Sorafenib-Induced Spiny Follicular Hyperkeratosis: A Case Report with Review of Literature
CC BY 4.0 · Indian J Med Paediatr Oncol 2024; 45(02): 183-187
DOI: DOI: 10.1055/s-0043-1766136
Abstract
Sorafenib is a multikinase inhibitor used in the treatment of various solid tumors. Mucocutaneous adverse events are experienced by 70 to 90% of the patients receiving sorafenib, underscoring the importance of awareness among oncologists and dermatologists. Spiny follicular hyperkeratosis (SFH) is a benign and rarely reported skin reaction linked to sorafenib. It is characterized by flesh-colored or white, follicular hyperkeratotic spicules, preferentially involving the face, scalp, upper trunk, and upper arms. Besides being acknowledged as a paraneoplastic cutaneous manifestation of multiple myeloma, SFH has also been linked to a few diseases and drugs, other than sorafenib. However, the precise etiopathogenesis remains to be elucidated. We report an interesting case of SFH in a 14-year-old child, 1 week following the initiation of sorafenib. Trichodysplasia spinulosa, multiple minute digitate hyperkeratosis, keratosis pilaris, filiform warts, and pityriasis rubra pilaris are morphologically similar conditions that were excluded by clinicopathological correlation. A complete resolution of skin rash following sorafenib dose reduction further reinforced our diagnosis. Our patient also developed hand-foot skin reaction, facial erythema, and eruptive nevi during treatment. The regrowth of curly hair following chemotherapy-induced anagen effluvium was an interesting development in our case. We report this case to familiarize clinicians with this rare entity.
Declaration of Patient Consent
We certify that patient's consent was obtained for publication of her images and other clinical information, in an appropriate consent form. The patient understands that their names and initials will not be published and due efforts will be made to conceal their identity, but anonymity cannot be guaranteed.
Publication History
Article published online:
12 May 2023
© 2023. The Author(s). This is an open access article published by Thieme under the terms of the Creative Commons Attribution License, permitting unrestricted use, distribution, and reproduction so long as the original work is properly cited. (https://creativecommons.org/licenses/by/4.0/)
Thieme Medical and Scientific Publishers Pvt. Ltd.
A-12, 2nd Floor, Sector 2, Noida-201301 UP, India
Abstract
Sorafenib is a multikinase inhibitor used in the treatment of various solid tumors. Mucocutaneous adverse events are experienced by 70 to 90%- of the patients receiving sorafenib, underscoring the importance of awareness among oncologists and dermatologists. Spiny follicular hyperkeratosis (SFH) is a benign and rarely reported skin reaction linked to sorafenib. It is characterized by flesh-colored or white, follicular hyperkeratotic spicules, preferentially involving the face, scalp, upper trunk, and upper arms. Besides being acknowledged as a paraneoplastic cutaneous manifestation of multiple myeloma, SFH has also been linked to a few diseases and drugs, other than sorafenib. However, the precise etiopathogenesis remains to be elucidated. We report an interesting case of SFH in a 14-year-old child, 1 week following the initiation of sorafenib. Trichodysplasia spinulosa, multiple minute digitate hyperkeratosis, keratosis pilaris, filiform warts, and pityriasis rubra pilaris are morphologically similar conditions that were excluded by clinicopathological correlation. A complete resolution of skin rash following sorafenib dose reduction further reinforced our diagnosis. Our patient also developed hand-foot skin reaction, facial erythema, and eruptive nevi during treatment. The regrowth of curly hair following chemotherapy-induced anagen effluvium was an interesting development in our case. We report this case to familiarize clinicians with this rare entity.
Keywords
adverse events - sorafenib - spiny follicular hyperkeratosisIntroduction
Sorafenib is an oral small molecule multikinase inhibitor used in the treatment of various solid tumors.[1] [2] Its wide usage has led to the identification and reporting of several adverse events (AE), and a better comprehension of its pathophysiology and management. Spiny follicular hyperkeratosis (SFH) is one such benign cutaneous AE with unique clinicopathological attributes, rarely reported following sorafenib treatment.[3] [4] [5] We report a case of SFH in a young girl, 1 week following initiation of sorafenib, that subsequently improved on dose reduction.
Case Report
A 14-year-old girl with right side neck swelling of 6-month duration and radiating pain in her right arm for a year was found to have a large cervicothoracic mass encasing the brachial plexus, brachiocephalic, and subclavian vessels and compressing the trachea on magnetic resonance imaging. Histopathological examination of tissue from the mass established the diagnosis of desmoid fibromatosis. After completing 4 cycles of chemotherapy with adriamycin and dacarbazine, she was initiated on sorafenib (300mg) and celecoxib, a month before presenting to us. Symptomatically, there was considerable reduction in neck swelling and pain. One week following initiation of sorafenib, she noticed progressive dryness and scaling of skin over the head and neck region along with redness and mild pain over palms and soles. She also reported diffuse hair loss of the scalp following chemotherapy before sorafenib initiation. She is the only child of nonconsanguineous parents, with normal psychomotor development, and was fully vaccinated. There was no relevant past or family history.
On examination, there were sheets of skin-colored to whitish, pin-point, spiny, follicular papules involving the head and neck region, with marked involvement of eyebrows, scalp, and ears ([Fig. 1A–C]). There were short regrowing hairs over the scalp.
| Fig 1 : (A)Skin-colored to whitish, pin-point, spiny follicular hyperkeratotic papules over the (A) eyebrows, (B) scalp, and (C) ears; (D, E, F) Complete clearance of rash following sorafenib dose reduction and topical keratolytic application; (G, H) Hyperkeratotic hand-foot skin reaction involving the pressure points of soles; (I) Fissured scaly plaques over first finger web space bilaterally; (J) Regrowth of curly hair following chemotherapy induced anagen effluvium..
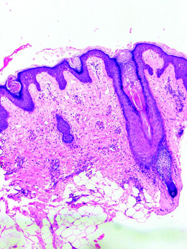
Histopathological examination of the papules revealed orthokeratotic follicular plug, mild superficial dermal edema, perivascular, and focal perifollicular lymphohistiocytic infiltrate. The rest of the epidermis, deep dermis, and subcutis were unremarkable ([Fig. 2]). The clinicopathological correlation and literature search rendered the diagnosis of sorafenib-induced SFH and grade 1 hand-foot skin reaction (HFSR).
| Figure 2: (A) Orthokeratotic follicular plug, mild superficial dermal edema, perivascular and focal perifollicular lymphohistiocytic infiltrate (hematoxylin and eosin x 100).
Considering the good clinical response to treatment, the dose of sorafenib was reduced to 200mg/day and celecoxib was continued. We prescribed topical keratolytic agents (sulfur-salicylic paste and cream containing 10%-urea, and 15%-glycolic acid) and ciclopirox containing shampoo for SFH and emollients for hands and feet.
Six months later, on examination, there were no signs of SFH ([Fig. 1D–F]). However, she complained of tender yellowish thickening of skin over pressure points of soles ([Fig. 1G, H]), fissured scaly plaques over first finger web space bilaterally ([Fig. 1I]), multiple acquired melanocytic nevi on face and neck, and mild erythema over forehead and cheeks. Progression to grade 2 HFSR despite dose reduction and 7 months into treatment was unexpected and unusual. Although neither the child nor her family members had curly hair, the hair that regrew following chemotherapy-induced anagen effluvium appeared curly ([Fig. 1J]) with reduced pigmentation. The dose of sorafenib was further reduced to 100 mg/day, celecoxib was continued, and mometasone ointment with emollients and cold compresses was advised for HFSR.
The clinical appearance of spiny follicular papules, particularly in the background of malignancy, chemotherapy, and immunosuppression, made us consider different possibilities including viral infections and cutaneous AE of sorafenib. However, histology, together with clinicopathological correlation, and the remarkable response to sorafenib dose reduction and topical keratolytic agents, helped establish the diagnosis.
Discussion
Sorafenib is a multitargeted protein kinase inhibitor that suppresses tumor proliferation (Raf serine/threonine kinases, Fms-like tyrosine kinase-3 or FLT-3, c-Kit, rearranged during transfection or RET blocker) and angiogenesis (vascular endothelial growth factor receptor or VEGFR-2, VEGFR-3, platelet-derived growth factor receptor or PGDF-R-β blocker).[1] [3] [6] [7] In addition to its approved indications, that is, advanced renal cell carcinoma, unresectable hepatocellular carcinoma, and recurrent or metastatic differentiated thyroid carcinoma, it is used off-label in various malignancies.[6] [8] [9] [10] Approximately 70 to 90%-of these patients manifest mucocutaneous AE with hair and nail changes, within 6 weeks of receiving treatment.[1] [2] [6] [7] [10] [11] HFSR, rash and desquamation, alopecia, facial erythema, subungual splinter hemorrhages, scalp dysesthesias, xerosis, and pruritus are frequently reported; whereas, stomatitis and cheilitis, hyperkeratosis of nipples, eruptive cysts, eruptive nevi, squamoproliferative lesions like actinic keratoses, keratoacanthomas, and squamous cell carcinomas are rarely seen.[1] [6] [7] [8] [11] They may be self-limiting or can persist during treatment. Depending on its type and severity, the AE is managed symptomatically, by dose reduction, treatment interruption, or discontinuation.[1] [11]
SFH is one such rare and peculiar dermatological disorder, first identified by Joncas et al and Lopez et al, and later reported by Franck et al, in 21%-of patients receiving sorafenib.[3] [4] [5] It is characterized by flesh-colored or white, follicular hyperkeratotic spicules, preferentially involving the face, scalp, upper trunk, and upper arms.[5] [6] [12] It is asymptomatic, devoid of erythema, and appeared 9 to 164 days after treatment initiation in the patient cohort described by Franck et al.[5] Though our patient had a morphologically identical presentation, she exhibited a shorter time-to-onset of SFH, that is, 7 days, and sparing of upper trunk and arms. Follicular dilatation with hyperkeratotic follicular plug and perifollicular lymphocytic infiltrate are the histopathological attributes shared by all SFH cases, including ours.[3] [4] [5] [12] [13] [14] [15] [16] The orthokeratotic digitate spike protruding above the epidermis, a distinct feature demonstrated in one out of the four cases evaluated by Franck et al, was probably lost in the tissue processing of our case.[5]
Trichodysplasia spinulosa, multiple minute digitate hyperkeratosis (MMDH), keratosis pilaris (KP), filiform warts, and pityriasis rubra pilaris (PRP) were the differential diagnoses, excluded based on clinicopathological findings. Trichodysplasia spinulosa is a trichodysplasia spinulosa-associated polyomavirus infection of inner root sheath (IRS) in immunosuppressed individuals, presenting as erythematous to skin-colored papules with folliculocentric keratotic spines on central face and ears, alopecia, and skin thickening, progressing to leonine appearance.[6] [17] [18] [19] Follicular dilatation with plugging and eosinophilic keratinocytes of dystrophic IRS, containing large trichohyaline granules, are seen in histology; the virus can be identified by electron microscopy, immunofluorescence, and molecular techniques.[6] [18] [19] MMDH, a rare keratinization disorder, is a morphologically similar entity that is differentiated by its nonfollicular nature, appreciated both clinically and histologically, and localization over the trunk and proximal extremities.[17] [20] Sorafenib-induced KP-like eruption and PRP-like eruption are infrequently reported folliculocentric skin disease that demonstrates orthokeratotic follicular plug akin to SFH on histology.[21] [22] [23] [24] However, the absence of erythematous inflammatory papules (of KP and PRP) and plaques (of PRP) in our patient rendered these diagnoses unlikely.[23] [24]
The improvement in rash with treatment interruption, recurrence on treatment resumption, and persistence of rash throughout sorafenib exposure were evident from previous reports.[3] [4] [5] Resolution of SFH with dose reduction and topical keratolytic agents in our patient corroborates with it being a direct toxic effect of sorafenib, reminiscent of HFSR. The ubiquitous RAS-RAF-MEK-ERK mitogen-activated protein kinase (MAPK) pathway plays a critical role in epidermal cell proliferation, differentiation, and apoptosis.[1] [6] [25] [26] Therapeutics targeting the normal signaling can lead to dysfunctional keratinization, evident from the wide variety of cutaneous AEs linked to sorafenib.[2] [5] [6] [22] Vemurafenib, a B-RAF inhibitor, is the other targeted antineoplastic agent, linked to two cases of SFH.[12] [15] Being the common target of sorafenib and vemurafenib, RAF kinase is probably involved in the pathogenesis of SFH. Interestingly, a reduction in RAF inhibitors-associated cutaneous AE was observed when combined with MEK inhibitors.[11] [27] This was evident in a case of vemurafenib-induced SFH that showed substantial improvement on addition of cobimetinib.[12] Hence, the paradoxical activation of the MAPK pathway was proposed as the underlying pathomechanism leading to follicular hyperkeratosis in SFH.
Besides sorafenib, SFH is linked to various diseases, few drugs like vemurafenib, glasdegib, cyclosporine, acitretin, and can also be idiopathic.[12] [13] [14] [15] [16] [28] Paraproteinemia, particularly multiple myeloma, is the earliest known association and most frequently linked to SFH in literature.[13] [28] Other known associations are Crohn's disease, hypovitaminosis A, chronic renal failure, human immunodeficiency virus infection, cryoglobulinemia, Sezary syndrome, and lymphoma.[13] [14] [28]
Unlike HFSR, SFH is not a dose-limiting AE. Treatment of SFH with topical retinoids, fluocinolone acetonide gel, and 12% lactic acid cream has been tried in the past with little benefit.[14] [28] Discontinuation of the causative drug or management of the underlying condition is considered the definitive treatment.[13] [28] Among the 11 cases of sorafenib-induced SFH in literature, six patients showed complete clearance of the rash on discontinuing sorafenib, with recurrence seen in three patients on reinstitution of treatment.[3] [4] [5] Our patient, however, responded to dose reduction and topical keratolytic agents, with complete resolution noticed in 4 weeks. Franck et al documented clearance of rash over 4 to 168 days, without any specific topical treatment in their patients. However, details about the management of SFH and spontaneous resolution, if any, are not mentioned in their report. Celecoxib was recently found to have a significant effect on the prevention of HFSR and the management of the associated pain.[29] Although SFH is characterized by similar hyperkeratosis, celecoxib is unlikely to demonstrate a similar impact owing to the noninflammatory nature of SFH.
Conclusion
SFH is a rare benign cutaneous AE scarcely reported in association with sorafenib with no reported pediatric cases to our knowledge. We report this case to familiarize clinicians with its unique clinicopathological attributes that distinguish it from trichodysplasia spinulosa, a viral infection managed by reducing immunosuppression or with antiviral agents.[17] [18] [19] It is clear from our case that dose reduction with topical keratolytic agents can lead to complete resolution of SFH. Further, alopecia with subsequent growth of curly hair, HFSR, facial erythema, and eruptive nevi were the other sorafenib-triggered cutaneous AE observed in our patient.[1] [6] [11]
Conflict of Interest
None declared.
Acknowledgment
None declared.
Declaration of Patient Consent
We certify that patient's consent was obtained for publication of her images and other clinical information, in an appropriate consent form. The patient understands that their names and initials will not be published and due efforts will be made to conceal their identity, but anonymity cannot be guaranteed.
References
-
obert C, Mateus C, Spatz A, Wechsler J, Escudier B. Dermatologic symptoms associated with the multikinase inhibitor sorafenib. J Am Acad Dermatol 2009; 60 (02) 299-305
- utier J, Escudier B, Wechsler J, Spatz A, Robert C. Prospective study of the cutaneous adverse effects of sorafenib, a novel multikinase inhibitor. Arch Dermatol 2008; 144 (07) 886-892
- oncas V, Sammour R, Krasny M, Bouffard D, Provost N. A distinct cutaneous reaction to sorafenib and a multikinase inhibitor. Int J Dermatol 2008; 47 (07) 767-769
- opez V, Pinazo I, Marti N, Monteagudo C, Jorda E. Follicular hyperplasia on the face subsequent to therapy with sorafenib. A new skin side effect. J Eur Acad Dermatol Venereol 2009; 23 (08) 959-960
- ranck N, Barete S, Moguelet P. et al. Spiny follicular hyperkeratosis eruption: a new cutaneous adverse effect of sorafenib. J Clin Oncol 2010; 28 (31) e640-e642
- ra M, Pastushenko E. Antiangiogenic Agents and the Skin: Cutaneous Adverse Effects of Sorafenib, Sunitinib, and Bevacizumab. Actas Dermosifiliogr 2014; 105 (10) 900-912
- ee WJ, Lee JL, Chang SE. et al. Cutaneous adverse effects in patients treated with the multitargeted kinase inhibitors sorafenib and sunitinib. Br J Dermatol 2009; 161 (05) 1045-1051
- hang L, Zhou Q, Ma L, Wu Z, Wang Y. Meta-analysis of dermatological toxicities associated with sorafenib. Clin Exp Dermatol 2011; 36 (04) 344-350
- ood and Drug Administration. . NEXAVAR (sorafenib) tablets. Accessed March 3, 2023 at: https://www.accessdata.fda.gov/drugsatfda_docs/label/2020/021923s024lblrpl.pdf
- Boudou-Rouquette P, Ropert S, Mir O. et al. Variability of sorafenib toxicity and exposure over time: a pharmacokinetic/pharmacodynamic analysis. Oncologist 2012; 17 (09) 1204-1212
- Anforth R, Fernandez-Peñas P, Long GV. Cutaneous toxicities of RAF inhibitors. Lancet Oncol 2013; 14 (01) e11-e18
- Nieto Rodríguez D, Gómez Fernández C, Rueda Carnero JM. Facial spiny follicular hyperkeratosis induced by vemurafenib. J Dermatol 2018; 45 (02) e43-e44
- Yanik ME, Erfan G, Albayrak H. et al. Acitretin-induced spiny follicular hyperkeratosis. Cutan Ocul Toxicol 2016; 35 (02) 165-167
- Gutte RM. Adult onset atopic dermatitis with secondary follicular mucinosis with cyclosporine induced spiny follicular hyperkeratosis and hair casts. Indian J Dermatol 2013; 58 (03) 243
- van der Kooi K, Glass LF, Messina JL, Trimble JS. Keratosis pilaris-like eruption observed during the experimental PLX 4032 studies. J Am Acad Dermatol 2012; 67 (06) e286-e287
- López-Lerma I, Ferrer B, Zarzoso I, Hernández-Losa J, García-Patos V. Spiny hyperkeratosis (trichodysplasia spinulosa-like eruption): a cutaneous adverse effect of Hedgehog pathway inhibitors involving expression of p16. J Eur Acad Dermatol Venereol 2017; 31 (04) e182-e184
- Caccetta TP, Dessauvagie B, McCallum D, Kumarasinghe SP. Multiple minute digitate hyperkeratosis: a proposed algorithm for the digitate keratoses. J Am Acad Dermatol 2012; 67 (01) e49-e55
- Ghosn S, Abboud M, Kurban M, Abbas O. Spiny follicular hyperkeratotic papules on the face. JAMA Pediatr 2013; 167 (09) 867-868
- Curman P, Näsman A, Brauner H. Trichodysplasia spinulosa: a comprehensive review of the disease and its treatment. J Eur Acad Dermatol Venereol 2021; 35 (05) 1067-1076
- Coutinho I, Gameiro AR, Gouveia MP, Cardoso JC, Figueiredo A. Multiple minute digitate hyperkeratosis–a peculiar entity. An Bras Dermatol 2015; 90 (3, Suppl 1): 153-155
- Paz C, Querfeld C, Shea CR. Sorafenib-induced eruption resembling pityriasis rubra pilaris. J Am Acad Dermatol 2011; 65 (02) 452-453
- Kong HH, Turner ML. Array of cutaneous adverse effects associated with sorafenib. J Am Acad Dermatol 2009; 61 (02) 360-361
- Pennycook KB, McCready TA. . Keratosis Pilaris. In: StatPearls (online). StatPearls Publishing; 2022. Accessed March 3, 2023 at: http://www.ncbi.nlm.nih.gov/books/NBK546708/
- Brown F, Badri T. Pityriasis Rubra Pilaris. In: StatPearls (online). StatPearls Publishing; 2022. . Accessed March 3, 2023 at: http://www.ncbi.nlm.nih.gov/books/NBK482436/
- Deutsch A, Leboeuf NR, Lacouture ME, McLellan BN. Dermatologic adverse events of systemic anticancer therapies: cytotoxic chemotherapy, targeted therapy, and immunotherapy. Am Soc Clin Oncol Educ Book 2020; 40 (40) 485-500
- Kern F, Niault T, Baccarini M. Ras and Raf pathways in epidermis development and carcinogenesis. Br J Cancer 2011; 104 (02) 229-234
- Lacouture ME, O'Reilly K, Rosen N, Solit DB. Induction of cutaneous squamous cell carcinomas by RAF inhibitors: cause for concern?. J Clin Oncol 2012; 30 (03) 329-330
- Leerunyakul K, Chirasuthat P, Suchonwanit P. A case report of idiopathic follicular hyperkeratotic spicules and literature review. Case Rep Dermatol 2019; 11 (03) 278-285
- Chen JC, Wang JC, Pan YX. et al. Preventive effect of celecoxib in sorafenib-related hand-foot syndrome in hepatocellular carcinoma patients, a single-center, open-label, randomized, controlled clinical phase III trial. Am J Cancer Res 2020; 10 (05) 1467-1476
Address for correspondence
Publication History
Article published online:
12 May 2023
© 2023. The Author(s). This is an open access article published by Thieme under the terms of the Creative Commons Attribution License, permitting unrestricted use, distribution, and reproduction so long as the original work is properly cited. (https://creativecommons.org/licenses/by/4.0/)
Thieme Medical and Scientific Publishers Pvt. Ltd.
A-12, 2nd Floor, Sector 2, Noida-201301 UP, India
| Fig 1 : (A)Skin-colored to whitish, pin-point, spiny follicular hyperkeratotic papules over the (A) eyebrows, (B) scalp, and (C) ears; (D, E, F) Complete clearance of rash following sorafenib dose reduction and topical keratolytic application; (G, H) Hyperkeratotic hand-foot skin reaction involving the pressure points of soles; (I) Fissured scaly plaques over first finger web space bilaterally; (J) Regrowth of curly hair following chemotherapy induced anagen effluvium..
| Figure 2: (A) Orthokeratotic follicular plug, mild superficial dermal edema, perivascular and focal perifollicular lymphohistiocytic infiltrate (hematoxylin and eosin x 100).
References
-
obert C, Mateus C, Spatz A, Wechsler J, Escudier B. Dermatologic symptoms associated with the multikinase inhibitor sorafenib. J Am Acad Dermatol 2009; 60 (02) 299-305
- utier J, Escudier B, Wechsler J, Spatz A, Robert C. Prospective study of the cutaneous adverse effects of sorafenib, a novel multikinase inhibitor. Arch Dermatol 2008; 144 (07) 886-892
- oncas V, Sammour R, Krasny M, Bouffard D, Provost N. A distinct cutaneous reaction to sorafenib and a multikinase inhibitor. Int J Dermatol 2008; 47 (07) 767-769
- opez V, Pinazo I, Marti N, Monteagudo C, Jorda E. Follicular hyperplasia on the face subsequent to therapy with sorafenib. A new skin side effect. J Eur Acad Dermatol Venereol 2009; 23 (08) 959-960
- ranck N, Barete S, Moguelet P. et al. Spiny follicular hyperkeratosis eruption: a new cutaneous adverse effect of sorafenib. J Clin Oncol 2010; 28 (31) e640-e642
- ra M, Pastushenko E. Antiangiogenic Agents and the Skin: Cutaneous Adverse Effects of Sorafenib, Sunitinib, and Bevacizumab. Actas Dermosifiliogr 2014; 105 (10) 900-912
- ee WJ, Lee JL, Chang SE. et al. Cutaneous adverse effects in patients treated with the multitargeted kinase inhibitors sorafenib and sunitinib. Br J Dermatol 2009; 161 (05) 1045-1051
- hang L, Zhou Q, Ma L, Wu Z, Wang Y. Meta-analysis of dermatological toxicities associated with sorafenib. Clin Exp Dermatol 2011; 36 (04) 344-350
- ood and Drug Administration. . NEXAVAR (sorafenib) tablets. Accessed March 3, 2023 at: https://www.accessdata.fda.gov/drugsatfda_docs/label/2020/021923s024lblrpl.pdf
- Boudou-Rouquette P, Ropert S, Mir O. et al. Variability of sorafenib toxicity and exposure over time: a pharmacokinetic/pharmacodynamic analysis. Oncologist 2012; 17 (09) 1204-1212
- Anforth R, Fernandez-Peñas P, Long GV. Cutaneous toxicities of RAF inhibitors. Lancet Oncol 2013; 14 (01) e11-e18
- Nieto Rodríguez D, Gómez Fernández C, Rueda Carnero JM. Facial spiny follicular hyperkeratosis induced by vemurafenib. J Dermatol 2018; 45 (02) e43-e44
- Yanik ME, Erfan G, Albayrak H. et al. Acitretin-induced spiny follicular hyperkeratosis. Cutan Ocul Toxicol 2016; 35 (02) 165-167
- Gutte RM. Adult onset atopic dermatitis with secondary follicular mucinosis with cyclosporine induced spiny follicular hyperkeratosis and hair casts. Indian J Dermatol 2013; 58 (03) 243
- van der Kooi K, Glass LF, Messina JL, Trimble JS. Keratosis pilaris-like eruption observed during the experimental PLX 4032 studies. J Am Acad Dermatol 2012; 67 (06) e286-e287
- López-Lerma I, Ferrer B, Zarzoso I, Hernández-Losa J, García-Patos V. Spiny hyperkeratosis (trichodysplasia spinulosa-like eruption): a cutaneous adverse effect of Hedgehog pathway inhibitors involving expression of p16. J Eur Acad Dermatol Venereol 2017; 31 (04) e182-e184
- Caccetta TP, Dessauvagie B, McCallum D, Kumarasinghe SP. Multiple minute digitate hyperkeratosis: a proposed algorithm for the digitate keratoses. J Am Acad Dermatol 2012; 67 (01) e49-e55
- Ghosn S, Abboud M, Kurban M, Abbas O. Spiny follicular hyperkeratotic papules on the face. JAMA Pediatr 2013; 167 (09) 867-868
- Curman P, Näsman A, Brauner H. Trichodysplasia spinulosa: a comprehensive review of the disease and its treatment. J Eur Acad Dermatol Venereol 2021; 35 (05) 1067-1076
- Coutinho I, Gameiro AR, Gouveia MP, Cardoso JC, Figueiredo A. Multiple minute digitate hyperkeratosis–a peculiar entity. An Bras Dermatol 2015; 90 (3, Suppl 1): 153-155
- Paz C, Querfeld C, Shea CR. Sorafenib-induced eruption resembling pityriasis rubra pilaris. J Am Acad Dermatol 2011; 65 (02) 452-453
- Kong HH, Turner ML. Array of cutaneous adverse effects associated with sorafenib. J Am Acad Dermatol 2009; 61 (02) 360-361
- Pennycook KB, McCready TA. . Keratosis Pilaris. In: StatPearls (online). StatPearls Publishing; 2022. Accessed March 3, 2023 at: http://www.ncbi.nlm.nih.gov/books/NBK546708/
- Brown F, Badri T. Pityriasis Rubra Pilaris. In: StatPearls (online). StatPearls Publishing; 2022. . Accessed March 3, 2023 at: http://www.ncbi.nlm.nih.gov/books/NBK482436/
- Deutsch A, Leboeuf NR, Lacouture ME, McLellan BN. Dermatologic adverse events of systemic anticancer therapies: cytotoxic chemotherapy, targeted therapy, and immunotherapy. Am Soc Clin Oncol Educ Book 2020; 40 (40) 485-500
- Kern F, Niault T, Baccarini M. Ras and Raf pathways in epidermis development and carcinogenesis. Br J Cancer 2011; 104 (02) 229-234
- Lacouture ME, O'Reilly K, Rosen N, Solit DB. Induction of cutaneous squamous cell carcinomas by RAF inhibitors: cause for concern?. J Clin Oncol 2012; 30 (03) 329-330
- Leerunyakul K, Chirasuthat P, Suchonwanit P. A case report of idiopathic follicular hyperkeratotic spicules and literature review. Case Rep Dermatol 2019; 11 (03) 278-285
- Chen JC, Wang JC, Pan YX. et al. Preventive effect of celecoxib in sorafenib-related hand-foot syndrome in hepatocellular carcinoma patients, a single-center, open-label, randomized, controlled clinical phase III trial. Am J Cancer Res 2020; 10 (05) 1467-1476
PDF
Views
Share

