Skin Tumors in Pediatric Patients with Xeroderma Pigmentosum: A Case Series
CC BY 4.0 · Indian J Med Paediatr Oncol 2025; 46(01): 099-103
DOI: 10.1055/s-0043-1768984
Abstract
Xeroderma pigmentosum (XP) is a rare autosomal recessive genetic disease. This disease predisposes patients to early-onset skin cancers, like squamous cell carcinoma and basal cell carcinoma. This was a 5-year experience. Here, we report nine pediatric cases of XP in which two patients had basal cell carcinoma and six patients had squamous cell carcinoma. We have also reported one case in which both skin malignancies were present. The subjects included seven boys and two girls, while seven subjects were from consanguineous marriages, and the average age was 9.4 years. All the patients had ulcerative budding tumor lesions on the face (eye, nose, chin, cheek, and forehead) and scalp. Squamous cell carcinoma is a common cutaneous malignancy related to XP in our study. Prevention is based on the early diagnosis of XP, skin photo-protection, screening and early treatment of lesions, and genetic counseling.
Keywords
basal cell carcinoma - squamous cell carcinoma - xeroderma pigmentosum - genetic disease - skin cancersPublication History
Article published online:
06 February 2025
© 2025. The Author(s). This is an open access article published by Thieme under the terms of the Creative Commons Attribution License, permitting unrestricted use, distribution, and reproduction so long as the original work is properly cited. (https://creativecommons.org/licenses/by/4.0/)
Thieme Medical and Scientific Publishers Pvt. Ltd.
A-12, 2nd Floor, Sector 2, Noida-201301 UP, India
- Microsurgical Facial Reconstruction of a Xeroderma Pigmentosum Patient after Skin Tumor Resection: Case ReportTanetaka Akizuki, Journal of Reconstructive Microsurgery, 1990
- Microsurgical Facial Reconstruction of a Xeroderma Pigmentosum Patient after Skin Tumor Resection: Case ReportTanetaka Akizuki, Journal of Reconstructive Microsurgery, 1990
- Multiple cutaneous malignancies in a child with xeroderma pigmentosum: A case reportRita V Vora, Indian Journal of Medical and Paediatric Oncology, 2016
- Xeroderma pigmentosum and its dental implicationsHessa Al Wayli, European Journal of Dentistry, 2015
- Xeroderma pigmentosum and its dental implicationsHessa Al Wayli, European Journal of Dentistry, 2015
- Resolution of Refractory Superior Mesenteric Artery Syndrome with Laparoscopic Duodenojejunostomy: Pediatric Case Series with Spectrum of Clinical ImagingOchsner Journal, 2015
- IgA nephropathy in patients with serum anti-neutrophil cytoplasmic autoantibody (ANCA) positivity: case seriesCristiane Bitencourt Dias, Brazilian Journal of Nephrology, 2021
- Hypoparathyroidism and Fahr’s syndrome: case seriesAnna Catarina Gatzk de Arruda, Brazilian Journal of Nephrology
- Immune Checkpoint Inhibitors in Pediatric Solid Tumors: Status in 2018Tanvir F. Kabir, Ochsner Journal, 2018
- Posttransplant Pacemaker Placement: Case Series and ReviewMark A. Thompson, Ochsner Journal, 2010
Abstract
Xeroderma pigmentosum (XP) is a rare autosomal recessive genetic disease. This disease predisposes patients to early-onset skin cancers, like squamous cell carcinoma and basal cell carcinoma. This was a 5-year experience. Here, we report nine pediatric cases of XP in which two patients had basal cell carcinoma and six patients had squamous cell carcinoma. We have also reported one case in which both skin malignancies were present. The subjects included seven boys and two girls, while seven subjects were from consanguineous marriages, and the average age was 9.4 years. All the patients had ulcerative budding tumor lesions on the face (eye, nose, chin, cheek, and forehead) and scalp. Squamous cell carcinoma is a common cutaneous malignancy related to XP in our study. Prevention is based on the early diagnosis of XP, skin photo-protection, screening and early treatment of lesions, and genetic counseling.
Keywords
basal cell carcinoma - squamous cell carcinoma - xeroderma pigmentosum - genetic disease - skin cancersIntroduction
Xeroderma pigmentosum (XP) is a rare autosomal recessive genetic condition characterized by photosensitivity, ocular involvement, and neurological involvement.[1] The failure of DNA repair via the nucleotide excision repair pathway is the source of these symptoms, which are induced by cellular hypersensitivity to ultraviolet (UV) radiations.[2] Patients with XP have a 1,000-fold greater risk of cutaneous cancers such as basal cell carcinoma (BCC), squamous cell carcinoma, and malignant melanoma in sun-exposed areas.[3]
As previously stated, the prevalence of XP is quite high in Japan (1: 40 000),[4] although it is relatively low in the United States (1:250,000).[5] This genetic disorder has been documented across the border areas of Pakistan, Afghanistan, and Northern India.[6] According to a literature search, incidences of XP were documented in Larkana, Sibbi, Karachi, Lahore, and District Dir in Pakistan from 1993 to 2016.[7] [8] To discover any common loss of heterozygosity in affected people, single-nucleotide polymorphism genotyping was done with Sanger sequencing on seven consanguineous families with XP in the Baluchistan region.[9] More XP cases have lately been reported in Pakistan's Baluchistan Province in 2021.[10]
Here, we present our 5-year experience with XP patients residing in this tropical region. We are reporting the clinical data on XP patients from Sindh province, which has hot humid weather with abundant sunlight for 8 of 12 months during the year. This study aims to evaluate 09 XP patients for the development of skin tumors, with their distinct clinical and histopathological features ([Table 1]). The study was approved by the institutional ethical committee and conducted following the Declaration of Helsinki.
Methodology
Case Series
Case 1
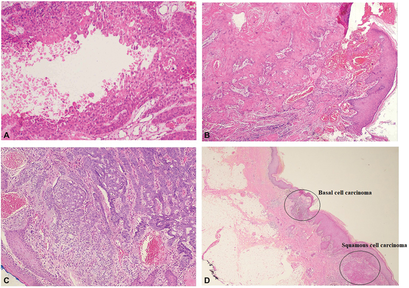
A 5-year-old boy was a known case of XP, freckles, and pigmentary skin changes that occurred gradually at the age of approximately 2 months. His parents noticed an eruption on his forehead; they went to a local hospital where a biopsy showed squamous cell carcinoma. The boy underwent a scalp lesion excisional biopsy, the ulcerated lesion measured 2.5 cm. The histopathological findings indicated squamous cell carcinoma, tumor cell exhibited infiltration with marked dissociation, and features were consistent with squamous cell carcinoma, acantholytic type ([Fig. 1A]).
| | Fig 1A) Acantholytic type squamous cell carcinoma. (B) Squamous cell carcinoma. (C) Basal cell carcinoma. (D) Squamous cell carcinoma and basal cell carcinoma.|
Case 2
A 6-year-old boy, the first offspring of consanguineous marriage, and a resident of Naushahro Ferozebad, had skin pigmentation at the age of 6 months. His three relatives also have the same skin condition. They visited the local hospital where the patient was diagnosed with XP. He had multiple skin nodules for 2 years, a biopsy of the skin nodule was done in 2016 showing squamous cell carcinoma, and the boy had one lesion operated on 9 months back. They came to our hospital in 2017 with an exuberant tumor at the lower eyelid conjunctiva; excisional biopsy was done that showed squamous cell carcinoma ([Fig. 1B]).
The patient was lost to follow-up, then again came in 2018 with three suspicious hypergranulating lesions on the scalp. The histopathological findings were consistent with moderately differentiated keratinizing squamous cell carcinoma. Wide-margin excision of the scalp was done; the lesion was completely excised. The immunohistochemical marker CK ⅚ was positive in neoplastic cells.
Case 3
A 14-year-old male child, the first offspring of a consanguineous marriage, and a resident of Karachi, was a known case of XP. He developed swelling in the right eye 1 year back that gradually increased in size and become ulcerated for 3 months. The right orbital mass biopsy was done that showed infiltrating neoplasm, and extensive surface ulceration was present with dense acute and chronic inflammation. The findings were consistent with moderately differentiated keratinizing squamous cell carcinoma. His surgery was done at another medical facility.
Case 4
An 11-year-old male child, a product of nonconsanguineous marriage and resident of Karachi, was diagnosed to have XP; he had multiple growths on his lip, eyelids, face, nasolabial, and shoulder at different times since 2015, and all of them were resected. He had a complaint of swelling in the eye for 2 months. Magnetic resonance imaging (MRI) orbit shows a subcutaneous soft tissue lesion in the right eyelid. A computed tomography (CT) scan showed a redemonstration of a large mass lesion (3.4 cm) in the right orbital cavity with significant involvement and distortion of the right globe with possible involvement of the lacrimal gland. Multiple small subcentimeter-sized bilateral levels I, II, and III cervical lymph nodes are noted as detailed was seen. A biopsy of the orbital mass was done and showed well-differentiated squamous cell carcinoma; disease was in poor prognosis and patient was referred to dermatologist and plastic surgeons.
Case 5
A 10-year-old female child, the first offspring of a consanguineous marriage, and a resident of Mirpur Mathelo, Sindh, presented with a history of dry scaly skin since the age of 2 months, and swelling inside the right eye for 1 year. His one brother and one sister have the same skin condition. The first biopsy of the right eye conjunctival was done in March 2020 at a local hospital and reported moderate dysplasia with foci suspicion of invasion. They diagnosed her with XP with the suspicion of squamous cell carcinoma. She came to us in November 2020 where a biopsy of her right eye conjunctival lesion was performed, and it revealed that conjunctival tissue was lined by stratified squamous epithelium, and infiltration of neoplasm was seen in the deeper stroma. Adjacent stroma had dense acute and chronic inflammation with dilated and congested blood vessels. Immunohistochemical stain Ki-67 highlighted the increased proliferation in neoplastic cells. She just came to us for a workup.
Case 6
A 9-year-old male patient, resident of Larkana and the product of a consanguineous marriage, was a known case of XP. Physical examination of the face, eyes, lips, and neck demonstrated hypopigmented and hyperpigmented macules, dry skin, a blister on the face, and extreme sensitivity to sunlight. His one brother died of a similar skin condition. According to their parents, he developed swelling on the forehead 1 month back; they went to the local hospital where he was given multiple antibiotics but the swelling did not resolve. They came to our hospital, and multiple lesions were observed from the right side, left side of the forehead, and left eye lateral to the lateral canthus. The biopsy from the left forehead pigment lesion showed BCC ([Fig. 1C]). The biopsy from the lateral to left eyebrow and lateral canthus showed a small fragment of skin tissue with extensive ulceration, marked cautery artifacts, and focal dysplastic squamous epithelium.
Case 7
A 13-year-old boy, a resident of Larkana and the product of a consanguineous marriage, was a known case of XP. He came with the complaint of pigmented lesions all over the body at 4 months of age and ulceration on the nose for the last 1 year. His one sibling died at the age of 9 from skin cancer. The patient was under treatment at a local hospital since birth for different multiple ulcerating lesions on his face that were then grafted with the skin of his arm and leg as well. He had been operated on for a mass protruding from the nostril which was diagnosed as BCC.
The patient was referred to us for a similar lesion of the face because of nonaffordability. On examination, the patient was vitally stable and had eroding lesions at the tip of the nose. Wide margin excision was done for 1.5 cm lesion at the tip of the nose and full-thickness skin involvement. Dermal upper lip of 1.2 cm was involved. Nose and lip lesions were excised; both lesions showed BCC. The patient was on follow-up and stable.
Case 8
A 10-year-old male child, resident of New Dero (Larkana) and the product of a consanguineous marriage, referred to our hospital with a known case of XP. He came with the complaint of fleshy outgrowth in the left eye for 1 month. MRI neck plain and contrast were done that showed thickening of the anterior aspect of the left globe noted with abnormal signals 2.7 cm on axial sections. Incisional biopsy of left conjunctival mass (13.1.2022) revealed poorly differentiated squamous cell carcinoma. Immunohistochemical markers were performed where CK5/6, p63, and p40 were positive in neoplastic cells.
Again biopsy was done in march 2022 of left orbital exenteration; the tumor was seen in the conjunctiva that extends to the sclera, and the finding was consistent with the poorly differentiated squamous cell carcinoma. Immunohistochemical markers were performed showing that CK5/6 and p40 were positive in neoplastic cells, while HMB-45 was negative in neoplastic cells. The patient was in regular follow-up with the dermatological team.
Case 9
A 7-year-old female, resident of Jamshoro, the product of consanguineous marriage, and a known case of XP, presented with a complaint of red raised eroded nasal lesions for the past 5 years which was progressively increasing. The radiological test was performed: A brain CT showed mucosal thickening at the left maxilla. A CT of the neck showed ill-defined subcutaneous soft tissue thickening at the left cheek and subcentimeter cervical lymph nodes were also seen. Wide-margin excision was done on the right cheek lesion, chin skin lesion, left eyebrow lesion, and left cheek lesion. Multifocal BCC and squamous cell carcinoma were diagnosed simultaneously on the right cheek lesion and chin skin lesion. Wide margin excision on left eyebrow lesion showed nodular BCC ([Fig. 1D]).
Discussion
XP is an uncommon hereditary condition characterized by high photosensitivity, which produces skin pigmentation with an increased risk of developing skin cancer.[11] Due to consanguineous marriages, XP is significantly more frequent in the Middle East.[12] Consanguinity was discovered in seven of our cases, which is consistent with examples described in West Africa.[1] The cutaneous malignancies appeared at an average age of 9 years in our study, which was in concordance with Kraemer et al, who reported an average age of 8 years.[12]
Here, we reported nine cases of xeroderma pigmentosa, in which three cases showed the severe photophobia as two cases showed keratinizing squamous cell carcinoma and one case repesented with extreme photosensitivity, with no significant neurological abnormalities. The diagnosis was done on the clinical and histopathological findings, while in some cases immunophenotyping was also done. The difficulty of diagnosis occurred in some cases. For example, smaller biopsy with limited excision was done in cautery artifact lesions close to the eye area.
In XP, the development of malignant skin tumors is a leading cause of morbidity and mortality.[13] A survey of the literature found that there is no uniform distribution rate of malignant tumors among XP patients.[14] [15] [16] Even though BCC is more prevalent in certain prior studies,[17] [18] we have only reported two cases of BCC. A study by Baykal et al reported six cases of BCC.[11] While the most common malignant skin tumor was reported to be squamous cell carcinoma in a review article that included 830 published XP cases from 1874 to 1982[12] and in other several studies, they also reported squamous cell carcinoma was the commonest[19] [20] which was in agreement with our study because we reported six cases of squamous cell carcinoma. We also reported one unusual case having both skin malignancies (squamous cell carcinoma and BCC). Melanoma was reported in many studies,[11] [13] but we did not find melanoma in our patients. We have reported all the lesions and masses on the face (eye, nose, chin, cheek, and forehead) and scalp in all patients. Five patients had lesion on eyes: three (60%) had lesion on orbital region, one (20%) had conjunctival growth, and one (20%) had a lesion on an eyebrow. The conjunctival abnormality was also reported by Mulimani et al.[21]
This study had some limitations, one of which is the small number of patients. From our study, we inferred that early detection, prevention, and regular follow-up with a dermatologist and ophthalmologist are essential for treating the condition and minimizing its symptoms. The use of strict sun protection such as special spectacles and sunscreen lotions and avoidance of the sun are all key steps in preventing skin cancer and enhancing the quality of life and life expectancy of XP patients. The prognosis for XP is generally favorable in the absence of neurological abnormalities and circumstances when it is detected early.
However, protection against sunlight and UV radiation is crucial. If it is possible, a genetic counseling and prenatal diagnosis are suggested. The authors recommend that more research be done on the XP epidermal stem cell and DNA repair.
References
- Kaloga M, Dioussé P, Diatta BA. et al. Squamous cell carcinoma in african children with xeroderma pigmentosum: three case reports. Case Rep Dermatol 2016; 8 (03) 311-318
- Tamura D, Ono R, DiGiovanna JJ, Kraemer KH. Management of Xeroderma Pigmentosum. DNA Repair Disorders. Springer; 2019: 203-221
- Black JO. Xeroderma pigmentosum. Head Neck Pathol 2016; 10 (02) 139-144
- Neel JV, Kodani M, Brewer R, Anderson RC. The incidence of consanguineous matings in Japan, with remarks on the estimation of comparative gene frequencies and the expected rate of appearance of induced recessive mutations. Am J Hum Genet 1949; 1 (02) 156-178
- Robbins JH, Kraemer KH, Lutzner MA, Festoff BW, Coon HG. Xeroderma pigmentosum. An inherited diseases with sun sensitivity, multiple cutaneous neoplasms, and abnormal DNA repair. Ann Intern Med 1974; 80 (02) 221-248
- Goyal JL, Rao VA, Srinivasan R, Agrawal K. Oculocutaneous manifestations in xeroderma pigmentosa. Br J Ophthalmol 1994; 78 (04) 295-297
- Butt FM, Moshi JR, Owibingire S, Chindia ML. Xeroderma pigmentosum: a review and case series. J Craniomaxillofac Surg 2010; 38 (07) 534-537
- Idrees N, Chaudhry TA. Arsalan. Four cases of xeroderma pigmentosum in a Pakistani family. Pak J Ophthalmol 2014;30(04):
- Ijaz A, Basit S, Gul A. et al. XPC gene mutations in families with xeroderma pigmentosum from Pakistan; prevalent founder effect. Congenit Anom (Kyoto) 2019; 59 (01) 18-21
- Khan MA, Akbar N, Saeed A, Amir A, Ikram A, Saleem Z. Xeroderma pigmentosum associated with squamous and basal cell carcinoma in Pakistan: a case series. Adv Skin Wound Care 2021; 34 (11) 608-612
- Baykal C, Atcı T, Yılmaz Z, Büyükbabani N. Skin tumors in xeroderma pigmentosum: evaluation of a large series and a literature review. J Cutan Pathol 2021; 48 (07) 884-895
- Kraemer KH, Lee MM, Scotto J. Xeroderma pigmentosum. Cutaneous, ocular, and neurologic abnormalities in 830 published cases. Arch Dermatol 1987; 123 (02) 241-250
- Alwatban L, Binamer Y. Xeroderma pigmentosum at a tertiary care center in Saudi Arabia. Ann Saudi Med 2017; 37 (03) 240-244
- Espi P, Parajuli S, Benfodda M. et al. Clinical and genetic characteristics of xeroderma pigmentosum in Nepal. J Eur Acad Dermatol Venereol 2018; 32 (05) 832-839
- Zhou EY, Wang H, Lin Z. et al. Clinical and molecular epidemiological study of xeroderma pigmentosum in China: a case series of 19 patients. J Dermatol 2017; 44 (01) 71-75
- Fassihi H, Sethi M, Fawcett H. et al. Deep phenotyping of 89 xeroderma pigmentosum patients reveals unexpected heterogeneity dependent on the precise molecular defect. Proc Natl Acad Sci U S A 2016; 113 (09) E1236-E1245
- Thielmann HW, Popanda O, Edler L, Jung EG. Clinical symptoms and DNA repair characteristics of xeroderma pigmentosum patients from Germany. Cancer Res 1991; 51 (13) 3456-3470
- Nakano E, Masaki T, Kanda F. et al. The present status of xeroderma pigmentosum in Japan and a tentative severity classification scale. Exp Dermatol 2016; 25 (suppl 3): 28-33
- Bhutto AM, Shaikh A, Nonaka S. Incidence of xeroderma pigmentosum in Larkana, Pakistan: a 7-year study. Br J Dermatol 2005; 152 (03) 545-551
- Akdeniz N, Bilgili SG, Çalka Ö, Karadağ ASJTJoMS. Xeroderma pigmentosum in eastern Turkey: a review of 15 cases. Turkish J Med Sci 2012; 42 (04) 719-723
-
Mulimani SM,
Talikoti DG.
A child with xeroderma pigmentosum for excision of basal cell carcinoma. Saudi J Anaesth 2013; 7 (04) 467
Address for correspondence
Kanwal Aftab, MBBS, FCPS, FRCPathSherwood Forest Hospital Foundation Trust, King's Mill Hospital, NJ17 4JLUnited KingdomEmail: aftabkanwal162@gmail.comPublication History
Article published online:
06 February 2025© 2025. The Author(s). This is an open access article published by Thieme under the terms of the Creative Commons Attribution License, permitting unrestricted use, distribution, and reproduction so long as the original work is properly cited. (https://creativecommons.org/licenses/by/4.0/)
Thieme Medical and Scientific Publishers Pvt. Ltd.
A-12, 2nd Floor, Sector 2, Noida-201301 UP, IndiaWe recommend- Microsurgical Facial Reconstruction of a Xeroderma Pigmentosum Patient after Skin Tumor Resection: Case ReportTanetaka Akizuki, Journal of Reconstructive Microsurgery, 1990
- Microsurgical Facial Reconstruction of a Xeroderma Pigmentosum Patient after Skin Tumor Resection: Case ReportTanetaka Akizuki, Journal of Reconstructive Microsurgery, 1990
- Multiple cutaneous malignancies in a child with xeroderma pigmentosum: A case reportRita V Vora, Indian Journal of Medical and Paediatric Oncology, 2016
- Xeroderma pigmentosum and its dental implicationsHessa Al Wayli, European Journal of Dentistry, 2015
- Xeroderma pigmentosum and its dental implicationsHessa Al Wayli, European Journal of Dentistry, 2015
- Dermoscopy of skin lesions in two patients with xeroderma pigmentosumJ. Malvehy, British Journal of Dermatology, 2005
- Mutational signatures and increased retrotransposon insertions in xeroderma pigmentosum variant skin tumorsCamila Corradi, Carcinogenesis, 2023
- Xeroderma PigmentosumGautam Srivastava, Oxford Medical Case Reports, 2021
- XERODERMA PIGMENTOSUMBritish Journal of Dermatology, 1973
- (6) Xeroderma pigmentosumH. BAKER, British Journal of Dermatology, 1991
- Microsurgical Facial Reconstruction of a Xeroderma Pigmentosum Patient after Skin Tumor Resection: Case Report
| | Fig 1A) Acantholytic type squamous cell carcinoma. (B) Squamous cell carcinoma. (C) Basal cell carcinoma. (D) Squamous cell carcinoma and basal cell carcinoma.|
References
- Kaloga M, Dioussé P, Diatta BA. et al. Squamous cell carcinoma in african children with xeroderma pigmentosum: three case reports. Case Rep Dermatol 2016; 8 (03) 311-318
- Tamura D, Ono R, DiGiovanna JJ, Kraemer KH. Management of Xeroderma Pigmentosum. DNA Repair Disorders. Springer; 2019: 203-221
- Black JO. Xeroderma pigmentosum. Head Neck Pathol 2016; 10 (02) 139-144
- Neel JV, Kodani M, Brewer R, Anderson RC. The incidence of consanguineous matings in Japan, with remarks on the estimation of comparative gene frequencies and the expected rate of appearance of induced recessive mutations. Am J Hum Genet 1949; 1 (02) 156-178
- Robbins JH, Kraemer KH, Lutzner MA, Festoff BW, Coon HG. Xeroderma pigmentosum. An inherited diseases with sun sensitivity, multiple cutaneous neoplasms, and abnormal DNA repair. Ann Intern Med 1974; 80 (02) 221-248
- Goyal JL, Rao VA, Srinivasan R, Agrawal K. Oculocutaneous manifestations in xeroderma pigmentosa. Br J Ophthalmol 1994; 78 (04) 295-297
- Butt FM, Moshi JR, Owibingire S, Chindia ML. Xeroderma pigmentosum: a review and case series. J Craniomaxillofac Surg 2010; 38 (07) 534-537
- Idrees N, Chaudhry TA. Arsalan. Four cases of xeroderma pigmentosum in a Pakistani family. Pak J Ophthalmol 2014;30(04):
- Ijaz A, Basit S, Gul A. et al. XPC gene mutations in families with xeroderma pigmentosum from Pakistan; prevalent founder effect. Congenit Anom (Kyoto) 2019; 59 (01) 18-21
- Khan MA, Akbar N, Saeed A, Amir A, Ikram A, Saleem Z. Xeroderma pigmentosum associated with squamous and basal cell carcinoma in Pakistan: a case series. Adv Skin Wound Care 2021; 34 (11) 608-612
- Baykal C, Atcı T, Yılmaz Z, Büyükbabani N. Skin tumors in xeroderma pigmentosum: evaluation of a large series and a literature review. J Cutan Pathol 2021; 48 (07) 884-895
- Kraemer KH, Lee MM, Scotto J. Xeroderma pigmentosum. Cutaneous, ocular, and neurologic abnormalities in 830 published cases. Arch Dermatol 1987; 123 (02) 241-250
- Alwatban L, Binamer Y. Xeroderma pigmentosum at a tertiary care center in Saudi Arabia. Ann Saudi Med 2017; 37 (03) 240-244
- Espi P, Parajuli S, Benfodda M. et al. Clinical and genetic characteristics of xeroderma pigmentosum in Nepal. J Eur Acad Dermatol Venereol 2018; 32 (05) 832-839
- Zhou EY, Wang H, Lin Z. et al. Clinical and molecular epidemiological study of xeroderma pigmentosum in China: a case series of 19 patients. J Dermatol 2017; 44 (01) 71-75
- Fassihi H, Sethi M, Fawcett H. et al. Deep phenotyping of 89 xeroderma pigmentosum patients reveals unexpected heterogeneity dependent on the precise molecular defect. Proc Natl Acad Sci U S A 2016; 113 (09) E1236-E1245
- Thielmann HW, Popanda O, Edler L, Jung EG. Clinical symptoms and DNA repair characteristics of xeroderma pigmentosum patients from Germany. Cancer Res 1991; 51 (13) 3456-3470
- Nakano E, Masaki T, Kanda F. et al. The present status of xeroderma pigmentosum in Japan and a tentative severity classification scale. Exp Dermatol 2016; 25 (suppl 3): 28-33
- Bhutto AM, Shaikh A, Nonaka S. Incidence of xeroderma pigmentosum in Larkana, Pakistan: a 7-year study. Br J Dermatol 2005; 152 (03) 545-551
- Akdeniz N, Bilgili SG, Çalka Ö, Karadağ ASJTJoMS. Xeroderma pigmentosum in eastern Turkey: a review of 15 cases. Turkish J Med Sci 2012; 42 (04) 719-723
- Mulimani SM, Talikoti DG. A child with xeroderma pigmentosum for excision of basal cell carcinoma. Saudi J Anaesth 2013; 7 (04) 467
PDF
Views
Share

