Solid Pseudopapillary Tumor of Pancreas: A Case Report and Review of Literature
CC BY-NC-ND 4.0 · Indian J Med Paediatr Oncol 2017; 38(02): 207-209
DOI: DOI: 10.4103/ijmpo.ijmpo_59_16
Abstract
Solid pseudopapillary neoplasm of the pancreas is one of the rarest forms of pancreatic neoplasm. It was also known as Franz's tumor or Hamoudi tumor until WHO labeled it as solid pseudopapillary tumor (SPT) in 1996. It typically affects young non-Caucasian females in their second or third decade of life. Treatment involves complete excision of the tumor which results in complete cure in majority of the cases. We present here a report of 11-year-old girl with SPT and also do a review of literature for this rare tumor.
Publication History
Article published online:
06 July 2021
© 2017. Indian Society of Medical and Paediatric Oncology. This is an open access article published by Thieme under the terms of the Creative Commons Attribution-NonDerivative-NonCommercial-License, permitting copying and reproduction so long as the original work is given appropriate credit. Contents may not be used for commercial purposes, or adapted, remixed, transformed or built upon. (https://creativecommons.org/licenses/by-nc-nd/4.0/.)
Thieme Medical and Scientific Publishers Pvt. Ltd.
A-12, 2nd Floor, Sector 2, Noida-201301 UP, India
Abstract
Solid pseudopapillary neoplasm of the pancreas is one of the rarest forms of pancreatic neoplasm. It was also known as Franz's tumor or Hamoudi tumor until WHO labeled it as solid pseudopapillary tumor (SPT) in 1996. It typically affects young non-Caucasian females in their second or third decade of life. Treatment involves complete excision of the tumor which results in complete cure in majority of the cases. We present here a report of 11-year-old girl with SPT and also do a review of literature for this rare tumor.
Introduction
Solid pseudopapillary neoplasm of the pancreas is one of the rarest forms of pancreatic neoplasm. It was also known as Franz's tumor or Hammoudi tumor until WHO labeled it as solid pseudopapillary tumor (SPT) in 1996. It typically affects young non-Caucasian females in their second or third decade of life. Treatment involves complete excision of the tumor which results in complete cure in the majority of the cases. Here, we present a report of 11-year-old girl with SPT and also do a review of literature for this rare tumor.
Case Report
An 11-year-old, otherwise healthy girl presented with acute onset abdominal pain and associated vomiting for 1 day. On further direct questioning, the patient gave history of recurrent episodes of abdominal pain over the past 6 months. On examination, the general examination was unremarkable. The abdomen was soft. There was mild tenderness noted on deep palpation in the left hypochondrium and the left lumbar region. Hematological investigations were unremarkable. Both serum amylase and serum lipase were normal.
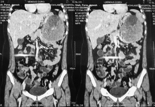
An ultrasound of the abdomen revealed a large mass in the lesser sac. A computed tomography scan of the abdomen showed a large heterogeneous mass, partly solid, and partly cystic in nature occupying the entire lesser sac abutting the pancreas and the spleen [Figure 1]. The left kidney and the stomach were in proximity but not affected. The mass showed a well-defined margin, but the organ of origin could not be conclusively determined.
| Figure 1:Computed tomography scan of the abdomen showing a large heterogeneous mass, partly solid, and partly cystic in nature occupying the entire lesser sac abutting the pancreas and the spleen
In view of the eminent resectability of the tumor, decision was taken to excise the mass.
On exploratory laparotomy, a large mass was found in the lesser sac densely adherent to the pancreas and the spleen with splenic artery thrombosis. Excision of the mass [Figure 2] along with distal pancreatectomy and splenectomy was done. The postoperative course was uneventful, and the patient is doing well on follow-up.
| Figure 2:The excised specimen
Discussion
Solid pseudopapillary neoplasm of the pancreas is a rare tumor characterized by its occurrence in young women and its limited malignant potential.[1,2]
Our patient presented at 11 years of age which is significantly lower age of presentation as reported by other series from around the world.[3,4,5,6]
Although some authors had reported solid pseudopapillary neoplasm (SPN) as early as 1927, its recognition as a distinctive entity came in 1959 by Frantz.[7] Since then, more than 750 cases have been reported in the English literature,[8,9] predominantly within the last 20 years,[8,10] reflecting the increased awareness of this uncommon neoplasm. The reported frequency is variable and ranges from as low as 0.17% to as high as 6% of exocrine pancreatic tumors.[1,4,7] Interestingly, 90% of patients are young women with a mean age of 22 years in one report[4] and 28 years in another.[1] The age of patients ranges widely, from 2 to 85 years.[4] In a study of 17 pancreatic tumors in patients younger than 21 years – and representing the Memorial Sloan-Kettering Cancer Center (New York, New York) experience spanning more than 30 years – SPN represented slightly less than half of the cases and predominated in the second decade of life, whereas pancreatoblastoma predominated in the first decade.[8]
The predominant female preponderance has been hypothesized to be due to the close proximity of the primordial pancreatic cells to the ovarian ridge in the embryonic phase.[11]
Common differential diagnosis of SPT includes microcystic adenoma, nonfunctioning islet cell tumor, mucinous cystic neoplasm, pancreatoblastoma, and calcified hemorrhagicpseudocyst.[12,13]
The role of tumor markers in diagnosis and prognosis of SPN has been explored by many and common tumor markers observed are adenosyl phosphoryl transferase/beta-catenin, cyclin D1 and D3, vimentin, antitrypsin, neuron-specific enolase (NSE), and progesterone.[7,11,14,15,16,17]
Of these the most consistent markers associated with SPT are vimentin, alpha-antitrypsin, NSE, and progesterone.[11]
Universally, surgical excision has been accepted as the only definitive treatment for SPT.[6,9,12]
The role of adjuvant therapy in the treatment of SPT is unclear, and both chemotherapeutic and radiotherapeutic options have been explored. However, the high rate of resectability of the tumor coupled with limited malignant potential precludes the need for adjuvant therapy.[10,18,19]
Conclusion
SPT of the pancreas is a rare tumor found in young females. Although malignant, the malignant potential is low and aggressive surgical resection ensures a cure in a majority of patients.
Financial support and sponsorship
Nil.
Conflicts of interest
There are no conflicts of interest.
References
- Klimstra DS, Wenig BM, Heffess CS. Solid-pseudopapillary tumor of the pancreas: A typically cystic carcinoma of low malignant potential. Semin Diagn Pathol 2000;17:66-80.
- Yu PF, Hu ZH, Wang XB, Guo JM, Cheng XD, Zhang YL, et al. Solid pseudopapillary tumor of the pancreas: A review of 553 cases in Chinese literature. World J Gastroenterol 2010;16:1209-14.
- Lam KY, Lo CY, Fan ST. Pancreatic solid-cystic-papillary tumor: Clinicopathologic features in eight patients from Hong Kong and review of the literature. World J Surg 1999;23:1045-50.
- Nishihara K, Nagoshi M, Tsuneyoshi M, Yamaguchi K, Hayashi I. Papillary cystic tumors of the pancreas. Assessment of their malignant potential. Cancer 1993;71:82-92.
- Yagci A, Yakan S, Coskun A, Erkan N, Yildirim M, Yalcin E, et al. Diagnosis and treatment of solid pseudopapillary tumor of the pancreas: Experience of one single institution from Turkey. World J Surg Oncol 2013;11:308.
- Speer AL, Barthel ER, Patel MM, Grikscheit TC. Solid pseudopapillary tumor of the pancreas: A single-institution 20-year series of pediatric patients. J Pediatr Surg 2012;47:1217-22.
- Frantz VK. Atlas of Tumor Pathology, Section 7, Fascicles 27 and 28. Washington, DC, USA: Armed Forces Institute of Pathology; 1959. Papillary tumors of the pancreas: Benign or malignant? Tumors of the pancreas; p. 32-3.
- Hruban RH, Pitman MB, Klimstra DS. Solid-pseudopapillary neoplasms. In: Silverberg SG, Sobin LH, editors. Tumors of the Pancreas, AFIP Atlas of Tumor Pathology. 4th Series, Fascicle 6. Washington, DC: ARP Press; 2007. p. 231-50.
- Papavramidis T, Papavramidis S. Solid pseudopapillary tumors of the pancreas: Review of 718 patients reported in English literature. J Am Coll Surg 2005;200:965-72.
- Matsunou H, Konishi F. Papillary-cystic neoplasm of the pancreas. A clinicopathologic study concerning the tumor aging and malignancy of nine cases. Cancer 1990;65:283-91.
- Kosmahl M, Seada LS, Jänig U, Harms D, Klöppel G. Solid-pseudopapillary tumor of the pancreas: Its origin revisited. Virchows Arch 2000;436:473-80.
- Reddy S, Cameron JL, Scudiere J, Hruban RH, Fishman EK, Ahuja N, et al. Surgical management of solid-pseudopapillary neoplasms of the pancreas (Franz or Hamoudi tumors): A large single-institutional series. J Am Coll Surg 2009;208:950-7.
- Dong DJ, Zhang SZ. Solid-pseudopapillary tumor of the pancreas: CT and MRI features of 3 cases. Hepatobiliary Pancreat Dis Int 2006;5:300-4.
- Zhang H, Liang TB, Wang WL, Shen Y, Ren GP, Zheng SS. Diagnosis and treatment of solid-pseudopapillary tumor of the pancreas. Hepatobiliary Pancreat Dis Int 2006;5:454-8.
- Miao J, Kusafuka T, Kuroda S, Yoneda A, Zhou Z, Okada A. Mutation of beta-catenin and its protein accumulation in solid and cystic tumor of the pancreas associated with metastasis. Int J Mol Med 2003;11:461-4.
- Abraham SC, Klimstra DS, Wilentz RE, Yeo CJ, Conlon K, Brennan M, et al. Solid-pseudopapillary tumors of the pancreas are genetically distinct from pancreatic ductal adenocarcinomas and almost always harbor beta-catenin mutations. Am J Pathol 2002;160:1361-9.
- Tanaka Y, Kato K, Notohara K, Hojo H, Ijiri R, Miyake T, et al. Frequent beta-catenin mutation and cytoplasmic/nuclear accumulation in pancreatic solid-pseudopapillary neoplasm. Cancer Res 2001;61:8401-4.
- Maffuz A, Bustamante Fde T, Silva JA, Torres-Vargas S. Preoperative gemcitabine for unresectable, solid pseudopapillary tumour of the pancreas. Lancet Oncol 2005;6:185-6.
- Fried P, Cooper J, Balthazar E, Fazzini E, Newall J. A role for radiotherapy in the treatment of solid and papillary neoplasms of the pancreas. Cancer 1985;56:2783-5.
| Figure 1:Computed tomography scan of the abdomen showing a large heterogeneous mass, partly solid, and partly cystic in nature occupying the entire lesser sac abutting the pancreas and the spleen
| Figure 2:The excised specimen
References
- Klimstra DS, Wenig BM, Heffess CS. Solid-pseudopapillary tumor of the pancreas: A typically cystic carcinoma of low malignant potential. Semin Diagn Pathol 2000;17:66-80.
- Yu PF, Hu ZH, Wang XB, Guo JM, Cheng XD, Zhang YL, et al. Solid pseudopapillary tumor of the pancreas: A review of 553 cases in Chinese literature. World J Gastroenterol 2010;16:1209-14.
- Lam KY, Lo CY, Fan ST. Pancreatic solid-cystic-papillary tumor: Clinicopathologic features in eight patients from Hong Kong and review of the literature. World J Surg 1999;23:1045-50.
- Nishihara K, Nagoshi M, Tsuneyoshi M, Yamaguchi K, Hayashi I. Papillary cystic tumors of the pancreas. Assessment of their malignant potential. Cancer 1993;71:82-92.
- Yagci A, Yakan S, Coskun A, Erkan N, Yildirim M, Yalcin E, et al. Diagnosis and treatment of solid pseudopapillary tumor of the pancreas: Experience of one single institution from Turkey. World J Surg Oncol 2013;11:308.
- Speer AL, Barthel ER, Patel MM, Grikscheit TC. Solid pseudopapillary tumor of the pancreas: A single-institution 20-year series of pediatric patients. J Pediatr Surg 2012;47:1217-22.
- Frantz VK. Atlas of Tumor Pathology, Section 7, Fascicles 27 and 28. Washington, DC, USA: Armed Forces Institute of Pathology; 1959. Papillary tumors of the pancreas: Benign or malignant? Tumors of the pancreas; p. 32-3.
- Hruban RH, Pitman MB, Klimstra DS. Solid-pseudopapillary neoplasms. In: Silverberg SG, Sobin LH, editors. Tumors of the Pancreas, AFIP Atlas of Tumor Pathology. 4th Series, Fascicle 6. Washington, DC: ARP Press; 2007. p. 231-50.
- Papavramidis T, Papavramidis S. Solid pseudopapillary tumors of the pancreas: Review of 718 patients reported in English literature. J Am Coll Surg 2005;200:965-72.
- Matsunou H, Konishi F. Papillary-cystic neoplasm of the pancreas. A clinicopathologic study concerning the tumor aging and malignancy of nine cases. Cancer 1990;65:283-91.
- Kosmahl M, Seada LS, Jänig U, Harms D, Klöppel G. Solid-pseudopapillary tumor of the pancreas: Its origin revisited. Virchows Arch 2000;436:473-80.
- Reddy S, Cameron JL, Scudiere J, Hruban RH, Fishman EK, Ahuja N, et al. Surgical management of solid-pseudopapillary neoplasms of the pancreas (Franz or Hamoudi tumors): A large single-institutional series. J Am Coll Surg 2009;208:950-7.
- Dong DJ, Zhang SZ. Solid-pseudopapillary tumor of the pancreas: CT and MRI features of 3 cases. Hepatobiliary Pancreat Dis Int 2006;5:300-4.
- Zhang H, Liang TB, Wang WL, Shen Y, Ren GP, Zheng SS. Diagnosis and treatment of solid-pseudopapillary tumor of the pancreas. Hepatobiliary Pancreat Dis Int 2006;5:454-8.
- Miao J, Kusafuka T, Kuroda S, Yoneda A, Zhou Z, Okada A. Mutation of beta-catenin and its protein accumulation in solid and cystic tumor of the pancreas associated with metastasis. Int J Mol Med 2003;11:461-4.
- Abraham SC, Klimstra DS, Wilentz RE, Yeo CJ, Conlon K, Brennan M, et al. Solid-pseudopapillary tumors of the pancreas are genetically distinct from pancreatic ductal adenocarcinomas and almost always harbor beta-catenin mutations. Am J Pathol 2002;160:1361-9.
- Tanaka Y, Kato K, Notohara K, Hojo H, Ijiri R, Miyake T, et al. Frequent beta-catenin mutation and cytoplasmic/nuclear accumulation in pancreatic solid-pseudopapillary neoplasm. Cancer Res 2001;61:8401-4.
- Maffuz A, Bustamante Fde T, Silva JA, Torres-Vargas S. Preoperative gemcitabine for unresectable, solid pseudopapillary tumour of the pancreas. Lancet Oncol 2005;6:185-6.
- Fried P, Cooper J, Balthazar E, Fazzini E, Newall J. A role for radiotherapy in the treatment of solid and papillary neoplasms of the pancreas. Cancer 1985;56:2783-5.
PDF
Views
Share

