analysis of 1,458 cases from 1992 to 2000. Am J Gastroenterol 2005; 100: 162-8
- Miettinen M, Furlong M, Sarlomo-Rikala M, Burke A, Sobin LH, Lasota J. et al. Gastrointestinal stromal tumors, intramural leiomyomas, and leiomyosarcomas in the rectum and anus: A clinicopathologic, immunohistochemical, and molecular genetic study of 144 cases. Am J Surg Pathol 2001; 25: 1121-33
- Hong X, Choi H, Loyer EM, Benjamin RS, Trent JC, Charnsangavej C. et al. Gastrointestinal stromal tumor: Role of CT in diagnosis and in response evaluation and surveillance after treatment with imatinib. Radiographics 2006; 26: 481-95
- Fletcher CD, Berman JJ, Corless C, Gorstein F, Lasota J, Longley BJ. et al. Diagnosis of gastrointestinal stromal tumors: A consensus approach. Hum Pathol 2002; 33: 459-65
- Eisenberg BL, Judson I. Surgery and imatinib in the management of GIST: Emerging approaches to adjuvant and neoadjuvant therapy. Ann Surg Oncol 2004; 11: 465-75
- Burkill GJ, Badran M, Al-Muderis O, Meirion Thomas J, Judson IR, Fisher C. et al. Malignant gastrointestinal stromal tumor: Distribution, imaging features, and pattern of metastatic spread. Radiology 2003; 226: 527-32
- Levy AD, Remotti HE, Thompson WM, Sobin LH, Miettinen M. Gastrointestinal stromal tumors: Radiologic features with pathologic correlation. Radiographics 2003; 23: 283-304, 456
- Nilsson B, Bümming P, Meis-Kindblom JM, Odén A, Dortok A, Gustavsson B. et al. Gastrointestinal stromal tumors: The incidence, prevalence, clinical course, and prognostication in the preimatinib mesylate era – a population-based study in Western Sweden. Cancer 2005; 103: 821-9
- Tirkes T, Hollar MA, Tann M, Kohli MD, Akisik F, Sandrasegaran K. et al. Response criteria in oncologic imaging: Review of traditional and new criteria. Radiographics 2013; 33: 1323-41
- Choi H. Response evaluation of gastrointestinal stromal tumors. Oncologist 2008; 13 (02) Suppl 4-7
Address for correspondence
Publication History
Article published online:
24 May 2021
© 2019. Indian Society of Medical and Paediatric Oncology. This is an open access article published by Thieme under the terms of the Creative Commons Attribution-NonDerivative-NonCommercial-License, permitting copying and reproduction so long as the original work is given appropriate credit. Contents may not be used for commercial purposes, or adapted, remixed, transformed or built upon. (https://creativecommons.org/licenses/by-nc-nd/4.0/).
Thieme Medical and Scientific Publishers Pvt. Ltd.
A-12, 2nd Floor, Sector 2, Noida-201301 UP, India
References
- Nishida T, Hirota S. Biological and clinical review of stromal tumors in the gastrointestinal tract. Histol Histopathol 2000; 15: 1293-301
- Mazur MT, Clark HB. Gastric stromal tumors. Reappraisal of histogenesis. Am J Surg Pathol 1983; 7: 507-19
- Hirota S, Isozaki K, Moriyama Y, Hashimoto K, Nishida T, Ishiguro S. et al. Gain-of-function mutations of c-kit in human gastrointestinal stromal tumors. Science 1998; 279: 577-80
- Tran T, Davila JA, El-Serag HB. The epidemiology of malignant gastrointestinal stromal tumors: An analysis of 1,458 cases from 1992 to 2000. Am J Gastroenterol 2005; 100: 162-8
- Miettinen M, Furlong M, Sarlomo-Rikala M, Burke A, Sobin LH, Lasota J. et al. Gastrointestinal stromal tumors, intramural leiomyomas, and leiomyosarcomas in the rectum and anus: A clinicopathologic, immunohistochemical, and molecular genetic study of 144 cases. Am J Surg Pathol 2001; 25: 1121-33
- Hong X, Choi H, Loyer EM, Benjamin RS, Trent JC, Charnsangavej C. et al. Gastrointestinal stromal tumor: Role of CT in diagnosis and in response evaluation and surveillance after treatment with imatinib. Radiographics 2006; 26: 481-95
- Fletcher CD, Berman JJ, Corless C, Gorstein F, Lasota J, Longley BJ. et al. Diagnosis of gastrointestinal stromal tumors: A consensus approach. Hum Pathol 2002; 33: 459-65
- Eisenberg BL, Judson I. Surgery and imatinib in the management of GIST: Emerging approaches to adjuvant and neoadjuvant therapy. Ann Surg Oncol 2004; 11: 465-75
- Burkill GJ, Badran M, Al-Muderis O, Meirion Thomas J, Judson IR, Fisher C. et al. Malignant gastrointestinal stromal tumor: Distribution, imaging features, and pattern of metastatic spread. Radiology 2003; 226: 527-32
- Levy AD, Remotti HE, Thompson WM, Sobin LH, Miettinen M. Gastrointestinal stromal tumors: Radiologic features with pathologic correlation. Radiographics 2003; 23: 283-304, 456
- Nilsson B, Bümming P, Meis-Kindblom JM, Odén A, Dortok A, Gustavsson B. et al. Gastrointestinal stromal tumors: The incidence, prevalence, clinical course, and prognostication in the preimatinib mesylate era – a population-based study in Western Sweden. Cancer 2005; 103: 821-9
- Tirkes T, Hollar MA, Tann M, Kohli MD, Akisik F, Sandrasegaran K. et al. Response criteria in oncologic imaging: Review of traditional and new criteria. Radiographics 2013; 33: 1323-41
- Choi H. Response evaluation of gastrointestinal stromal tumors. Oncologist 2008; 13 (02) Suppl 4-7
PDF
Views
Share

