Tamoxifen-Induced Cutaneous Vasculitis—A Rare Case Report with Review of Literature
CC BY 4.0 · Indian J Med Paediatr Oncol 2024; 45(02): 194-198
DOI: DOI: 10.1055/s-0043-1768181
Abstract
Tamoxifen is a selective estrogen receptor modulator and forms the mainstay of endocrine therapy in premenopausal women with breast cancer in both adjuvant and metastatic setting. Common adverse effects are menopausal symptoms with venous thrombosis and endometrial carcinoma being rarer but more sinister complications. Vasculitis is a rarely reported reaction to tamoxifen. We report a case of a 38-year-old woman with locally advanced breast cancer, who received neoadjuvant chemotherapy followed by modified radical mastectomy and adjuvant paclitaxel. She was on maintenance tamoxifen and leuprolide for 3 months, when she presented with pruritic bilateral maculopapular rash over all her limbs, legs more than hands. A skin biopsy from the left lower limb confirmed the diagnosis of vasculitis. Tamoxifen was stopped, and patient was switched to letrozole and leuprolide. She was given antihistamines, antibiotics, fusidic acid, vitamin C, and topical steroids. The lesions resolved completely in 1 month after stoppage of tamoxifen. We report this rare side effect of tamoxifen so that oncologists can effectively diagnose and treat this distressing but reversible condition.
Keywords
tamoxifen-induced vasculitis - breast cancer - endocrine therapy - side effects of tamoxifenAuthors' Contributions
S.J. contributed to conceptualization, designing, definition of intellectual content, manuscript editing, and manuscript review. A.D. helped in literature search, clinical studies, data acquisition, and manuscript preparation.
Patient Consent
Patients consent was taken for use her clinical images and data for publication.
Publication History
Article published online:
08 May 2023
© 2023. The Author(s). This is an open access article published by Thieme under the terms of the Creative Commons Attribution License, permitting unrestricted use, distribution, and reproduction so long as the original work is properly cited. (https://creativecommons.org/licenses/by/4.0/)
Thieme Medical and Scientific Publishers Pvt. Ltd.
A-12, 2nd Floor, Sector 2, Noida-201301 UP, India
Abstract
Tamoxifen is a selective estrogen receptor modulator and forms the mainstay of endocrine therapy in premenopausal women with breast cancer in both adjuvant and metastatic setting. Common adverse effects are menopausal symptoms with venous thrombosis and endometrial carcinoma being rarer but more sinister complications. Vasculitis is a rarely reported reaction to tamoxifen. We report a case of a 38-year-old woman with locally advanced breast cancer, who received neoadjuvant chemotherapy followed by modified radical mastectomy and adjuvant paclitaxel. She was on maintenance tamoxifen and leuprolide for 3 months, when she presented with pruritic bilateral maculopapular rash over all her limbs, legs more than hands. A skin biopsy from the left lower limb confirmed the diagnosis of vasculitis. Tamoxifen was stopped, and patient was switched to letrozole and leuprolide. She was given antihistamines, antibiotics, fusidic acid, vitamin C, and topical steroids. The lesions resolved completely in 1 month after stoppage of tamoxifen. We report this rare side effect of tamoxifen so that oncologists can effectively diagnose and treat this distressing but reversible condition.
Keywords
tamoxifen-induced vasculitis - breast cancer - endocrine therapy - side effects of tamoxifenIntroduction
Tamoxifen is a selective estrogen receptor modulator and has agonistic as well as antagonistic actions on the estrogen receptors (ERs), depending on the organ site. It binds to the ER of the tumor, preventing the binding of estrogen and hence interrupting the tumor proliferation pathways, leading to cell death.[1] It is the backbone of hormonal therapy in premenopausal women in the adjuvant as well as metastatic settings and is one of the landmark discoveries in the treatment of hormone receptor positive breast cancer, providing a significant benefit in disease free and overall survival.[2] [3] [4]
It is usually well tolerated. In addition to antitumor responses, tamoxifen can also exert antiangiogenic effects.[5] The common side effects seen are vasomotor symptoms (hot flushes), vaginal dryness, and menstrual irregularities with venous thrombosis, and endometrial carcinoma being less common. Cutaneous side effects account for 19%-of the patients being treated with tamoxifen, including the vasomotor symptoms, and other less common effects like urticaria, rarely hypersensitivity-type reactions, including angioedema.[4] These are well documented and hence easily recognized by clinicians over the world. However, skin rash in current literature is documented less than 1%,[2] and cutaneous vasculitis is a rare and lesser-known reaction, hence may be overlooked and under treated.
As in most drug-induced vasculitis, there are antibodies produced against the drug molecule, which result in immune complex formation. Cutaneous vasculitis is a small‐vessel hypersensitivity vasculitis, due to the deposition of these immune complexes in the vessel walls and activation of the inflammatory pathways. Typically, it presents as symmetric palpable purpura and affects dependent areas of the body. The clinical manifestation ranges from a mild cutaneous rash to a severe fatal reaction. It is important to recognize the offending agent, as usually discontinuation of tamoxifen leads to a rapid resolution of symptoms.[6] We report a case of a 38-year-old woman presenting with cutaneous vasculitis while on maintenance tamoxifen in the adjuvant setting.
Case Report
A 38-year-old premenopausal lady, with no family history and no comorbidities, presented with locally advanced carcinoma of the left breast, stage cT4bN2aM0. It was an infiltrating ductal carcinoma grade 3, which was hormone receptor positive (ER, progesterone receptor Allred score 8/8) and HER2neu negative. She received neoadjuvant chemotherapy with four cycles of adriamycin and cyclophosphamide, following which she had a modified radical mastectomy. The pathological stage was ypT2 ypN3a. She then received four cycles of paclitaxel, followed by radiation to chest wall and supraclavicular fossa along with which she was started on tamoxifen 20 mg once daily (OD) and leuprolide 11.25 mg once in3 months. Three months later she presented with maculopapular rashes on all four limbs, on her legs more than her hands ([Fig. 1]). This rash was non blanching, erythematous, pruritic, and was not associated with any other systemic or infectious symptoms. Patient had no history of insect bite, or previous allergic reaction or family history of the same. Other causes of cutaneous vasculitis such as antineutrophilic cytoplasmic antibody (ANCA)-associated or autoimmune vasculitis were differential diagnosis; however, patient could not get the perinuclear-ANCA serum test done due to financial constraints. Using the Naranjo scale for causality assessment, this patient scored 6, which indicated a probable adverse drug reaction to tamoxifen.[7] This rash was Common Terminology Criteria for Adverse Events grade 1.
| Fig 1 : (A)Bilateral lower leg showing maculopapular rash.
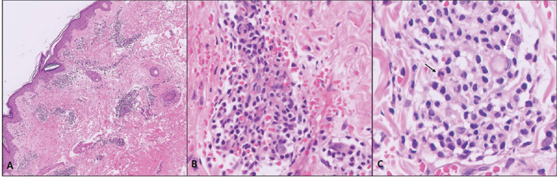
A dermatology opinion was taken, and skin biopsy was done from the left leg, in which perivascular mononuclear inflammation in superficial and deep dermis was found, with red blood cell extravasation and neutrophilic infiltration in the vessel walls. A diagnosis of small vessel vasculitis secondary to tamoxifen was then done ([Fig. 2]). Tamoxifen was stopped, and she was given letrozole 2.5 mg OD along with the ovarian suppression. She was given antihistamines (cetirizine) and fusidic acid for a week, after which she was prescribed halobetasol 0.05%-for topical application, along with vitamin C and moisturizing lotions, for a period of 2weeks. The symptoms resolved completely within 1 month and the patient was continued on letrozole with leuprolide.
| Figure 2: (A) Skin biopsy micorphotographs: (A) Dense perivascular inflammation around upper and mid-dermal vessels (hematoxylin and eosin [H&E] x100); (B) inflammatory infiltrate of lymphocytes, neutrophils, eosinophils, and plasma cells. Red blood cell extravasation with hemosiderin staining (golden brown). Vascular outlines not clear (H&E, x400); (C) vessel wall fibrinoid necrosis (white arrow) and eosinophil (black arrow).
Discussion
Drug-induced vasculitis is a reaction known to occur with many drugs documented in literature. The manifestation may vary, commonly from mild cutaneous vasculitis to rarely, severe systemic vasculitis with organ failure (Stevens-Johnson syndrome). Withdrawal of the drug often leads to resolution, which suggests a reversible pathogenesis. Vasculitis causes inflammation, fibrosis, weakening, and narrowing of the blood vessels. It is often difficult to distinguish between idiopathic and drug-induced vasculitis, but the temporal association with drug intake along with its resolution on withdrawal helps cinch the diagnosis and hence prevent further episodes. It has been noted that a timely withdrawal of the drug leads to complete relief of symptoms, but a delay in diagnosis may lead to persistent symptoms with the need for immunosuppressive agents.[8]
Drug-induced vasculitis may be small vessel, medium vessel, large vessel, or cerebral. Small vessel vasculitis is the most common type, and may be further classified into three types, namely cutaneous leukocytoclastic vasculitis (CLCV), immunoglobulin A (IgA), and ANCA-associated vasculitis. CLCV is the most frequently seen and is associated with drug intake 31%-of the time, mostly with antibiotics and anti-inflammatory drugs. CLCV may be associated with a significant number of patients having a synchronous involvement of internal organs, gastrointestinal tract, renal system, and musculoskeletal system.[9] In one study, nearly half of the patients required immunosuppressive therapy despite stopping the causative drug.[10] Other drugs known to cause CLCV are allopurinol, thiazides, phenytoin, sulfonamides, as well as drugs used in oncology like levamisole and ceritinib.[11] Other small vessel vasculitis (IgA and ANCA associated), as well as medium vessel vasculitis (often seen with tetracyclines, affecting renal and mesenteric vessels) and large vessel vasculitis (reported with bevacizumab and lenograstim, causing aortitis and periaortitis) are extremely rare forms and have only been reported anecdotally.
The pathogenesis of drug-induced cutaneous vasculitis involves immune complex formation and deposition in the cutaneous capillaries. This causes endothelial injury and the beginning of the inflammatory cascade, via activation of the complement system.[10] Due to the scarce available literature on the phenomenon, the exact pathogenesis of tamoxifen-induced vasculitis is not known. ANCA may also play an important role in drug-induced vasculitis, and many studies have established the association between ANCA positive vasculitis and prior drug use. The majority of ANCA-positive vasculitis related to drugs has been associated with perinuclear-ANCA pattern, in which myeloperoxidase is the most frequently related antigen.
Estrogen is agonistic in breast tissue and consequently in malignant breast cells and blood vessels. Tamoxifen blocks this action at the breast tissue level, and hence acts as an antagonist to estrogen. It is the mainstay of hormonal therapy in breast cancer in premenopausal women. It is given to all women with hormone receptor positive tumors due to its excellent tolerability and lower adverse effect profile. It has shown a benefit in adjuvant setting, metastatic setting, and also in preventing recurrence in the ipsilateral as well as contralateral breast. The benefit of extending tamoxifen therapy up to 10 years has been proven in multiple trials,[12] [13] making its extended use more common, and subsequently its side effects with the knowledge of their management, more pertinent.
In our case, cessation of the offending agent along with symptomatic treatment using anti histamines and topical steroids led to a complete resolution of the symptoms within 3 to 4 weeks. Our patient did not require any further treatment or immunosuppressants, and was switched to letrozole along with ovarian suppression therapy, using gonadotropins. Joseph et al found a similar reaction and discontinued the use of tamoxifen too, after which the patient had a rapid resolution of symptoms.[6] Kulkarni et al observed a similar case and used dapsone in the treatment, while the tamoxifen was continued and vasculitis persisted.[14]
The strengths of this approach are that an early diagnosis exists of a rare but curable condition while preventing its complications, by quick and timely identification and intervention. The limitations include the fact that the use of tamoxifen is on a decline worldwide due to the introduction of newer agents, and the use of ovarian suppression with aromatase inhibitors is practiced commonly, for its survival benefit over tamoxifen.
Conclusion
Tamoxifen-induced cutaneous vasculitis is a rare complication manifesting as a simple drug-induced rash. While hot flushes, pruritus, mild rashes, and vaginal dryness are known common side effects of tamoxifen, it is important to distinguish them from cutaneous vasculitis. Prompt diagnosis of this infrequent condition may lead to a timely intervention and avoid immunosuppressants with their associated morbidity and complications in our patients. The intervention is simple, involves cessation of tamoxifen and its replacement with other endocrine therapies. It is, therefore, essential that all oncologists be aware of this ailment and its management.
Conflict of Interest
None declared.
Authors' Contributions
S.J. contributed to conceptualization, designing, definition of intellectual content, manuscript editing, and manuscript review. A.D. helped in literature search, clinical studies, data acquisition, and manuscript preparation.
Patient Consent
Patients consent was taken for use her clinical images and data for publication.
References
-
Lippman ME, Bolan G. Oestrogen-responsive human breast cancer in long term tissue culture. Nature 1975; 256 (5518): 592-593
- Controlled trial of tamoxifen as a single adjuvant agent in the management of early breast cancer. ‘Nolvadex’ Adjuvant Trial Organisation. Br J Cancer 1988; 57 (06) 608-611
- Mamounas EP. NSABP breast cancer clinical trials: recent results and future directions. Clin Med Res 2003; 1 (04) 309-326
- Fisher B, Costantino J, Redmond C. et al. A randomized clinical trial evaluating tamoxifen in the treatment of patients with node-negative breast cancer who have estrogen-receptor-positive tumors. N Engl J Med 1989; 320 (08) 479-484
- Gagliardi A, Collins DC. Inhibition of angiogenesis by antiestrogens. Cancer Res 1993; 53 (03) 533-535
- Joseph K, Taher M, Bigras G, King K. Tamoxifen induced non-purpuric cutaneous leukocytoclastic vasculitis. Breast J 2019; 25 (02) 320-321
- Naranjo CA, Busto U, Sellers EM. et al. A method for estimating the probability of adverse drug reactions. Clin Pharmacol Ther 1981; 30 (02) 239-245
- Radić M, Martinović Kaliterna D, Radić J. Drug-induced vasculitis: a clinical and pathological review. Neth J Med 2012; 70 (01) 12-17
- Misra DP, Patro P, Sharma A. Drug-induced vasculitis. Indian J Rheumatol 2019; 14 (05) 3-9
- Ortiz-Sanjuán F, Blanco R, Hernández JL. et al. Drug-associated cutaneous vasculitis: study of 239 patients from a single referral center. J Rheumatol 2014; 41 (11) 2201-2207
- Okimoto T, Tsubata Y, Hotta T. et al. Successful rechallenge with ceritinib after leukocytoclastic vasculitis during ceritinib treatment for non-small cell lung cancer harboring the EML4-ALK fusion protein. Oncotarget 2018; 9 (28) 20213-20218
- Gray RG, Rea D, Handley K. et al. aTTom: Long-term effects of continuing adjuvant tamoxifen to 10 years versus stopping at 5 years in 6,953 women with early breast cancer. J Clin Oncol 2013; 31 (18, suppl): 5-5
- Davies C, Pan H, Godwin J. et al; Adjuvant Tamoxifen: Longer Against Shorter (ATLAS) Collaborative Group. Long-term effects of continuing adjuvant tamoxifen to 10 years versus stopping at 5 years after diagnosis of oestrogen receptor-positive breast cancer: ATLAS, a randomised trial. [published correction appears in Lancet. 2013 Mar 9;381(9869):804] [published correction appears in Lancet. 2017 May 13;389(10082):1884] (9869): Lancet 2013; 381: 805-816
- Kulkarni U, Nayak V, Prabhu MM, Rao R. Tamoxifen-induced vasculitis. J Oncol Pharm Pract 2020; 26 (03) 735-737
Address for correspondence
Publication History
Article published online:
08 May 2023
© 2023. The Author(s). This is an open access article published by Thieme under the terms of the Creative Commons Attribution License, permitting unrestricted use, distribution, and reproduction so long as the original work is properly cited. (https://creativecommons.org/licenses/by/4.0/)
Thieme Medical and Scientific Publishers Pvt. Ltd.
A-12, 2nd Floor, Sector 2, Noida-201301 UP, India
| Fig 1 : (A)Bilateral lower leg showing maculopapular rash.
| Figure 2: (A) Skin biopsy micorphotographs: (A) Dense perivascular inflammation around upper and mid-dermal vessels (hematoxylin and eosin [H&E] x100); (B) inflammatory infiltrate of lymphocytes, neutrophils, eosinophils, and plasma cells. Red blood cell extravasation with hemosiderin staining (golden brown). Vascular outlines not clear (H&E, x400); (C) vessel wall fibrinoid necrosis (white arrow) and eosinophil (black arrow).
References
-
Lippman ME, Bolan G. Oestrogen-responsive human breast cancer in long term tissue culture. Nature 1975; 256 (5518): 592-593
- Controlled trial of tamoxifen as a single adjuvant agent in the management of early breast cancer. ‘Nolvadex’ Adjuvant Trial Organisation. Br J Cancer 1988; 57 (06) 608-611
- Mamounas EP. NSABP breast cancer clinical trials: recent results and future directions. Clin Med Res 2003; 1 (04) 309-326
- Fisher B, Costantino J, Redmond C. et al. A randomized clinical trial evaluating tamoxifen in the treatment of patients with node-negative breast cancer who have estrogen-receptor-positive tumors. N Engl J Med 1989; 320 (08) 479-484
- Gagliardi A, Collins DC. Inhibition of angiogenesis by antiestrogens. Cancer Res 1993; 53 (03) 533-535
- Joseph K, Taher M, Bigras G, King K. Tamoxifen induced non-purpuric cutaneous leukocytoclastic vasculitis. Breast J 2019; 25 (02) 320-321
- Naranjo CA, Busto U, Sellers EM. et al. A method for estimating the probability of adverse drug reactions. Clin Pharmacol Ther 1981; 30 (02) 239-245
- Radić M, Martinović Kaliterna D, Radić J. Drug-induced vasculitis: a clinical and pathological review. Neth J Med 2012; 70 (01) 12-17
- Misra DP, Patro P, Sharma A. Drug-induced vasculitis. Indian J Rheumatol 2019; 14 (05) 3-9
- Ortiz-Sanjuán F, Blanco R, Hernández JL. et al. Drug-associated cutaneous vasculitis: study of 239 patients from a single referral center. J Rheumatol 2014; 41 (11) 2201-2207
- Okimoto T, Tsubata Y, Hotta T. et al. Successful rechallenge with ceritinib after leukocytoclastic vasculitis during ceritinib treatment for non-small cell lung cancer harboring the EML4-ALK fusion protein. Oncotarget 2018; 9 (28) 20213-20218
- Gray RG, Rea D, Handley K. et al. aTTom: Long-term effects of continuing adjuvant tamoxifen to 10 years versus stopping at 5 years in 6,953 women with early breast cancer. J Clin Oncol 2013; 31 (18, suppl): 5-5
- Davies C, Pan H, Godwin J. et al; Adjuvant Tamoxifen: Longer Against Shorter (ATLAS) Collaborative Group. Long-term effects of continuing adjuvant tamoxifen to 10 years versus stopping at 5 years after diagnosis of oestrogen receptor-positive breast cancer: ATLAS, a randomised trial. [published correction appears in Lancet. 2013 Mar 9;381(9869):804] [published correction appears in Lancet. 2017 May 13;389(10082):1884] (9869): Lancet 2013; 381: 805-816
- Kulkarni U, Nayak V, Prabhu MM, Rao R. Tamoxifen-induced vasculitis. J Oncol Pharm Pract 2020; 26 (03) 735-737
PDF
Views
Share

