Richter's Transformation in an Unusual Site: Non-Hodgkin Lymphoma in the Parotid Region
CC BY 4.0 · Indian J Med Paediatr Oncol 2026; 47(02): 160-162
DOI: DOI: 10.1055/s-0045-1809540
To the editor,
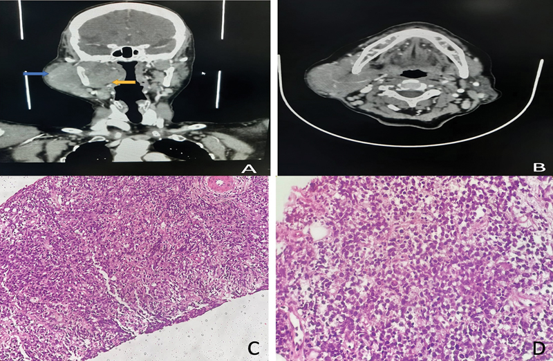
A 73-year-old female patient, a known diabetic, presented to our tertiary care center with swelling on the right side of the face for the past 1 month, insidious in onset and gradually increasing in size. The patient had a past history of chronic lymphocytic leukemia (CLL) that was diagnosed at an outside hospital 3 years ago, for which she was taking treatment comprising of tablet chlorambucil. Further details of initial diagnosis were not known. Her Eastern Cooperative Oncology Group performance status indicated a score of 0 (able to perform all daily activities). Upon hematological investigations, she had a hemoglobin of 13.6 g%, total count of 56,800 cells/cu.mm, platelet counts was 3.29 lakhs, and serum lactate dehydrogenase level was 163 U/L (normal: 208–370 U/L). Uric acid and aspartate aminotransferase levels were low. Bone marrow biopsy was not performed. Computed tomography and positron emission tomography showed a fluorodeoxyglucose (FDG)-avid mass lesion with mandible erosion in the right parotid with a maximum standardized uptake value of 11.8 ([Fig. 1A, B]). The scan also showed multiple mildly prominent and mildly enlarged lymph nodes in the neck and bilateral axilla, with a maximum size of 15 mm on the right and 17 mm on the left and pelvis with no minimal FDG uptake. An image-guided accurate biopsy from the right parotid gland was performed.
Fig 1: (A and B) Computed tomography of the neck with contrast showing an ill-defined homogeneously enhancing soft tissue density involving the superficial lobe (blue arrow) and deep lobe (yellow arrow) of the right parotid gland with extensions. (C and D) Hematoxylin and eosin-stained sections in 20× (C) and 40× (D) magnifications, respectively, showing infiltration by sheets of atypical large lymphoid cells, with the presence of brisk mitosis and apoptosis.
Grossly, we received six linear cores of soft tissue, the largest measuring 0.5 cm and the smallest measuring 0.2 cm. Upon microscopic examination, sections showed diffuse infiltrating lesion composed of sheets of large cells with scant cytoplasm, increased nucleocytoplasmic ratio, nuclear pleomorphism, and coarse chromatin. Brisk mitotic figures and apoptotic bodies were also seen ([Fig. 1C, D]).
Immunohistochemistry (IHC) performed showed diffuse positivity for CD45, CD20, BCL6, and BCL2 and focally for CD5 in the large cells, while they were negative for CD3, CD10, CK7, cyclin D, and MUM1. Ki67 labeling index was 80%. ([Fig. 2A–I]). The IHC findings confirmed the diagnosis of a diffuse large B cell lymphoma (DLBCL) germinal center type, involving the parotid gland, establishing a Richter's transformation from CLL. Following this, she was again started on rituximab-containing chemotherapy that also included injection doxorubicin, vincristine, and cyclophosphamide. However, she finally succumbed to the disease 3 months later.
Fig 2: Immunohistochemical findings in the tumor cells in 20 × : (A) CD45 positive in the tumor, (B) CD20 diffusely positive in the tumor cells, (C) CD3 scattered positivity noted, (D) Bcl6 positive, (E) Bcl2 diffusely positive, (F) CD5 positive in scattered cells, (G) Ki67 80%. in the tumor cells, (H) cytokeratin positive in entrapped glands and negative in tumor cells, and (I) C-myc focally positive.
Richter's transformation refers to a phenomenon in which CLL or small lymphocytic lymphoma transforms into a more aggressive form of lymphoma, usually DLBCL, with incidence rates of 2 to 10%.[1] The exact cause has yet to be understood, but mutations such as TP53, c-Myc, and NOTCH1 have been documented.[2] [3] Richter transformation occurs in salivary glands such as the submandibular gland; however, it is extremely rare to occur in the parotid gland.[4] The prognosis for such cases is generally less favorable, and treatment is challenging. Hence, a high index of suspicion is crucial for a timely diagnosis and to plan appropriate treatment. Recent therapies such as chimeric antigen receptor T-cell therapy and treatment with monoclonal antibodies have demonstrated encouraging results and are in the clinical trial stage.[5] This case was presented due to its rare location and distinct clinicopathological implication.
Authors' Contributions
J.J. was involved in literature search, data acquisition, data analysis, manuscript preparation. A.B. was involved with the concept, design, definition of intellectual content, clinical study, manuscript editing, review and guarantor. L.D. and N.R. were involved with definition of intellectual content, clinical study, manuscript review and editing.
Patient Consent
Patient consent is not required due to the retrospective nature of the study.
Publication History
Article published online:
11 June 2025
© 2025. The Author(s). This is an open access article published by Thieme under the terms of the Creative Commons Attribution License, permitting unrestricted use, distribution, and reproduction so long as the original work is properly cited. (https://creativecommons.org/licenses/by/4.0/)
Thieme Medical and Scientific Publishers Private Limited
A-13A, Graphix Tower 1, 6th floor, Sector 62, Noida 201309, Uttar Pradesh, India
We recommend
- Skull Base in Non-Hodgkin's LymphomaMario Teo, Skull Base, 2009
- Hodgkin Variant of Richter’s Transformation: Is Transplant Always an Answer?Ilavarasi Vanidassane, Indian Journal of Medical and Paediatric Oncology, 2019
- Lymphomas of the Skull Base: A Rare EntityRalf Buhl, Journal of Neurological Surgery Part B: Skull Base, 2014
- Mantle cell lymphoma presenting as multiple lymphomatous polyposis spreading widely to the small intestine and diagnosed by double-balloon endoscopyK. Hotta, Endoscopy, 2007
- Primary non-Hodgkin''s lymphoma in esophagus-a case reportQ. Zhu, Aktuelle Traumatologie, 2006
- Hodgkin’s lymphoma: 2023 update on treatmentSicong ZHANG, Highlights in hematologic tumor and lymphoma research from Cancer Biology & Medicine, 2023
- Nodal peripheral T-cell lymphomas in the new classification systemsCatalina Amador and Wing C. Chan, Highlights in hematologic tumor and lymphoma research from Cancer Biology & Medicine, 2023
- A retrospective analysis of mature T- and NK-cell lymphomasJunlei Jia, Highlights in hematologic tumor and lymphoma research from Cancer Biology & Medicine, 2024
- Non-medical-school Medical School Curriculum » in-Training, the online magazine for medical studentsReza Hosseini Ghomi, in-Training, the online peer-reviewed publication for medical students
- The First Case of B-lymphoblastic Leukemia Associated With t(7;8)(q34;p11.2) and FGFR1 RearrangementHa-eun Cho, Annals of Laboratory Medicine, 2022
To the editor,
A 73-year-old female patient, a known diabetic, presented to our tertiary care center with swelling on the right side of the face for the past 1 month, insidious in onset and gradually increasing in size. The patient had a past history of chronic lymphocytic leukemia (CLL) that was diagnosed at an outside hospital 3 years ago, for which she was taking treatment comprising of tablet chlorambucil. Further details of initial diagnosis were not known. Her Eastern Cooperative Oncology Group performance status indicated a score of 0 (able to perform all daily activities). Upon hematological investigations, she had a hemoglobin of 13.6 g%, total count of 56,800 cells/cu.mm, platelet counts was 3.29 lakhs, and serum lactate dehydrogenase level was 163 U/L (normal: 208–370 U/L). Uric acid and aspartate aminotransferase levels were low. Bone marrow biopsy was not performed. Computed tomography and positron emission tomography showed a fluorodeoxyglucose (FDG)-avid mass lesion with mandible erosion in the right parotid with a maximum standardized uptake value of 11.8 ([Fig. 1A, B]). The scan also showed multiple mildly prominent and mildly enlarged lymph nodes in the neck and bilateral axilla, with a maximum size of 15 mm on the right and 17 mm on the left and pelvis with no minimal FDG uptake. An image-guided accurate biopsy from the right parotid gland was performed.
Fig 1: (A and B) Computed tomography of the neck with contrast showing an ill-defined homogeneously enhancing soft tissue density involving the superficial lobe (blue arrow) and deep lobe (yellow arrow) of the right parotid gland with extensions. (C and D) Hematoxylin and eosin-stained sections in 20× (C) and 40× (D) magnifications, respectively, showing infiltration by sheets of atypical large lymphoid cells, with the presence of brisk mitosis and apoptosis.
Grossly, we received six linear cores of soft tissue, the largest measuring 0.5 cm and the smallest measuring 0.2 cm. Upon microscopic examination, sections showed diffuse infiltrating lesion composed of sheets of large cells with scant cytoplasm, increased nucleocytoplasmic ratio, nuclear pleomorphism, and coarse chromatin. Brisk mitotic figures and apoptotic bodies were also seen ([Fig. 1C, D]).
Immunohistochemistry (IHC) performed showed diffuse positivity for CD45, CD20, BCL6, and BCL2 and focally for CD5 in the large cells, while they were negative for CD3, CD10, CK7, cyclin D, and MUM1. Ki67 labeling index was 80%. ([Fig. 2A–I]). The IHC findings confirmed the diagnosis of a diffuse large B cell lymphoma (DLBCL) germinal center type, involving the parotid gland, establishing a Richter's transformation from CLL. Following this, she was again started on rituximab-containing chemotherapy that also included injection doxorubicin, vincristine, and cyclophosphamide. However, she finally succumbed to the disease 3 months later.
Fig 2: Immunohistochemical findings in the tumor cells in 20 × : (A) CD45 positive in the tumor, (B) CD20 diffusely positive in the tumor cells, (C) CD3 scattered positivity noted, (D) Bcl6 positive, (E) Bcl2 diffusely positive, (F) CD5 positive in scattered cells, (G) Ki67 80%. in the tumor cells, (H) cytokeratin positive in entrapped glands and negative in tumor cells, and (I) C-myc focally positive.
Richter's transformation refers to a phenomenon in which CLL or small lymphocytic lymphoma transforms into a more aggressive form of lymphoma, usually DLBCL, with incidence rates of 2 to 10%.[1] The exact cause has yet to be understood, but mutations such as TP53, c-Myc, and NOTCH1 have been documented.[2] [3] Richter transformation occurs in salivary glands such as the submandibular gland; however, it is extremely rare to occur in the parotid gland.[4] The prognosis for such cases is generally less favorable, and treatment is challenging. Hence, a high index of suspicion is crucial for a timely diagnosis and to plan appropriate treatment. Recent therapies such as chimeric antigen receptor T-cell therapy and treatment with monoclonal antibodies have demonstrated encouraging results and are in the clinical trial stage.[5] This case was presented due to its rare location and distinct clinicopathological implication.
Authors' Contributions
J.J. was involved in literature search, data acquisition, data analysis, manuscript preparation. A.B. was involved with the concept, design, definition of intellectual content, clinical study, manuscript editing, review and guarantor. L.D. and N.R. were involved with definition of intellectual content, clinical study, manuscript review and editing.
Patient Consent
References
- Al-Sawaf O, Robrecht S, Bahlo J. et al. Richter transformation in chronic lymphocytic leukemia (CLL)-a pooled analysis of German CLL Study Group (GCLLSG) front line treatment trials. Leukemia 2021; 35 (01) 169-176
- Kohlhaas V, Blakemore SJ, Al-Maarri M. et al. Active Akt signaling triggers CLL toward Richter transformation via overactivation of Notch1. Blood 2021; 137 (05) 646-660
- Jain P, O'Brien S. Richter's transformation in chronic lymphocytic leukemia. Oncology (Williston Park) 2012; 26 (12) 1146-1152
- Liu Y. Unusual illustration of Richter transformation in chronic lymphocytic leukemia on FDG PET/CT. Clin Nucl Med 2022; 47 (08) 746-747
- Douglas M. Richter transformation: clinical manifestations, evaluation, and management. J Adv Pract Oncol 2022; 13 (05) 525-534
Address for correspondence
Publication History
Article published online:
11 June 2025
© 2025. The Author(s). This is an open access article published by Thieme under the terms of the Creative Commons Attribution License, permitting unrestricted use, distribution, and reproduction so long as the original work is properly cited. (https://creativecommons.org/licenses/by/4.0/)
Thieme Medical and Scientific Publishers Private Limited
A-13A, Graphix Tower 1, 6th floor, Sector 62, Noida 201309, Uttar Pradesh, India
We recommend
- Skull Base in Non-Hodgkin's LymphomaMario Teo, Skull Base, 2009
- Hodgkin Variant of Richter’s Transformation: Is Transplant Always an Answer?Ilavarasi Vanidassane, Indian Journal of Medical and Paediatric Oncology, 2019
- Lymphomas of the Skull Base: A Rare EntityRalf Buhl, Journal of Neurological Surgery Part B: Skull Base, 2014
- Mantle cell lymphoma presenting as multiple lymphomatous polyposis spreading widely to the small intestine and diagnosed by double-balloon endoscopyK. Hotta, Endoscopy, 2007
- Primary non-Hodgkin''s lymphoma in esophagus-a case reportQ. Zhu, Aktuelle Traumatologie, 2006
- Hodgkin's lymphoma: 2023 update on treatmentZhang, et al., Cancer Biology & Medicine, 2024
- Research progress on salivary gland mucosa-associated lymphoid tissue lymphoma DONG Jiaqi, Journal of Prevention and Treatment for Stomatological Diseases , 2025
- Submandibular mucosa-associated lymphoid tissue lymphoma in a primary Sjögren's syndromeRheumatology & Autoimmunity
- A retrospective analysis of mature T- and NK-cell lymphomasJia, et al., Cancer Biology & Medicine, 2024
- Misleading ulcers: A rare case of lymphomatoid papulosis initially diagnosed as acquired reactive perforating collagenosisZhongyu Chen, Rheumatology & Autoimmunity, 2025
Fig 1: (A and B) Computed tomography of the neck with contrast showing an ill-defined homogeneously enhancing soft tissue density involving the superficial lobe (blue arrow) and deep lobe (yellow arrow) of the right parotid gland with extensions. (C and D) Hematoxylin and eosin-stained sections in 20× (C) and 40× (D) magnifications, respectively, showing infiltration by sheets of atypical large lymphoid cells, with the presence of brisk mitosis and apoptosis.
Fig 2: Immunohistochemical findings in the tumor cells in 20 × : (A) CD45 positive in the tumor, (B) CD20 diffusely positive in the tumor cells, (C) CD3 scattered positivity noted, (D) Bcl6 positive, (E) Bcl2 diffusely positive, (F) CD5 positive in scattered cells, (G) Ki67 80% in the tumor cells, (H) cytokeratin positive in entrapped glands and negative in tumor cells, and (I) C-myc focally positive.
References
- Al-Sawaf O, Robrecht S, Bahlo J. et al. Richter transformation in chronic lymphocytic leukemia (CLL)-a pooled analysis of German CLL Study Group (GCLLSG) front line treatment trials. Leukemia 2021; 35 (01) 169-176
- Kohlhaas V, Blakemore SJ, Al-Maarri M. et al. Active Akt signaling triggers CLL toward Richter transformation via overactivation of Notch1. Blood 2021; 137 (05) 646-660
- Jain P, O'Brien S. Richter's transformation in chronic lymphocytic leukemia. Oncology (Williston Park) 2012; 26 (12) 1146-1152
- Liu Y. Unusual illustration of Richter transformation in chronic lymphocytic leukemia on FDG PET/CT. Clin Nucl Med 2022; 47 (08) 746-747
- Douglas M. Richter transformation: clinical manifestations, evaluation, and management. J Adv Pract Oncol 2022; 13 (05) 525-534
PDF
Views
Share

