Role of Novel Marker Discovered on Gastrointestinal Stromal Tumor 1 in Evaluation of Gastrointestinal Stromal Tumors
CC BY-NC-ND 4.0 · Indian J Med Paediatr Oncol 2019; 40(02): 244-248
DOI: DOI: 10.4103/ijmpo.ijmpo_50_18
Abstract
Background: Gastrointestinal stromal tumors (GISTs) are the most common mesenchymal tumors arising from myenteric ganglion cells, termed interstitial cells of Cajal. GISTs occur predominantly between 40 and 60 years of age. CD34 was the initially used for diagnosing GIST. Due to its low specificity for GISTs, CD34 was replaced by C-KIT, which is a reliable marker. However, 5% GISTs lack C-KIT expression. Recent studies have shown GIST1 (DOG1) to be a more sensitive and specific marker compared to C-KIT and CD34. Aims and Objectives: The aim was to study histomorphology characteristics and risk stratification of all cases previously diagnosed as GISTs, to evaluate these cases for CD117 and DOG1 expression by immunohistochemistry (IHC) and to see whether there was any advantage in using novel markers (i.e. DOG1) as compared to conventional (C-KIT) in GIST at our center. Materials and Methods: Fifty patients with histomorphologic or imaging impression of GIST were subjected to IHC using C-KIT and DOG1. Results and Conclusion: Of 50 cases 47 (94%) were positive for C-KIT, and all 50 (100%) cases were positive for DOG1. Hence, DOG1 was positive even in C-KIT-negative cases. Therefore, our study suggests that DOG1 should be added to workup of suspected cases of GIST along with C-KIT.
Publication History
Article published online:
03 June 2021
© 2019. Indian Society of Medical and Paediatric Oncology. This is an open access article published by Thieme under the terms of the Creative Commons Attribution-NonDerivative-NonCommercial-License, permitting copying and reproduction so long as the original work is given appropriate credit. Contents may not be used for commercial purposes, or adapted, remixed, transformed or built upon. (https://creativecommons.org/licenses/by-nc-nd/4.0/).
Thieme Medical and Scientific Publishers Pvt. Ltd.
A-12, 2nd Floor, Sector 2, Noida-201301 UP, India
Abstract
Background: Gastrointestinal stromal tumors (GISTs) are the most common mesenchymal tumors arising from myenteric ganglion cells, termed interstitial cells of Cajal. GISTs occur predominantly between 40 and 60 years of age. CD34 was the initially used for diagnosing GIST. Due to its low specificity for GISTs, CD34 was replaced by C-KIT, which is a reliable marker. However, 5% GISTs lack C-KIT expression. Recent studies have shown GIST1 (DOG1) to be a more sensitive and specific marker compared to C-KIT and CD34. Aims and Objectives: The aim was to study histomorphology characteristics and risk stratification of all cases previously diagnosed as GISTs, to evaluate these cases for CD117 and DOG1 expression by immunohistochemistry (IHC) and to see whether there was any advantage in using novel markers (i.e. DOG1) as compared to conventional (C-KIT) in GIST at our center. Materials and Methods: Fifty patients with histomorphologic or imaging impression of GIST were subjected to IHC using C-KIT and DOG1. Results and Conclusion: Of 50 cases 47 (94%) were positive for C-KIT, and all 50 (100%) cases were positive for DOG1. Hence, DOG1 was positive even in C-KIT-negative cases. Therefore, our study suggests that DOG1 should be added to workup of suspected cases of GIST along with C-KIT.
Introduction
Gastrointestinal stromal tumors (GISTs) are here defined as specific, generally Kit (CD117)-positive and Kit or platelet-derived growth factor alpha (PDGFRA) mutation-driven mesenchymal tumors of the gastrointestinal (GI) tract.[1] Most of the GISTs harbor C-KIT receptor tyrosine kinase (RTK) gene mutation or homologous RTK, PDGFRA mutation.[2] The inhibition of these tyrosine kinases (TK) has revolutionized the therapy of these tumors, as specific targeted treatment with TK inhibitors is now available.[3] [4] [5] Most kit mutations in GISTs involve exon 11 (60%–70%), which is a juxtamembranous domain with regulatory function.[6] [7] Less frequent mutations occur in PDGFRA.[8] [9] 10% of GISTs having no detectable mutations in these two tyrosine kinases and are referred to as wild-type of GISTs.[10] Discovered on GIST1 (DOG1), a protein encoded by Anoctamin 1, also known as transmembrane protein 16A is a calcium chloride regulated channel.[11] In contrast to other markers, DOG1 antibody shows exclusive staining of tumor cells and Interstitial cells of Cajal with no background staining. However, given that between 36% and 50% of CD117-negative tumors are DOG1 positive, this antibody should be included in the routine histochemical diagnosis of GISTs.[12] Histologically, GISTs are classified into spindle cell pattern (60%–70%), epithelioid pattern (20%), and mixed (10%). Features that increase suspicion of malignancy include an extragastric tumor location, larger size, high mitotic counts, and the presence of necrosis.[13] [14] In this study, immunohistochemical staining for DOG-1 and C-Kit was performed on GISTs to help determine the utility of these markers in diagnosing and differentiating them from other morphologically similar entities.
Materials and Methods
This study was conducted in the Department of Pathology Sher-i-Kashmir Institute of Medical Sciences (SKIMS) Soura, Srinagar Kashmir. It was an observational study conducted over a period of 7 years, carried from 2010 to 2016. Of the 90 cases with mesenchymal tumours of the GI tract diagnosed at our center, 77 were GISTs. All the patients diagnosed with GISTs were enrolled in our study and the data were reviewed and analyzed. Paraffin-embedded blocks were retrieved from histology archives and 50 cases were obtained. Prospectively, cases suspected of having GIST were evaluated clinically. These cases were followed up after surgical removal of the tumor and 27 cases were found to have GIST. The tissue specimens, fixed in 10% formalin, were then studied for the gross findings. The tissues were then processed, and paraffin embedded blocks were obtained. 5 μ sections were cut from each block and slides prepared were stained with Haematoxylin and Eosin. These slides were then reviewed to ascertain that histomorphology was compatible with the diagnosis of GIST and to establish whether there was sufficient tumor tissue on the slide. The tumors were classified into spindle cell, epithelioid or mixed depending on the predominant cell type. Based on this information, a total of 77 (including 50 retrospective and 27 prospective cases) were collected for immunohistochemistry (IHC) for CD117 and DOG1. Formalin-fixed paraffin-embedded blocks were retrieved and sectioned to 3 μm. The antibody dilution and process of staining were carried out according to instructions. Phosphate buffer saline was used as negative control to primary antibodies. DOG-1 staining was mainly localized in cytoplasm, and few cases showed membrane staining. C-KIT also showed mostly cytoplasmic, and few showed membrane positivity. Cells were categorized according to the positive rate: Negative = Number of positive cells <5 xss=removed xss=removed xss=removed>50%.
Observations and Results
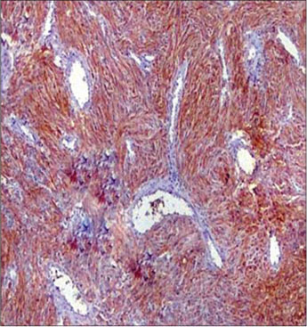
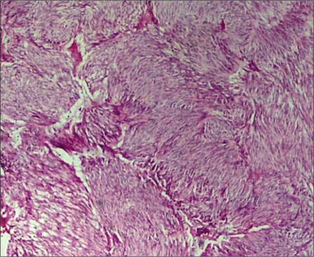
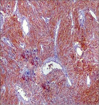
A total of 90 mesenchymal tumors of the GIT and pancreas diagnosed in SKIMS from January 2010 to December 2016 were reclassified on the basis of morphologic features and IHC into 77 (85.6%) cases of GIST and the remaining 13 (14.4%) cases as other mesenchymal tumors. The mesenchymal tumors included five cases of inflammatory myofibroblastic tumors, two cases of leiomyoma, four cases were sarcomas, one case was poorly differentiated carcinoma, and one was desmoid tumor. C-KIT positivity was seen in 72 (93.5%) cases and DOG 1 was positive in 77 (100%) cases [Figures 1], [2], [3], [4]. However, the correlation between DOG1 and CKIT was found to be statistically insignificant (P = 0.23). There was no significant association between DOG 1 expression and various histopathological parameters in the studied cases. Clinicopathological variables have been enumerated in [Table 1].
| Figure 1 Gross specimen of gastrointestinal stromal tumor
| Figure 2 Microscopic view of gastrointestinal stromal tumor
| Figure 3 CKIT staining
| Figure 4 Discovered on gastrointestinal stromal tumor 1 staining
|
Variables |
Number of cases (%) |
|---|---|
|
GI - Gastrointestinal |
|
|
Age |
|
|
<40> |
13 |
|
≥40 |
64 |
|
Gender |
|
|
Male |
45 |
|
Female |
32 |
|
Site |
|
|
Stomach |
35 |
|
Small intestine |
30 |
|
Esophagus |
3 |
|
Colon |
5 |
|
Pancreas |
3 |
|
Appendix |
1 |
|
Presentation |
|
|
GI bleeding |
25 |
|
Pain |
21 |
|
Dysphagia |
10 |
|
Lump |
6 |
|
Obstruction |
5 |
|
Dyspepsia |
4 |
|
Vommiting |
4 |
|
Constipation |
1 |
|
Jaundice |
1 |
|
Size |
|
|
≤2 |
5 |
|
>2 and≤5 |
32 |
|
>5 and≤10 |
27 |
|
>10 |
13 |
|
Mitosis |
|
|
<5> |
45 |
|
>5/50 hpf |
32 |
|
Risk stratification |
|
|
Very low risk |
10 (12.98) |
|
Low risk |
10 (12.98) |
|
Moderate risk |
19 (24.67) |
|
High risk |
35 (45.45) |
|
Histological types |
|
|
Spindle cell |
65 (87) |
|
Epitheloid |
5 (3.9) |
|
Mixed |
7 (9.1) |
|
Necrosis |
|
|
Present |
13 (16.9) |
|
Absent |
64 (83.1) |
|
Metastasis |
|
|
Seen |
7 (9.1) |
|
Not seen |
70 (90.9) |
|
Reccurence |
|
|
Seen |
73 (94.8) |
|
Not seen |
4 (5.19) |
|
CKIT |
|
|
Positive |
72 (93.5) |
|
Negative |
5 (6.4) |
|
Dog 1 |
|
|
Positive |
77(100) |
|
Negative |
0 |
- Miettinen M, Lasota J. Gastrointestinal stromal tumors (GISTs): Definition, occurrence, pathology, differential diagnosis and molecular genetics. Pol J Pathol 2003; 54: 3-24
- Rebey HS, Aiad HA. Immunohistochemical expression of DOG 1as a diagnostic marker for gastrointestinal stromal tumors in comparison to C-kit. J Am Sci 2014; 10: 198-205
- Gina AN, Hala NH, Mohammed FD, Deea F, Ahmed AS. Immunohistochemical study of DOG 1 protein expression in gastrointestinal stromal tumors. Acad J Cancer Res 2012; 5: 61-70
- Demetri GD, von Mehren M, Blanke CD, Van den Abbeele AD, Eisenberg B, Roberts PJ. et al. Efficacy and safety of imatinib mesylate in advanced gastrointestinal stromal tumors. N Engl J Med 2002; 347: 472-80
- Dematteo RP, Heinrich MC, El-Rifai WM, Demetri G. Clinical management of gastrointestinal stromal tumors: Before and after STI-571. Hum Pathol 2002; 33: 466-77
- Lasota J, Corless CL, Heinrich MC, Debiec-Rychter M, Sciot R, Wardelmann E. et al. Clinicopathologic profile of gastrointestinal stromal tumors (GISTs) with primary KIT exon 13 or exon 17 mutations: A multicenter study on 54 cases. Mod Pathol 2008; 21: 476-84
- Longley BJ, Reguera MJ, Ma Y. Classes of c-KIT activating mutations: Proposed mechanisms of action and implications for disease classification and therapy. Leuk Res 2001; 25: 571-6
- Corless CL, Schroeder A, Griffith D, Town A, McGreevey L, Harrell P. et al. PDGFRA mutations in gastrointestinal stromal tumors: Frequency, spectrum and in vitro sensitivity to imatinib. J Clin Oncol 2005; 23: 5357-64
- Lasota J, Stachura J, Miettinen M. GISTs with PDGFRA exon 14 mutations represent subset of clinically favorable gastric tumors with epithelioid morphology. Lab Invest 2006; 86: 94-100
- Sarlomo-Rikala M, Kovatich AJ, Barusevicius A, Miettinen M. CD117: A sensitive marker for gastrointestinal stromal tumors that is more specific than CD34. Mod Pathol 1998; 11: 728-34
- Simon S, Grabellus F, Ferrera L, Galietta L, Schwindenhammer B, Mühlenberg T. et al. DOG1 regulates growth and IGFBP5 in gastrointestinal stromal tumors. Cancer Res 2013; 73: 3661-70
- Ríos-Moreno MJ, Jaramillo S, Pereira Gallardo S, Vallejo A, Mora M, García-Escudero A. et al. Gastrointestinal stromal tumors (GISTs): CD117, DOG-1 and PKCθ expression. Is there any advantage in using several markers? Pathol Res Pract 2012; 208: 74-81
- Katiae V, Hattori T, Micev M, Nagorni A, Ivkoviae V, Gligorijeviae J. et al. Microscopic features and immunohistologic characterization of gastrointestinal stromal tumors. Arch Oncol 2004; 12: 49-50
- Foo WC, Liegl-Atzwanger B, Lazar AJ. Pathology of gastrointestinal stromal tumors. Clin Med Insights Pathol 2012; 5: 23-33
- Fletcher CD, Berman JJ, Corless C, Gorstein F, Lasota J, Longley BJ. et al. Diagnosis of gastrointestinal stromal tumors: A consensus approach. Hum Pathol 2002; 33: 459-65
- Espinosa I, Lee CH, Kim MK, Rouse BT, Subramanian S, Montgomery K. et al. A novel monoclonal antibody against DOG1 is a sensitive and specific marker for gastrointestinal stromal tumors. Am J Surg Pathol 2008; 32: 210-8
- Lakshmi VA, Chacko RT, Kurian S. Gastrointestinal stromal tumors: A 7-year experience from a tertiary care hospital. Indian J Pathol Microbiol 2010; 53: 628-33
- Vij M, Agrawal V, Kumar A, Pandey R. Cytomorphology of gastrointestinal stromal tumors and extra-gastrointestinal stromal tumors: A comprehensive morphologic study. J Cytol 2013; 30: 8-12
- Liegl B, Hornick JL, Corless CL, Fletcher CD. Monoclonal antibody DOG1.1 shows higher sensitivity than KIT in the diagnosis of gastrointestinal stromal tumors, including unusual subtypes. Am J Surg Pathol 2009; 33: 437-46
- Kim HC, Lee JM, Kim SH, Kim KW, Lee M, Kim YJ. et al. Primary gastrointestinal stromal tumors in the omentum and mesentery: CT findings and pathologic correlations. AJR Am J Roentgenol 2004; 182: 1463-7
- Gluszek S, Karcz W, Matykiewicz J, Kot M, Urbaniak A. Gastrointestinal stromal tumors. Gastroenterologia polska 2004; 11: 17-21
- Reith JD, Goldblum JR, Lyles RH, Weiss SW. Extragastrointestinal (soft tissue) stromal tumors: An analysis of 48 cases with emphasis on histologic predictors of outcome. Mod Pathol 2000; 13: 577-85
- Fülöp E, Marcu S, Borda A, Moldovan C, Fülöp EF, Loghin A. et al. Histopathological and immunohistochemical features of gastrointestinal stromal tumors. Rom J Morphol Embryol 2011; 52: 555-62
- Al Hussaini HF. GIST in Saudi Arabia: Multicentric histopathological genetic study of 75 surgically excised cases. Gulf J Oncolog 2012; 11: 31-7
- Sui XL, Wang H, Sun XW. Expression of DOG1, CD117 and PDGFRA in gastrointestinal stromal tumors and correlations with clinicopathology. Asian Pac J Cancer Prev 2012; 13: 1389-93
- Miettinen M, Virolainen M, Sarlomo-Rikala Maarit. Gastrointestinal stromal tumors – Value of CD34 antigen in their identification and separation from true leiomyomas and schwannomas. Am J Surg Pathol 1995; 19: 207-16
- Rebey HS, Abdel-Samie AH. Immunohistochemical expression of DOG1 as a diagnostic marker for gastrointestinal stromal tumors in comparison to c-KIT. J Am Sci 2014; 10: 198-205
- Blay JJ, Bonvalot S, Casali P. GIST consensus meeting panellists: Consensus meeting for management of gastrointestinal stromal tumors. Report of GIST consensus conference of 20-21 March 2004, under the hospices of ESMO. Ann Oncol 2005; 16: 566-78
- Loong HH. Gastro-intestinal stromal tumours: A review of current management options. Hong Kong Med J 2007; 13: 61-5
- Lillemoe KD, Efron DT. Gastointestinaltumors. In: Current Surgical Therapy. USA: Mosby Inc.; 2001: 112-7
- Boni L, Benevento A, Dionigi G, Rovera F, Dionigi R. Surgical resection for gastrointestinal stromal tumors (GIST): Experience on 25 patients. World J Surg Oncol 2005; 3: 78
- Geramizadeh B, Jowkar Z, Ranjbar Z. Frequency of KIT mutation in gastrointestinal stromal tumors according to histologic and immunohistochemical findings, the first report from Iran. Iran J Med Sci 2015; 40: 316-21
- Fatima N, Cohen C, Siddiqui MT. DOG1 utility in diagnosing gastrointestinal stromal tumors on fine-needle aspiration. Cancer Cytopathol 2011; 119: 202-8
Address for correspondence
Publication History
Article published online:
03 June 2021
© 2019. Indian Society of Medical and Paediatric Oncology. This is an open access article published by Thieme under the terms of the Creative Commons Attribution-NonDerivative-NonCommercial-License, permitting copying and reproduction so long as the original work is given appropriate credit. Contents may not be used for commercial purposes, or adapted, remixed, transformed or built upon. (https://creativecommons.org/licenses/by-nc-nd/4.0/).
Thieme Medical and Scientific Publishers Pvt. Ltd.
A-12, 2nd Floor, Sector 2, Noida-201301 UP, India
| Figure 1 Gross specimen of gastrointestinal stromal tumor
| Figure 2 Microscopic view of gastrointestinal stromal tumor
| Figure 3 CKIT staining
| Figure 4 Discovered on gastrointestinal stromal tumor 1 staining
- Miettinen M, Lasota J. Gastrointestinal stromal tumors (GISTs): Definition, occurrence, pathology, differential diagnosis and molecular genetics. Pol J Pathol 2003; 54: 3-24
- Rebey HS, Aiad HA. Immunohistochemical expression of DOG 1as a diagnostic marker for gastrointestinal stromal tumors in comparison to C-kit. J Am Sci 2014; 10: 198-205
- Gina AN, Hala NH, Mohammed FD, Deea F, Ahmed AS. Immunohistochemical study of DOG 1 protein expression in gastrointestinal stromal tumors. Acad J Cancer Res 2012; 5: 61-70
- Demetri GD, von Mehren M, Blanke CD, Van den Abbeele AD, Eisenberg B, Roberts PJ. et al. Efficacy and safety of imatinib mesylate in advanced gastrointestinal stromal tumors. N Engl J Med 2002; 347: 472-80
- Dematteo RP, Heinrich MC, El-Rifai WM, Demetri G. Clinical management of gastrointestinal stromal tumors: Before and after STI-571. Hum Pathol 2002; 33: 466-77
- Lasota J, Corless CL, Heinrich MC, Debiec-Rychter M, Sciot R, Wardelmann E. et al. Clinicopathologic profile of gastrointestinal stromal tumors (GISTs) with primary KIT exon 13 or exon 17 mutations: A multicenter study on 54 cases. Mod Pathol 2008; 21: 476-84
- Longley BJ, Reguera MJ, Ma Y. Classes of c-KIT activating mutations: Proposed mechanisms of action and implications for disease classification and therapy. Leuk Res 2001; 25: 571-6
- Corless CL, Schroeder A, Griffith D, Town A, McGreevey L, Harrell P. et al. PDGFRA mutations in gastrointestinal stromal tumors: Frequency, spectrum and in vitro sensitivity to imatinib. J Clin Oncol 2005; 23: 5357-64
- Lasota J, Stachura J, Miettinen M. GISTs with PDGFRA exon 14 mutations represent subset of clinically favorable gastric tumors with epithelioid morphology. Lab Invest 2006; 86: 94-100
- Sarlomo-Rikala M, Kovatich AJ, Barusevicius A, Miettinen M. CD117: A sensitive marker for gastrointestinal stromal tumors that is more specific than CD34. Mod Pathol 1998; 11: 728-34
- Simon S, Grabellus F, Ferrera L, Galietta L, Schwindenhammer B, Mühlenberg T. et al. DOG1 regulates growth and IGFBP5 in gastrointestinal stromal tumors. Cancer Res 2013; 73: 3661-70
- Ríos-Moreno MJ, Jaramillo S, Pereira Gallardo S, Vallejo A, Mora M, García-Escudero A. et al. Gastrointestinal stromal tumors (GISTs): CD117, DOG-1 and PKCθ expression. Is there any advantage in using several markers? Pathol Res Pract 2012; 208: 74-81
- Katiae V, Hattori T, Micev M, Nagorni A, Ivkoviae V, Gligorijeviae J. et al. Microscopic features and immunohistologic characterization of gastrointestinal stromal tumors. Arch Oncol 2004; 12: 49-50
- Foo WC, Liegl-Atzwanger B, Lazar AJ. Pathology of gastrointestinal stromal tumors. Clin Med Insights Pathol 2012; 5: 23-33
- Fletcher CD, Berman JJ, Corless C, Gorstein F, Lasota J, Longley BJ. et al. Diagnosis of gastrointestinal stromal tumors: A consensus approach. Hum Pathol 2002; 33: 459-65
- Espinosa I, Lee CH, Kim MK, Rouse BT, Subramanian S, Montgomery K. et al. A novel monoclonal antibody against DOG1 is a sensitive and specific marker for gastrointestinal stromal tumors. Am J Surg Pathol 2008; 32: 210-8
- Lakshmi VA, Chacko RT, Kurian S. Gastrointestinal stromal tumors: A 7-year experience from a tertiary care hospital. Indian J Pathol Microbiol 2010; 53: 628-33
- Vij M, Agrawal V, Kumar A, Pandey R. Cytomorphology of gastrointestinal stromal tumors and extra-gastrointestinal stromal tumors: A comprehensive morphologic study. J Cytol 2013; 30: 8-12
- Liegl B, Hornick JL, Corless CL, Fletcher CD. Monoclonal antibody DOG1.1 shows higher sensitivity than KIT in the diagnosis of gastrointestinal stromal tumors, including unusual subtypes. Am J Surg Pathol 2009; 33: 437-46
- Kim HC, Lee JM, Kim SH, Kim KW, Lee M, Kim YJ. et al. Primary gastrointestinal stromal tumors in the omentum and mesentery: CT findings and pathologic correlations. AJR Am J Roentgenol 2004; 182: 1463-7
- Gluszek S, Karcz W, Matykiewicz J, Kot M, Urbaniak A. Gastrointestinal stromal tumors. Gastroenterologia polska 2004; 11: 17-21
- Reith JD, Goldblum JR, Lyles RH, Weiss SW. Extragastrointestinal (soft tissue) stromal tumors: An analysis of 48 cases with emphasis on histologic predictors of outcome. Mod Pathol 2000; 13: 577-85
- Fülöp E, Marcu S, Borda A, Moldovan C, Fülöp EF, Loghin A. et al. Histopathological and immunohistochemical features of gastrointestinal stromal tumors. Rom J Morphol Embryol 2011; 52: 555-62
- Al Hussaini HF. GIST in Saudi Arabia: Multicentric histopathological genetic study of 75 surgically excised cases. Gulf J Oncolog 2012; 11: 31-7
- Sui XL, Wang H, Sun XW. Expression of DOG1, CD117 and PDGFRA in gastrointestinal stromal tumors and correlations with clinicopathology. Asian Pac J Cancer Prev 2012; 13: 1389-93
- Miettinen M, Virolainen M, Sarlomo-Rikala Maarit. Gastrointestinal stromal tumors – Value of CD34 antigen in their identification and separation from true leiomyomas and schwannomas. Am J Surg Pathol 1995; 19: 207-16
- Rebey HS, Abdel-Samie AH. Immunohistochemical expression of DOG1 as a diagnostic marker for gastrointestinal stromal tumors in comparison to c-KIT. J Am Sci 2014; 10: 198-205
- Blay JJ, Bonvalot S, Casali P. GIST consensus meeting panellists: Consensus meeting for management of gastrointestinal stromal tumors. Report of GIST consensus conference of 20-21 March 2004, under the hospices of ESMO. Ann Oncol 2005; 16: 566-78
- Loong HH. Gastro-intestinal stromal tumours: A review of current management options. Hong Kong Med J 2007; 13: 61-5
- Lillemoe KD, Efron DT. Gastointestinaltumors. In: Current Surgical Therapy. USA: Mosby Inc.; 2001: 112-7
- Boni L, Benevento A, Dionigi G, Rovera F, Dionigi R. Surgical resection for gastrointestinal stromal tumors (GIST): Experience on 25 patients. World J Surg Oncol 2005; 3: 78
- Geramizadeh B, Jowkar Z, Ranjbar Z. Frequency of KIT mutation in gastrointestinal stromal tumors according to histologic and immunohistochemical findings, the first report from Iran. Iran J Med Sci 2015; 40: 316-21
- Fatima N, Cohen C, Siddiqui MT. DOG1 utility in diagnosing gastrointestinal stromal tumors on fine-needle aspiration. Cancer Cytopathol 2011; 119: 202-8
PDF
Views
Share

