Solitary Duodenal Metastasis from Renal Cell Carcinoma with Metachronous Pancreatic Neuroendocrine Tumor: Review of Literature with a Case Discussion
CC BY-NC-ND 4.0 · Indian J Med Paediatr Oncol 2019; 40(S 01): S185-S190
DOI: DOI: 10.4103/ijmpo.ijmpo_214_17
Abstract
Renal cell cancinoma (RCC) is a unique malignancy with features of late recurrences, metastasis to any organ, and frequent association with second malignancy. It most commonly metastasizes to the lungs, bones, liver, renal fossa, and brain although metastases can occur anywhere. RCC metastatic to the duodenum is especially rare, with only few cases reported in the literature. Herein, we review literature of all the reported cases of solitary duodenal metastasis from RCC and cases of neuroendocrine tumor (NET) as synchronous/metachronous malignancy with RCC. Along with this, we have described a unique case of an 84-year-old man who had recurrence of RCC as solitary duodenal metastasis after 37 years of radical nephrectomy and metachronous pancreatic NET.
Keywords
Late recurrence - pancreatic neuroendocrine tumor - renal cell carcinoma - second malignancy - solitary duodenal metastasisPublication History
Article published online:
24 May 2021
© 2019. Indian Society of Medical and Paediatric Oncology. This is an open access article published by Thieme under the terms of the Creative Commons Attribution-NonDerivative-NonCommercial-License, permitting copying and reproduction so long as the original work is given appropriate credit. Contents may not be used for commercial purposes, or adapted, remixed, transformed or built upon. (https://creativecommons.org/licenses/by-nc-nd/4.0/).
Thieme Medical and Scientific Publishers Pvt. Ltd.
A-12, 2nd Floor, Sector 2, Noida-201301 UP, India
Abstract
Renal cell cancinoma (RCC) is a unique malignancy with features of late recurrences, metastasis to any organ, and frequent association with second malignancy. It most commonly metastasizes to the lungs, bones, liver, renal fossa, and brain although metastases can occur anywhere. RCC metastatic to the duodenum is especially rare, with only few cases reported in the literature. Herein, we review literature of all the reported cases of solitary duodenal metastasis from RCC and cases of neuroendocrine tumor (NET) as synchronous/metachronous malignancy with RCC. Along with this, we have described a unique case of an 84-year-old man who had recurrence of RCC as solitary duodenal metastasis after 37 years of radical nephrectomy and metachronous pancreatic NET.
Keywords
Late recurrence - pancreatic neuroendocrine tumor - renal cell carcinoma - second malignancy - solitary duodenal metastasisIntroduction
Renal cell carcinoma (RCC) is unique to have many unusual features such as metastasis to almost every organ in the body, late recurrences, and frequent association with second malignancy. The most common sites of metastasis are the lung, lymph nodes, liver, bone, adrenal glands, kidney, brain, heart, spleen, and skin. Solitary duodenal metastasis from RCC is one of the unusual sites of metastasis. Late recurrences can be as long as 32.7 years.[1] Second malignancies associated with RCC have been reported with an incidence that varies from 5% to 27%.[2] [3] Here, we have reviewed all the reported cases of RCC with solitary duodenal metastasis and cases of synchronous/metachronous neuroendocrine tumor (NET). Here, we present a unique case of a patient with duodenal metastasis who presented with anemia and gastrointestinal (GI) bleeding, 37 years after nephrectomy. Duodenal biopsy performed revealed metastasis from RCC. He also had a history of recurrent diarrhea and abdominal pain, and on evaluation, he found to have cytology-proven metachronous pancreatic NET.
Case Presentation
An 84-year-old man with a medical history notable for hypertension and RCC, 37 years postright radical nephrectomy status, presented to his primary care physician with fatigue. When found to be anemic, he was treated with iron supplementation and blood transfusions. His stool was heme-positive. There was no history of jaundice, abdominal distension, bleeding tendency, melena, or altered sensorium. Laboratory investigations on admission were significant for microcytic hypochromic anemia with hemoglobin 6.8 g/dl and hematocrit 16.8%. Liver enzymes and serum levels of the tumor markers CA 19-9 and carcinoembryonic antigen were within normal range. Serum chromogranin levels were more than 650 ng/ml.
His history also included his presentation with repeated increased frequency of stool 3–4/day, semisolid without blood or mucus in December 2006. 68Ga-labelled [1,4,7,10-tetraazacyclododecane-1,4,7,10tetraacetic acid]-1-Nal3-octreotide (68Ga-DOTA-NOC) positron-emission tomography (PET) suggested enhancing pancreatic head (HOP) mass with central necrosis which was non-fluoro deoxycolic glucose (FDG) avid on PET-computed tomography. With the suspicion NET, the patient was advised surgery, but he denied any intervention.
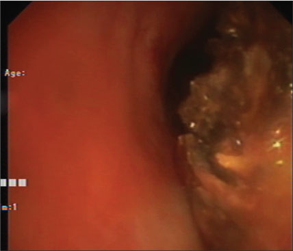
For the current presentation, the patient underwent upper GI endoscopy which was suggestive of a large hiatus hernia with a large polypoidal lesion in D1–D2 junction, with ulcerations, without any active bleed [Figure 1a]. Endoscopic ultrasound was done which showed an ill-defined mass lesion measuring 7.8 cm × 7.8 cm in the HOP, not infiltrating into adjacent duodenum. The superior mesenteric vein was splayed by the mass. Gastroduodenal artery was piercing the mass, but the flow was intact. Duodenal polypoidal mass was arising from the second layer with intact third and fourth layer [Figure 1b].
| Figure. 1 (a) Endoscopic image of polypoidal lesion (white arrow) in D1–D2 junction; (b) endoscopic ultrasound image showing pancreatic head mass
The HOP mass (8.3 cm × 6.2 cm × 6.2 cm) was more 68Ga-DOTA-NOC avid while the D1–D2 mass (2.4 cm × 2.9 cm) was more FDG avid [Figure 2].
| Figure. 2 Axial fluoro deoxycolic glucose positron-emission tomography and (1,4,7,10-tetraazacyclododecane-1,4,7,10-tetraacetic acid)-1-Nal3-octreotide positron-emission tomography image of the upper abdomen reveal large soft tissue intensely (1,4,7,10-tetraazacyclododecane-1,4,7,10-tetraacetic acid)-1-Nal3-octreotide avid and fluoro deoxycolic glucose positron-emission tomography nonavid mass in the head and uncinate process of pancreas (white arrows in image a, b, and c) and another polypoidal intraluminal fluoro deoxycolic glucose positron-emission tomography avid and (1,4,7,10-tetraazacyclododecane-1,4,7,10-tetraacetic acid)-1-Nal3-octreotide nonavid mass in D2 part of duodenum (dashed white arrows in image a, b, and c)
Tissue was obtained from both the pancreatic as well as the duodenal lesions. HOP mass turned out to be NET [Figure 3a], grade could not be ascertained as tissue was inadequate for Ki-67 index] while the duodenal lesion was recurrence of RCC [Figure 3b], showing surface epithelial denudation and lamina propria are infiltrated by tumor glands which are positive for CD10 [Figure 3c], Paired box (PAX) 8, and vimentin and negative for cytokeratin, CD20, synaptophysin, chromogranin, indicating metastatic RCC].
| Figure. 3 (a) Fine-needle aspiration cytology smear showing loosely cohesive sheet of monomorphic tumor cells with nuclear streaking. Nuclei have even distribution of stippled chromatin: indicating neuroendocrine tumor; (b) duodenal biopsy showing surface epithelial denudation and lamina propria is infiltrated by tumor glands; (c) the glands are positive CD10, indicating metastatic RCC
He was advised tablet sunitinib which is effective in both as the lesion was unresectable. He opted for only symptomatic management.
Discussion
Late recurrences
RCC has a potential to metastasize to any organ in an unpredictable manner, and late recurrence is a known feature. Eleven percent of these metastases have been described in the literature as occurring more than 10 years after the initial radical surgical procedure.[4] Ours has very exceptional late recurrence after 37 years. This suggests that very long follow-up and surveillance are necessary in RCC. It is important to remain vigilant in postnephrectomy patients on presentation of new clinical symptoms.
Sites of metastasis
The routes for metastasis can be hematogenous, lymphatic, or peritoneal dissemination as well as direct spread from an intra-abdominal malignancy.[5] The most common sites of metastasis in the descending order of frequency are the lung, lymph nodes, liver, bone, adrenal glands, kidney, brain, heart, spleen, and skin.[5] It is also known to have metastasis to unusual sites.[6] Duodenal metastasis generally occurs when there is widespread nodal and visceral involvement and evidence of metastatic disease elsewhere in the body.[7] Our case had solitary duodenal metastasis from RCC which is rare and only few cases have been described in the English literature [Table 1]. The patients commonly present with GI bleeding and sequelae may include anemia, melena, fatigue, and early satiety as in our case or intestinal obstruction.[19] Such metastatic lesions to the upper GI tract are sometimes diagnosed on endoscopy.[28] Endoscopically, they are seen as submucosal tumors and polypoid masses, with erosion, plaque, or ulceration being the usual morphological findings.[19] In the present case, the metastatic lesion was seen as ill-defined polypoidal mass lesion measuring 2.9 cm × 2.2 cm with ulceration in the second part of duodenum.
|
Ref |
Year |
Age/sex |
Years postnephrectomy |
Presentation |
Treatment |
Survival (months) |
|---|---|---|---|---|---|---|
|
GI – Gastrointestinal; NA – Not available |
||||||
|
Baghmar et al. |
This article |
84/male |
31 |
Easy fatigue, anemia |
Supportive care |
12 |
|
Geramizadeh et al. [8] |
2015 |
61/male |
16 |
GI bleeding |
Classic Whipple |
NA |
|
Hu[9] |
2014 |
51/male |
12 |
Fatigue, dyspepsia, black tarry stools, generalized weakness |
Pancreaticoduodenectomy |
6 |
|
Zhao et al. [10] |
2012 |
56/male |
5 |
GI bleeding |
Classic Whipple |
NA |
|
Yang et al. [11] |
2012 |
12/male |
10 |
GI bleeding |
Classic Whipple |
NA |
|
Rustagi et al. [12] |
2011 |
66/male |
13 |
Easy fatigue, anemia, GI bleeding |
Pylorus-preserving pancreaticoduodenectomy |
NA |
|
Vashi et al.[13] |
2011 |
53/male |
2 weeks |
GI bleeding |
Segmental resection |
3 |
|
Adamo et al.[14] |
2008 |
86/female |
13 |
Easy fatigue, anemia |
Classic Whipple |
1 |
|
Sadler et al. [15] |
2001 |
15/male |
9 |
Anemia |
Supportive care |
NA |
|
Pavlakis et al.[16] |
2004 |
65/male |
2 |
Obstruction |
Intestinal resection |
9 |
|
Chang et al.[17] |
2004 |
63/female |
9 |
GI bleeding |
Radical subtotal gastrectomy |
10 |
|
Loualidi et al.[18] |
2004 |
16/male |
5 |
GI bleeding |
Palliative radiotherapy |
NA |
|
Nabi et al.[19] |
2001 |
40/male |
4 |
Epigastric pain, obstruction with bilious vomiting |
Proximal gastrojejunal bypass |
Died 1 days post-op of sepsis |
|
Le Borgne et al.[20] |
2000 |
12/female |
1 |
GI bleeding |
Classical Whipple |
18 |
|
Le Borgne et al.[20] |
2000 |
48/male |
13 |
GI bleeding |
Classical Whipple |
53 |
|
Ohmura et al.[21] |
2000 |
62/male |
5 |
Obstruction |
Embolization+local resection |
- |
|
Toh and Hale[22] |
1996 |
59/female |
10 |
Abdominal pain, anorexia |
Duodenotomy, excision of mass |
NA |
|
Freedman et al.[23] |
1992 |
65/male |
12 |
GI bleeding, fatigue |
Classical Whipple |
66 |
|
Lynch-Nyhan et al.[24] |
1981 |
16/male |
1 |
GI bleeding |
Embolization |
6 |
|
Lynch-Nyhan et al.[24] |
1981 |
61/male |
6 |
Jaundice |
Embolization |
NA |
|
McNichols et al.[4] |
1981 |
52/male |
10 |
Malabsorption |
Diagnostic only |
NA |
|
Heymann and Vieta[25] |
1918 |
64/male |
8 |
GI bleeding |
Complex procedure |
3 weeks |
|
Tolia and Whitmore[26] |
1915 |
-/male |
16 |
NA |
NA |
5 |
|
Lawson et al. [11] |
1966 |
69/female |
0 |
GI bleeding |
Classical Whipple |
NA |
|
Author |
Year |
Age/sex |
Site of NET origin |
Treatment |
Survival/follow up in months |
|---|---|---|---|---|---|
|
NA – Not available; NET – Neuroendocrine tumor |
|||||
|
Baghmar et al. |
Present article |
84/male |
Pancreas |
Supportive care |
12 |
|
Edwards et al.[40] |
2017 |
71/female |
Ileocecal valve |
Right hemicolectomy, radical nephrectomy |
NA |
|
Athiyappan et al. [41] |
2015 |
56/male |
Rectum |
Radical nephrectomy and chemotherapy |
3 |
|
Sun et al.[42] |
2013 |
37/male |
Horseshoe kidney |
Surgical resection |
9 |
|
Morelli et al.[43] |
2007 |
27/male |
Gallbladder |
Cholecystectomy with partial hepatectomy and a polar renal resection |
NA |
|
Dafashy et al.[2] |
2016 |
66/male |
Ileum |
Radical nephrectomy, ileal resection |
20 |
|
Addeo et al.[44] |
2013 |
27/female |
Pancreas |
Whipple procedure and wedge resections of the right renal neoplasm |
6 |
- Thompson LD, Heffess CS. Renal cell carcinoma to the pancreas in surgical pathology material. Cancer 2000; 89: 1076-88
- Dafashy TJ, Ghaffary CK, Keyes KT, Sonstein J. Synchronous Renal Cell Carcinoma and Gastrointestinal Malignancies. Case Rep Urol 2016; 2016: e7329463
- Müller SA, Pahernik S, Hinz U, Martin DJ, Wente MN, Hackert T. et al. Renal tumors and second primary pancreatic tumors: a relationship with clinical impact?. Patient Saf Surg 2012; 6: 18
- McNichols DW, Segura JW, DeWeerd JH. Renal cell carcinoma: long-term survival and late recurrence. J Urol 1981; 126: 17-23
- Ritchie AW, Chisholm GD. The natural history of renal carcinoma. Semin Oncol 1983; 10: 390-400
- Villarreal-Garza C, Perez-Alvarez SI, Gonzalez-Espinoza IR, Leon-Rodriguez E. Unusual Metastases in Renal Cell Carcinoma: A Single Institution Experience and Review of Literature. World J Oncol 2010; 1: 149-57
- Dodge OG. The Spread of Tumours in the Human Body. Br J Cancer 1974; 29: 343-4
- Geramizadeh B, Mostaghni A, Ranjbar Z, Moradian F, Heidari M, Khosravi MB. et al. An Unusual Case of Metastatatic Renal Cell Carcinoma Presenting as Melena and Duodenal Ulcer, 16 Years After Nephrectomy; a Case Report and Review of the Literature. Iran J Med Sci 2015; 40: 175-80
- Jeming Hu, Sheng-Tang Wu, Yu-Chieh Lin. Metachronous Duodenal Metastasis from Renal Cell Carcinoma. J Med Sci 2014; 34: 186-9
- Zhao H, Han K, Li J, Liang P, Zuo G, Zhang Y. et al. A case of wedge resection of duodenum for massive gastrointestinal bleeding due to duodenal metastasis by renal cell carcinoma. World J Surg Oncol 2012; 10: 199
- Yang J, Zhang YB, Liu ZJ, Zhu YF, Shen LG. Surgical treatment of renal cell carcinoma metastasized to the duodenum. Chin Med J (Engl) 2012; 125: 3198-200
- Rustagi T, Rangasamy P, Versland M. Duodenal Bleeding from Metastatic Renal Cell Carcinoma. Case Rep Gastroenterol 2011; 5: 249-57
- Vashi PG, Abboud E, Gupta D. Renal Cell Carcinoma with Unusual Metastasis to the Small Intestine Manifesting as Extensive Polyposis: Successful Management with Intraoperative Therapeutic Endoscopy. Case Rep Gastroenterol 2011; 5: 471-8
- Adamo R, Greaney PJ, Witkiewicz A, Kennedy EP, Yeo CJ. Renal Cell Carcinoma Metastatic to the Duodenum: Treatment by Classic Pancreaticoduodenectomy and Review of the Literature. J Gastrointest Surg 2008; 12: 1465-8
- Sadler GJ, Anderson MR, Moss MS, Wilson PG. Metastases from renal cell carcinoma presenting as gastrointestinal bleeding: two case reports and a review of the literature. BMC Gastroenterol 2007; 7: 4
- Pavlakis GM, Sakorafas GH, Anagnostopoulos GK. Intestinal metastases from renal cell carcinoma: a rare cause of intestinal obstruction and bleeding. Mt Sinai J Med N Y 2004; 71: 127-30
- Chang WT, Chai CY, Lee KT. Unusual upper gastrointestinal bleeding due to late metastasis from renal cell carcinoma: a case report. Kaohsiung J Med Sci 2004; 20: 137-41
- Loualidi A, Spooren PF, Grubben MJ, Blomjous CE, Goey SH. Duodenal metastasis: An uncommon cause of occult small intestinal bleeding. Neth J Med 2004; 62: 201-5
- Nabi G, Gandhi G, Dogra PN. Diagnosis and management of duodenal obstruction due to renal cell carcinoma. Trop Gastroenterol Off J Dig Dis Found 2001; 22: 47-9
- Le Borgne J, Partensky C, Glemain P, Dupas B, de Kerviller B. Pancreaticoduodenectomy for metastatic ampullary and pancreatic tumors. Hepatogastroenterology 2000; 47: 540-4
- Ohmura Y, Ohta T, Doihara H, Shimizu N. Local recurrence of renal cell carcinoma causing massive gastrointestinal bleeding: A report of two patients who underwent surgical resection. Jpn J Clin Oncol 2000; 30: 241-5
- Toh SK, Hale JE. Late presentation of a solitary metastasis of renal cell carcinoma as an obstructive duodenal mass. Postgrad Med J 1996; 72: 178-9
- Freedman AI, Tomaszewski JE, Van Arsdalen KN. Solitary late recurrence of renal cell carcinoma presenting as duodenal ulcer. Urology 1992; 39: 461-3
- Lynch-Nyhan A, Fishman EK, Kadir S. Diagnosis and management of massive gastrointestinal bleeding owing to duodenal metastasis from renal cell carcinoma. J Urol 1987; 138: 611-3
- Heymann AD, Vieta JO. Recurrent renal carcinoma causing intestinal hemorrhage. Am J Gastroenterol 1978; 69: 582-5
- Tolia BM, Whitmore WF. Solitary metastasis from renal cell carcinoma. J Urol 1975; 114: 836-8
- Lawson LJ, Holt LP, Rooke HWP. Recurrent Duodenal Hemorrhage from Renal Carcinoma. Br J Urol 1966; 38: 133-7
- Hsu CC, Chen JJ, Changchien CS. Endoscopic features of metastatic tumors in the upper gastrointestinal tract. Endoscopy 1996; 28: 249-53
- Bhatia A, Das A, Kumar Y, Kochhar R. Renal cell carcinoma metastasizing to duodenum: A rare occurrence. Diagn Pathol 2006; 1: 29
- Mascarenhas B, Konety B, Rubin JT. Recurrent metastatic renal cell carcinoma presenting as a bleeding gastric ulcer after a complete response to high-dose interleukin-2 treatment. Urology 2001; 57: 168
- Kavolius JP, Mastorakos DP, Pavlovich C, Russo P, Burt ME, Brady MS. Resection of metastatic renal cell carcinoma. J Clin Oncol Off J Am Soc Clin Oncol 1998; 16: 2261-6
- Garcia JHP, Coelho GR, Cavalcante FP, Valença JT, Brasil IRC, Cesar-Borges G. et al. Synchronous hepatocellular carcinoma and renal cell carcinoma in a liver transplant recipient: a case report. Transplantation 2007; 84: 1713
- Anthony MP, Makk H, Khong PL. An unusual case of synchronous renal cell carcinoma in a horseshoe kidney and intrahepatic cholangiocarcinoma. 2009. Available from: http://hub.hku.hk/handle/10722/91298. [Last cited on 2017 Jan 17].
- Lee YS, Kim JH, Yoon HY, Choe WH, Kwon SY, Lee CH. A synchronous hepatocellular carcinoma and renal cell carcinoma treated with radio-frequency ablation. Clin Mol Hepatol Clin Mol Hepatol 2014; 20: 306-9
- Boruban C, Yavas O, Altundag K, Sencan O. Synchronous presentation of nasopharyngeal and renal cell carcinomas. Int Braz J Urol 2006; 32: 310-2
- Takehara K, Nishikido M, Koga S, Miyata Y, Harada T, Tamaru N. et al. Multifocal transitional cell carcinoma associated with renal cell carcinoma in a patient on long-term haemodialysis. Nephrol Dial Transplant Off Publ Eur Dial Transpl Assoc - Eur Ren Assoc 2002; 17: 1692-4
- Yang J, Lee H, Lee OJ, Bae D, Jeong S, Choi MK. et al. Synchronous double primary renal cell carcinoma and duodenal adenocarcinoma. J Biomed Transl Res 2016; 17: 70-4
- Papalampros AE, Petrou AS, Mantonakis EI, Evangelou KI, Giannopoulos LA, Marinos GG. et al. Coexistence of a colon carcinoma with two distinct renal cell carcinomas: a case report. J Med Case Reports 2011; 5: 134
- Maubec E, Chaudru V, Mohamdi H, Grange F, Patard JJ, Dalle S. et al. Characteristics of the coexistence of melanoma and renal cell carcinoma. Cancer 2010; 116: 5716-24
- Edwards DC, Gitman R, May NR, Amster MI. Extraordinarily Large Renal Cell Carcinoma With Metasynchronous Neuroendocrine Tumor of the Ileocecal Valve: A Rare Presentation of Disease. Urology 2017; 99: e29-30
- Athiyappan K, Ramachandran R, Rajendiran S, Thangam V. Incidental Detection of Neuroendocrine Carcinoma of Rectum During Staging Workup of Renal Cell Carcinoma. World J Oncol 2016; 6: 491-4
- Sun K, You Q, Zhao M, Yao H, Xiang H, Wang L. Concurrent primary carcinoid tumor arising within mature teratoma and clear cell renal cell carcinoma in the horseshoe kidney: report of a rare case and review of the literature. Int J Clin Exp Pathol 2013; 6: 2578-84
- Morelli L, Piscioli F, Cudazzo E, Del Nonno F, Licci S. Simultaneous occurrence of metastasizing carcinoid tumour of the gallbladder and chromophobe renal cell carcinoma in a young man. Acta Gastro-Enterol Belg 2007; 70: 371-3
- Addeo A, Bini R, Viora T, Bonaccorsi L, Leli R. Von Hippel-Lindau and myotonic dystrophy of Steinert along with pancreatic neuroendocrine tumor and renal clear cell carcinomal neoplasm: Case report and review of the literature. Int J Surg Case Rep 2013; 4: 648-50
Address for correspondence
Publication History
Article published online:
24 May 2021
© 2019. Indian Society of Medical and Paediatric Oncology. This is an open access article published by Thieme under the terms of the Creative Commons Attribution-NonDerivative-NonCommercial-License, permitting copying and reproduction so long as the original work is given appropriate credit. Contents may not be used for commercial purposes, or adapted, remixed, transformed or built upon. (https://creativecommons.org/licenses/by-nc-nd/4.0/).
Thieme Medical and Scientific Publishers Pvt. Ltd.
A-12, 2nd Floor, Sector 2, Noida-201301 UP, India
References
- Thompson LD, Heffess CS. Renal cell carcinoma to the pancreas in surgical pathology material. Cancer 2000; 89: 1076-88
- Dafashy TJ, Ghaffary CK, Keyes KT, Sonstein J. Synchronous Renal Cell Carcinoma and Gastrointestinal Malignancies. Case Rep Urol 2016; 2016: e7329463
- Müller SA, Pahernik S, Hinz U, Martin DJ, Wente MN, Hackert T. et al. Renal tumors and second primary pancreatic tumors: a relationship with clinical impact?. Patient Saf Surg 2012; 6: 18
- McNichols DW, Segura JW, DeWeerd JH. Renal cell carcinoma: long-term survival and late recurrence. J Urol 1981; 126: 17-23
- Ritchie AW, Chisholm GD. The natural history of renal carcinoma. Semin Oncol 1983; 10: 390-400
- Villarreal-Garza C, Perez-Alvarez SI, Gonzalez-Espinoza IR, Leon-Rodriguez E. Unusual Metastases in Renal Cell Carcinoma: A Single Institution Experience and Review of Literature. World J Oncol 2010; 1: 149-57
- Dodge OG. The Spread of Tumours in the Human Body. Br J Cancer 1974; 29: 343-4
- Geramizadeh B, Mostaghni A, Ranjbar Z, Moradian F, Heidari M, Khosravi MB. et al. An Unusual Case of Metastatatic Renal Cell Carcinoma Presenting as Melena and Duodenal Ulcer, 16 Years After Nephrectomy; a Case Report and Review of the Literature. Iran J Med Sci 2015; 40: 175-80
- Jeming Hu, Sheng-Tang Wu, Yu-Chieh Lin. Metachronous Duodenal Metastasis from Renal Cell Carcinoma. J Med Sci 2014; 34: 186-9
- Zhao H, Han K, Li J, Liang P, Zuo G, Zhang Y. et al. A case of wedge resection of duodenum for massive gastrointestinal bleeding due to duodenal metastasis by renal cell carcinoma. World J Surg Oncol 2012; 10: 199
- Yang J, Zhang YB, Liu ZJ, Zhu YF, Shen LG. Surgical treatment of renal cell carcinoma metastasized to the duodenum. Chin Med J (Engl) 2012; 125: 3198-200
- Rustagi T, Rangasamy P, Versland M. Duodenal Bleeding from Metastatic Renal Cell Carcinoma. Case Rep Gastroenterol 2011; 5: 249-57
- Vashi PG, Abboud E, Gupta D. Renal Cell Carcinoma with Unusual Metastasis to the Small Intestine Manifesting as Extensive Polyposis: Successful Management with Intraoperative Therapeutic Endoscopy. Case Rep Gastroenterol 2011; 5: 471-8
- Adamo R, Greaney PJ, Witkiewicz A, Kennedy EP, Yeo CJ. Renal Cell Carcinoma Metastatic to the Duodenum: Treatment by Classic Pancreaticoduodenectomy and Review of the Literature. J Gastrointest Surg 2008; 12: 1465-8
- Sadler GJ, Anderson MR, Moss MS, Wilson PG. Metastases from renal cell carcinoma presenting as gastrointestinal bleeding: two case reports and a review of the literature. BMC Gastroenterol 2007; 7: 4
- Pavlakis GM, Sakorafas GH, Anagnostopoulos GK. Intestinal metastases from renal cell carcinoma: a rare cause of intestinal obstruction and bleeding. Mt Sinai J Med N Y 2004; 71: 127-30
- Chang WT, Chai CY, Lee KT. Unusual upper gastrointestinal bleeding due to late metastasis from renal cell carcinoma: a case report. Kaohsiung J Med Sci 2004; 20: 137-41
- Loualidi A, Spooren PF, Grubben MJ, Blomjous CE, Goey SH. Duodenal metastasis: An uncommon cause of occult small intestinal bleeding. Neth J Med 2004; 62: 201-5
- Nabi G, Gandhi G, Dogra PN. Diagnosis and management of duodenal obstruction due to renal cell carcinoma. Trop Gastroenterol Off J Dig Dis Found 2001; 22: 47-9
- Le Borgne J, Partensky C, Glemain P, Dupas B, de Kerviller B. Pancreaticoduodenectomy for metastatic ampullary and pancreatic tumors. Hepatogastroenterology 2000; 47: 540-4
- Ohmura Y, Ohta T, Doihara H, Shimizu N. Local recurrence of renal cell carcinoma causing massive gastrointestinal bleeding: A report of two patients who underwent surgical resection. Jpn J Clin Oncol 2000; 30: 241-5
- Toh SK, Hale JE. Late presentation of a solitary metastasis of renal cell carcinoma as an obstructive duodenal mass. Postgrad Med J 1996; 72: 178-9
- Freedman AI, Tomaszewski JE, Van Arsdalen KN. Solitary late recurrence of renal cell carcinoma presenting as duodenal ulcer. Urology 1992; 39: 461-3
- Lynch-Nyhan A, Fishman EK, Kadir S. Diagnosis and management of massive gastrointestinal bleeding owing to duodenal metastasis from renal cell carcinoma. J Urol 1987; 138: 611-3
- Heymann AD, Vieta JO. Recurrent renal carcinoma causing intestinal hemorrhage. Am J Gastroenterol 1978; 69: 582-5
- Tolia BM, Whitmore WF. Solitary metastasis from renal cell carcinoma. J Urol 1975; 114: 836-8
- Lawson LJ, Holt LP, Rooke HWP. Recurrent Duodenal Hemorrhage from Renal Carcinoma. Br J Urol 1966; 38: 133-7
- Hsu CC, Chen JJ, Changchien CS. Endoscopic features of metastatic tumors in the upper gastrointestinal tract. Endoscopy 1996; 28: 249-53
- Bhatia A, Das A, Kumar Y, Kochhar R. Renal cell carcinoma metastasizing to duodenum: A rare occurrence. Diagn Pathol 2006; 1: 29
- Mascarenhas B, Konety B, Rubin JT. Recurrent metastatic renal cell carcinoma presenting as a bleeding gastric ulcer after a complete response to high-dose interleukin-2 treatment. Urology 2001; 57: 168
- Kavolius JP, Mastorakos DP, Pavlovich C, Russo P, Burt ME, Brady MS. Resection of metastatic renal cell carcinoma. J Clin Oncol Off J Am Soc Clin Oncol 1998; 16: 2261-6
- Garcia JHP, Coelho GR, Cavalcante FP, Valença JT, Brasil IRC, Cesar-Borges G. et al. Synchronous hepatocellular carcinoma and renal cell carcinoma in a liver transplant recipient: a case report. Transplantation 2007; 84: 1713
- Anthony MP, Makk H, Khong PL. An unusual case of synchronous renal cell carcinoma in a horseshoe kidney and intrahepatic cholangiocarcinoma. 2009. Available from: http://hub.hku.hk/handle/10722/91298. [Last cited on 2017 Jan 17].
- Lee YS, Kim JH, Yoon HY, Choe WH, Kwon SY, Lee CH. A synchronous hepatocellular carcinoma and renal cell carcinoma treated with radio-frequency ablation. Clin Mol Hepatol Clin Mol Hepatol 2014; 20: 306-9
- Boruban C, Yavas O, Altundag K, Sencan O. Synchronous presentation of nasopharyngeal and renal cell carcinomas. Int Braz J Urol 2006; 32: 310-2
- Takehara K, Nishikido M, Koga S, Miyata Y, Harada T, Tamaru N. et al. Multifocal transitional cell carcinoma associated with renal cell carcinoma in a patient on long-term haemodialysis. Nephrol Dial Transplant Off Publ Eur Dial Transpl Assoc - Eur Ren Assoc 2002; 17: 1692-4
- Yang J, Lee H, Lee OJ, Bae D, Jeong S, Choi MK. et al. Synchronous double primary renal cell carcinoma and duodenal adenocarcinoma. J Biomed Transl Res 2016; 17: 70-4
- Papalampros AE, Petrou AS, Mantonakis EI, Evangelou KI, Giannopoulos LA, Marinos GG. et al. Coexistence of a colon carcinoma with two distinct renal cell carcinomas: a case report. J Med Case Reports 2011; 5: 134
- Maubec E, Chaudru V, Mohamdi H, Grange F, Patard JJ, Dalle S. et al. Characteristics of the coexistence of melanoma and renal cell carcinoma. Cancer 2010; 116: 5716-24
- Edwards DC, Gitman R, May NR, Amster MI. Extraordinarily Large Renal Cell Carcinoma With Metasynchronous Neuroendocrine Tumor of the Ileocecal Valve: A Rare Presentation of Disease. Urology 2017; 99: e29-30
- Athiyappan K, Ramachandran R, Rajendiran S, Thangam V. Incidental Detection of Neuroendocrine Carcinoma of Rectum During Staging Workup of Renal Cell Carcinoma. World J Oncol 2016; 6: 491-4
- Sun K, You Q, Zhao M, Yao H, Xiang H, Wang L. Concurrent primary carcinoid tumor arising within mature teratoma and clear cell renal cell carcinoma in the horseshoe kidney: report of a rare case and review of the literature. Int J Clin Exp Pathol 2013; 6: 2578-84
- Morelli L, Piscioli F, Cudazzo E, Del Nonno F, Licci S. Simultaneous occurrence of metastasizing carcinoid tumour of the gallbladder and chromophobe renal cell carcinoma in a young man. Acta Gastro-Enterol Belg 2007; 70: 371-3
- Addeo A, Bini R, Viora T, Bonaccorsi L, Leli R. Von Hippel-Lindau and myotonic dystrophy of Steinert along with pancreatic neuroendocrine tumor and renal clear cell carcinomal neoplasm: Case report and review of the literature. Int J Surg Case Rep 2013; 4: 648-50
PDF
Views
Share

