TP53 Mutations R175H and R249S Are Rare in Indian Head and Neck Cancer Patients
CC BY 4.0 · Indian J Med Paediatr Oncol 2024; 45(01): 074-079
DOI: DOI: 10.1055/s-0043-1774776
Abstract
Introduction Mutations in tumor suppressor gene TP53 are considered as one of the main causes for different types of cancer. Head and neck squamous cell carcinoma (HNSCC) is one of the common cancers found in India. Among the several mutations reported in the TP53 gene, R175H and R249S are linked to cause of several cancers. This work was carried out to study the prevalence of R175H and R249S mutations in HNSCC patients of Indian origin.
Method Tumor samples were collected from 50 HNSCC patients and good quality genomic deoxyribonucleic acid (DNA) were obtained from 41 samples. Using this genomic DNA, polymerase chain reaction-linked restriction fragment length polymorphism technique was used to screen both the mutations in the TP53 gene of the patients.
Result The results revealed that out of the 41 samples analyzed, all the samples were negative for the mutations both in homozygous and heterozygous condition. This experiment was repeated three times, and the representative image is shown.
Conclusion This study suggests that mutations in codon 175 (R175H) and 249 (R249S) are rare in HNSCC patients of Indian origin.
Keywords
head and neck cancer - mutations - TP53 - polymerase chain reaction coupled restriction fragment length polymorphism - R175H - R249SNote
The manuscript has been read and approved by all authors, and the requirement of authorship has been met by each author. Each author believes that the manuscript represent honest work.
Publication History
Article published online:
22 September 2023
© 2023. The Author(s). This is an open access article published by Thieme under the terms of the Creative Commons Attribution License, permitting unrestricted use, distribution, and reproduction so long as the original work is properly cited. (https://creativecommons.org/licenses/by/4.0/)
Thieme Medical and Scientific Publishers Pvt. Ltd.
A-12, 2nd Floor, Sector 2, Noida-201301 UP, India
Abstract
Introduction Mutations in tumor suppressor gene TP53 are considered as one of the main causes for different types of cancer. Head and neck squamous cell carcinoma (HNSCC) is one of the common cancers found in India. Among the several mutations reported in the TP53 gene, R175H and R249S are linked to cause of several cancers. This work was carried out to study the prevalence of R175H and R249S mutations in HNSCC patients of Indian origin.
Method Tumor samples were collected from 50 HNSCC patients and good quality genomic deoxyribonucleic acid (DNA) were obtained from 41 samples. Using this genomic DNA, polymerase chain reaction-linked restriction fragment length polymorphism technique was used to screen both the mutations in the TP53 gene of the patients.
Result The results revealed that out of the 41 samples analyzed, all the samples were negative for the mutations both in homozygous and heterozygous condition. This experiment was repeated three times, and the representative image is shown.
Conclusion This study suggests that mutations in codon 175 (R175H) and 249 (R249S) are rare in HNSCC patients of Indian origin.
Keywords
head and neck cancer - mutations - TP53 - polymerase chain reaction coupled restriction fragment length polymorphism - R175H - R249SIntroduction
TP53 is a tumor suppressor gene which protects the genome from mutations and prevents proliferation of mutated cell in the organism by inducing apoptosis in the mutated cell there by preventing cancer.[1] Mutations in the TP53 gene are implicated in etiopathogenesis of many cancers.[2] TP53 mutations were widely seen in different type of cancers such as brain, breast, colon, lungs, ovaries, esophagus,[3] and head and neck squamous cell carcinoma (HNSCC).[1]
Polymerase chain reaction-linked restriction fragment length polymorphism (PCR-RFLP) is a rapid and cost-effective method for screening mutations/variants of a gene. This technique was used to screen for two different hotspot mutations in the TP53 gene of head and neck cancer (HNC) patients.
Among the different cancers, HNSCC is the sixth most common cancer reported in the world. Each year, almost 6 lakh cases of HNSCC are reported, out of which 3.5 lakh patients are reported to die.[4] The anatomical occurrences of HNSCC include sites in the head and neck region such as the larynx, oral cavity, pharynx, nose/paranasal sinuses, oropharynx, etc.[1]
The cause of HNSCC is mainly due to cultural or habitual related risk factors.
Smoking, alcohol consumption, betel nut chewing, human papillomavirus infections due to unnatural sexual practices, etc. are the risk factors associated with HNSCC. Other minor causes include exposure to carcinogens, irradiations, diet, genetic disposition, and immunodeficiency.[1]
Since TP53 mutations are considered to be one of the major causes of cancer, and it has been reported that in HNSCC, incidences of mutation in TP53 ranges from 30 to 70%[1], in this study, we investigated the prevalence codon 175 mutation present in exon 5[5] and codon 249 mutation present in exon 7 of the TP53 gene of Indian HNSCC patients.[6]
p53 protein consists of (1) N-terminal transcriptional activation domain, (2) central deoxyribonucleic acid (DNA) binding domain, (3) tetramerization domain, and (4) C-terminal regulatory domain.[2] Some of the mutations like frameshift, nonsense, and missense mutations are reported in different types of cancers; it has been observed that 90%-of these mutations occur in the DNA binding domain of TP53, of which majority are missense mutations.[7] Among the missense mutations, R175, V157, Y220, G245, R248, R249, R273, and R282 are considered as hotspot mutations.[8]
In HNSCC, most of the TP53 mutations are reported in “hotspots” located between the exons 5 to 8.[9] In HNSCC, R273, R248, G245, R175, R282, and H179[1] are some of the reported mutations in TP53 and the distribution tends to vary depending on geographical locations and ethnicity.
Codon 175 and 249 are hotspot sites for mutation in the TP53 gene, the codons are present in the DNA sequences that encode DNA binding domain of the protein, though these amino acids are not in direct contact with DNA, but these mutations alter the architecture of DNA binding domain and also affect the composition of interacting proteins which make the variant TP53 protein oncogenic.[1]
Transition from G > A in codon 175 leads to the substitution of histidine to arginine (R175H) and this mutation is the most prevalent in the TP53 gene among other mutations, found in several cancers and causes impairment of the protein's biological and biochemical functions.[5] R175 mutation is also associated with chemoresistance of cancer cells.[5] Transition from G > T in codon 249 leads to the substitution of arginine to serine (R249S), this is also another common and frequent mutations in the TP53 gene found in cancer, especially in certain regions of China and South Africa. [10] R249S mutation is known to induce transition of G0 to G1 or M to G1 during cell cycle.[6] It is also observed that this mutation occurs largely in hepatocellular carcinoma that too in particular is associated with aflatoxin toxicity .[11]
In the present study, PCR-RFLP was used to examine mutations in codon R175H and R249S in the TP53 gene of Indian HNSCC patients.
Materials and Methods
Patients and Specimens
All the tumor samples were excised surgically from HNC patients and transported to the lab under frozen conditions. All the patient data were followed up, and an informed consent was obtained from all individuals who participated in the study. The institute's human ethical committee approved the study (IEC/IRB No: IECH/2013/Dec18-006). Patients from different states of India, such as Tamil Nadu, Pondicherry, West Bengal, Manipur, and Andhra Pradesh, were included in the study and the study was carried out in accordance with the ethical standards laid down by 1964 Declaration of Helsinki and its later amendments.
DNA Extraction
The tumor tissues were processed by grinding the fresh samples using mortar and pestle in the presence of liquid nitrogen. The tissues were digested in individual tubes containing 1 mL of buffer (6 M NaCl, 100 mM ethylenediaminetetraacetic acid, 10 mM Tris, 0.6%-sodium dodecyl sulfate) and proteinase K (20 mg/mL) overnight at 45°C. After digestion, 227 μL of 6 M NaCl was added to precipitate the DNA. The insoluble components were pelleted down by centrifuging the tubes at 12,000 revolutions per minute (rpm) for 10 minutes. The pellet was discarded and supernatant was transferred into a fresh microfuge tube. The genomic DNA was precipitated by adding equal volume of 100%-ethanol and the precipitated DNA was pelleted by centrifuging tubes at 12,000 rpm for 10 minutes. The supernatant was discarded and DNA pellet was washed with 70%-ethanol and air-dried. The DNA was suspended in 40 to 100 μL of sterile distilled water. The DNA quantity was measured using the NanoDrop instrument (Thermo Fisher Scientific) and the quality of the DNA was tested on agarose gel electrophoresis and visualized under ultraviolet (UV) light in a gel documentation system (Axygen). Control sample testing was not done as we only tested genotyping of genomic DNA isolated from tumor samples.
PCR-RFLP
Using specific set of primers, a 214-base pair (bp) PCR product (for codon 175) and 236-bp PCR product (for codon 249) was PCR amplified using each patient's genomic DNA as template. The primer sequence and PCR conditions used for both the codons are as follows:
Codon 175 forward primer was CACTTGTGCCCTGACTTTCAAC and reverse primer was GCGCTCATGGTGGGGG. The annealing temperature used was 60.1°C. Codon 249 forward primer sequence was CTTGCCACAGGTCTCCCCAA and reverse primer used was AGGGGTCAGCGGCAAGCAGA. The annealing temperature for PCR was 65.1°C. A 50-μL of PCR reaction mixture was made consisting of 5 μL of 10× buffer, 2 μL each primers of 100 μM concentration, 2 μL of deoxynucleotide triphosphate (dNTP) (2.5 mM each dNTP), 0.35 μL of Taq polymerase (3 units/μl) (Genei, India), 0.5 μL of dimethyl sulfoxide, 1 μL of DNA sample (50 ng/μL), and 37.15 μL of sterile water. After PCR, all the PCR products were separated on a 2.5%-agarose gel, and the DNA bands were visualized under the UV light and documented using a gel documentation system (Axygen). For screening of R175H mutation, the 214-bp PCR products were digested with HhaI restriction enzyme (Thermo Fisher Scientific), and for screening of R249S mutation, the 236-bp PCR products were digested with HaeIII restriction enzyme (Thermo Fisher Scientific). The restriction-digested PCR products were separated on a 5%-gel (for R249S) or 10%-polyacrylamide gel electrophoresis (PAGE) gel (for R175H) and the banding patterns of each sample were visualized and documented. This PCR-RFLP method was standardized.
Primary and Secondary Outcome
The primary outcome was the detection of mutation in the TP53 gene in the codon 175 and 249. Secondary outcome was to correlate the mutational status to HNC patient's disease progression and response to treatment.
Exclusion and Inclusion Criteria
Inclusion criteria of the patients for the study include:
● Patients with nonnasopharyngeal HNC such as cancers of the oral cavity, oropharyngeal and laryngeal origin.
● Patients with biopsy-proven squamous cell cancer and undergoing radical intent treatment with either surgery or radical radiation therapy (concomitant chemoradiation therapy).
● Patients with potentially curable diseases from stage I to IVA.
● Patients who consent to be a part of the study as well as follow-up.
Exclusion criteria of the patients for the study include:
● Patients with thyroid or nasopharyngeal cancer.
● Patients with metastatic disease in any visceral organ (lung, liver, and bone).
● Patients with history of previous malignancies or previously treated with radiation or chemotherapy.
● Patients with poor performance status (Karnofsky Performance Scale < 70) and expected survival less than 6 months.
● There was no age cutoff. The Li–Fraumeni syndrome was not included.
Statistical Analysis
All the samples were analyzed at least three times and the images represent the best presentable image. Since there were no mutations detected, overall survival and progression-free survival were not calculated.
Ethics Committee
The institute's human ethical committee approved the study (IEC/IRB No:
IECH/2013/Dec18-006). All the patients were Indians hailing from different parts of the country such as Tamil Nadu, West Bengal, Andhra Pradesh, Manipur, and Pondicherry. All procedures performed in studies involving human participants were in accordance with the ethical standards of the institutional and/or national research committee and with the 1964 Helsinki Declaration and its later amendments or comparable ethical standards.
Results
Screening of R175H Mutation
At codon 175 CGC (R) is mutated to CAC (H), this change in the mutation is recognized by the restriction enzyme HhaI (recognition sequence: GCGC). The 214-bp PCR product consists of three restriction sites for HhaI, digestion of the PCR product with enzyme creates four fragments (146, 49, 18, and 1 bp). Presence of R175H mutation in the PCR product abolishes a restriction site leading to the production of three fragments instead of four (146, 67, and 1 bp) which can be detected on 10%-PAGE. As can be seen in [Fig. 1], out of 41 samples screened, all the samples produced 146, 49, 18, and 1 bp product, out of which we are able to see 146 and 49 bp product on the gel and the other products (18 and 1 bp products) are too small to see them on gel.[12]
| Fig 1 :Screening of Tp53 gene R175H. Polymerase chain reaction (PCR) product from genomic deoxyribonucleic acid (DNA) was digested with HhaI enzyme and separated in 10%-polyacrylamide gel electrophoresis (PAGE). All samples show only 146 and 49 base pair (bp) bands (18 and 1 bp too small to be visualized). A 50-bp ladder is used as reference.
Screening of R249S Mutation
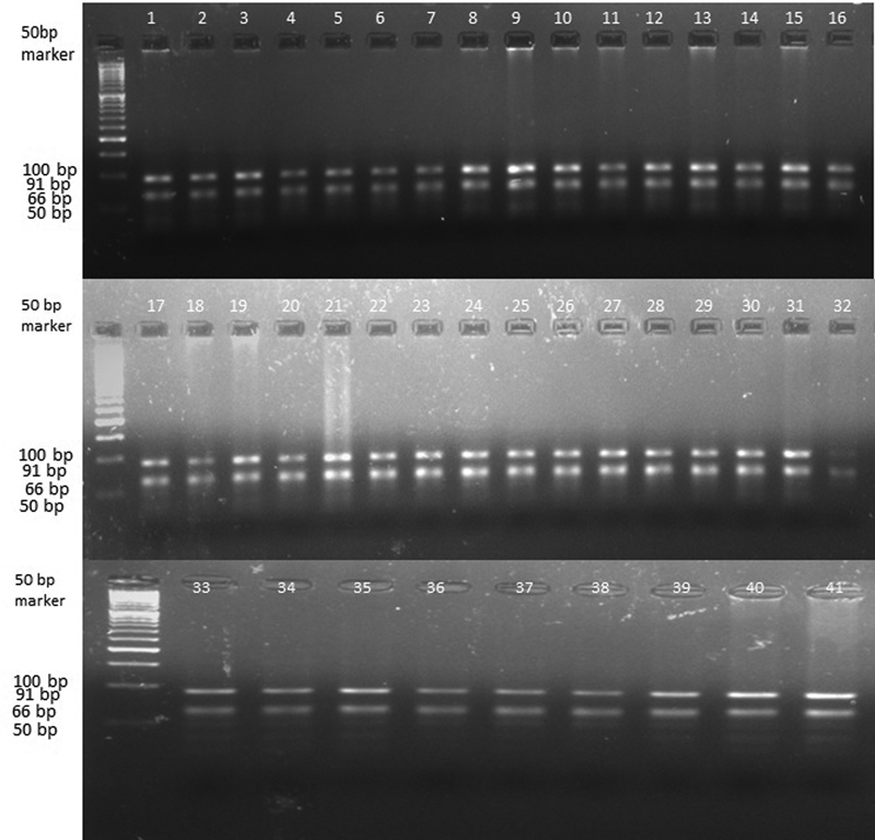
At codon 249 AGG (R) is mutated to AGT (S), this change in base sequence is recognized by the HaeIII enzyme (recognition sequence: GGCC). The 236-bp PCR product consists of four restriction sites for HaeIII, digestion of the PCR product with enzyme creates five fragments (91, 66, 37, 30, and 12 bp). The wild-type PCR product is cut into 91, 66, 37, 30, and 12 bp. In R249S mutation, one recognition site is abolished (AGG to AGT) resulting in the production of four fragments of sizes 157, 37, 30, and 12 bp. As seen in [Fig. 2] in all the samples, only 91 and 66 bp products are seen on 5%-agarose gel (37, 30, and 12 are not clearly visible due to their lower size), and none of the samples produced 157 bp product, suggesting that all the samples are wild-type without either heterozygous or homozygous mutation.[6]
| Figure 2:Screening of Tp53 gene R249S. Polymerase chain reaction (PCR) product from genomic deoxyribonucleic acid (DNA) was digested with HaeIII enzyme and separated in 5%-agarose gel. All samples show only 91 and 66 base pair (bp) bands (37, 30, and 12 bp too small to be visualized). A 50-bp ladder was used as reference.
Discussion
Genetic alterations in specific signaling pathways, including those of the TP53 gene, play an important role in cancer progression. Analysis of these changes in cancer patients helps us to correlate the role of mutations to cause, response to treatment, severity of the disease, and designing treatment protocols. Our laboratory has been interested in the identification of mutations in various genes of HNSCC patients of Indian origin.[13] [14] [15] [16] Since the TP53 gene is one of the most commonly mutated genes in cancer, this study was directed to screen for commonly occurring mutations in the HNSCC patients of Indian origin. In relation to this, our previous study revealed that one of the common mutations in the TP53 gene, R248W, is rare in these patients. In order to further identify other common mutations in the TP53 gene in this cohort, we have examined for two other hotspot mutations R175H and R249S in this gene.
PCR-RFLP is one of the widely used and reliable techniques to screen for mutations in genomic DNA; using this technique, screening of 41 HNSCC patients for TP53 R175H and R249S mutations did not reveal any such mutations, suggesting that these mutations are rare in these patients. Other studies done around the world involving the screening of HNSCC patients for TP53 R175 and R249S also suggested that these mutations were absent or rare. For example, studies done in countries like the United Kingdom,[10] Sweden,[17] and the United States[18] showed these two mutation were absent among their population. Whereas screening of these two mutations in Asian countries like Iran (R249S, 8.3%)[19] and Taiwan (R175H, 2.0%)[20] also shows these mutations have low prevalence among HNSCC patients.
Two studies in Indian population cohort show that these two mutations are almost absent in their study sample. One study done by Vora et al[9] showed 0%-of these two mutations (n = 49). Another study done by Saranath et al[21] showed R175H mutation in 2.4%-and no R249S mutation in their samples (n = 83).
The genome makeup and hence the distribution of mutations also depends upon the geographical location as well as ethnicity.
Taking altogether, it is evident that mutations at these two codons of TP53 are not regular and thus may not be considered for prognosis in HNSCC patients.
As it is generally accepted that cancers are caused due to activating mutations in oncogenes and inactivating mutations in tumor suppressor genes, with respect to the cohort of HNSCC patients included in this study, our previous observations suggest that more than 90%-of patients either carried homozygous or heterozygous activating mutations in B-Raf and Ras G12A, suggesting that activating mutations in oncogenes could be a molecular mechanism behind the cause of HNSCC.[13] [16] More studies are progressing in our lab to further get an insight into the cause of HNSCC.
Though PCR-RFLP provides rapid and easy way to screen for gene variants/mutations, this technique focuses only in the restriction enzyme recognition sequences. While using Sanger's method of DNA sequencing would have provided more information about other mutations in the TP53 gene of the patients, use of next-generation DNA sequencing technique would have provided global mutations in the whole genome of the patients. Also, we could not check this mutation in heavily pretreated or progressive HNSCC as the sampling of this study was completed and more than 70%-of patients in the cohort are dead. Hence, it was not possible to check further.
Conclusion
In order to understand the contribution of R175 and R249 TP53 mutations in Indian HNC patients, prevalence of these mutations in the cohort was screened by PCR-RFLP, the results reveal that these mutations are rare in these patients and they may not have any role in the cause of cancer.
Conflict of Interest
None declared.
Acknowledgment
The authors acknowledge Dr. Debnarayan Dutta, Apollo Hospital Chennai, for his valuable support for this study.
Note
The manuscript has been read and approved by all authors, and the requirement of authorship has been met by each author. Each author believes that the manuscript represent honest work.
References
- Zhou G, Liu Z, Myers JN. TP53 mutations in head and neck squamous cell carcinoma and their impact on disease progression and treatment response. J Cell Biochem 2016; 117 (12) 2682-2692
- Harms KL, Chen X. The functional domains in p53 family proteins exhibit both common and distinct properties. Cell Death Differ 2006; 13 (06) 890-897
- Higginson J, Muir CS, Munoz N. Human cancer. Eur J Cancer Prev 1993; 2 (03) 285
- Siegel RL, Miller KD, Jemal A. Cancer statistics, 2020. CA Cancer J Clin 2020; 70 (01) 7-30
- Chiang YT, Chien YC, Lin YH, Wu HH, Lee DF, Yu YL. The function of the mutant p53-r175h in cancer. Cancers (Basel) 2021; 13 (16) 1-18
- Mohamadkhani A, Naderi E, Sharafkhah M, Fazli HR, Moradzadeh M, Pourshams A. Detection of TP53 R249 mutation in Iranian patients with pancreatic cancer. J Oncol 2013; 2013: 738915
- Olivier M, Hollstein M, Hainaut P. TP53 mutations in human cancers: origins, consequences, and clinical use. Cold Spring Harb Perspect Biol 2010; 2 (01) a001008
- Leroy B, Anderson M, Soussi T. TP53 mutations in human cancer: database reassessment and prospects for the next decade. Hum Mutat 2014; 35 (06) 672-688
- Vora HH, Mehta SV, Shukla SN, Shah PM. No mutation detected in five hot spot codons of the TP53 gene by restriction site mutation analysis in patients with carcinoma of the tongue. Int J Biol Markers 2010; 25 (01) 46-51
- Field J, Malliri A, Jones A, Spandidos D. Mutations in the P53 gene at codon 249 are rare in squamous-cell carcinoma of the head and neck. Int J Oncol 1992; 1 (03) 253-256
- Kirk GD, Lesi OA, Mendy M. et al. 249(ser) TP53 mutation in plasma DNA, hepatitis B viral infection, and risk of hepatocellular carcinoma. Oncogene 2005; 24 (38) 5858-5867
- Nigam P, Misra U, Negi TS, Mittal B, Choudhuri G. Alterations of p53 gene in gallbladder cancer patients of North India. Trop Gastroenterol 2010; 31 (02) 96-100
- Gauthaman A, Moorthy A. Prevalence of K-ras codon 12 mutations in Indian patients with head and neck cancer. Indian J Clin Biochem 2021; 36 (03) 370-374
- Gauthaman A, Moorthy A. R248W mutations in p53 gene are rare among Indian patients with head-and-neck cancer. Indian J Med Paediatr Oncol 2020; 41 (04) 519-522
- Dutta D, Abarna R, Shubham M. et al. Effect of Arg399Gln single-nucleotide polymorphism in XRCC1 gene on survival rate of Indian squamous cell head-and-neck cancer patients. J Cancer Res Ther 2020; 16 (03) 551-558
- Gauthaman A, Moorthy A. High incidence of BRAF V600 mutation in Indian patients with head and neck cancer. Front Biosci (Elite Ed) 2018; 10 (03) 520-527
- Mineta H, Borg A, Dictor M, Wahlberg P, Akervall J, Wennerberg J. p53 mutation, but not p53 overexpression, correlates with survival in head and neck squamous cell carcinoma. Br J Cancer 1998; 78 (08) 1084-1090
- Xu J, Gimenez-Conti IB, Cunningham JE. et al. Alterations of p53, cyclin D1, Rb, and H-ras in human oral carcinomas related to tobacco use. Cancer 1998; 83 (02) 204-212
- Rogha M, Berjis N, Lajevardi SM, Alamdaran M, Hashemi SM. Identification of R249 mutation in P53 gene in tumoral tissue of tongue cancer. Int J Prev Med 2019; 10: 129
- Wong YK, Liu TY, Chang KW. et al. p53 alterations in betel quid- and tobacco-associated oral squamous cell carcinomas from Taiwan. J Oral Pathol Med 1998; 27 (06) 243-248
- Saranath D, Tandle AT, Teni TR. et al. P53 inactivation in chewing tobacco-induced oral cancers and leukoplakias from India. Oral Oncol 1999; 35 (03) 242-250
Address for correspondence
Publication History
Article published online:
22 September 2023
© 2023. The Author(s). This is an open access article published by Thieme under the terms of the Creative Commons Attribution License, permitting unrestricted use, distribution, and reproduction so long as the original work is properly cited. (https://creativecommons.org/licenses/by/4.0/)
Thieme Medical and Scientific Publishers Pvt. Ltd.
A-12, 2nd Floor, Sector 2, Noida-201301 UP, India
| Fig 1 :Screening of Tp53 gene R175H. Polymerase chain reaction (PCR) product from genomic deoxyribonucleic acid (DNA) was digested with HhaI enzyme and separated in 10% polyacrylamide gel electrophoresis (PAGE). All samples show only 146 and 49 base pair (bp) bands (18 and 1 bp too small to be visualized). A 50-bp ladder is used as reference.
| Figure 2:Screening of Tp53 gene R249S. Polymerase chain reaction (PCR) product from genomic deoxyribonucleic acid (DNA) was digested with HaeIII enzyme and separated in 5% agarose gel. All samples show only 91 and 66 base pair (bp) bands (37, 30, and 12 bp too small to be visualized). A 50-bp ladder was used as reference.
References
- Zhou G, Liu Z, Myers JN. TP53 mutations in head and neck squamous cell carcinoma and their impact on disease progression and treatment response. J Cell Biochem 2016; 117 (12) 2682-2692
- Harms KL, Chen X. The functional domains in p53 family proteins exhibit both common and distinct properties. Cell Death Differ 2006; 13 (06) 890-897
- Higginson J, Muir CS, Munoz N. Human cancer. Eur J Cancer Prev 1993; 2 (03) 285
- Siegel RL, Miller KD, Jemal A. Cancer statistics, 2020. CA Cancer J Clin 2020; 70 (01) 7-30
- Chiang YT, Chien YC, Lin YH, Wu HH, Lee DF, Yu YL. The function of the mutant p53-r175h in cancer. Cancers (Basel) 2021; 13 (16) 1-18
- Mohamadkhani A, Naderi E, Sharafkhah M, Fazli HR, Moradzadeh M, Pourshams A. Detection of TP53 R249 mutation in Iranian patients with pancreatic cancer. J Oncol 2013; 2013: 738915
- Olivier M, Hollstein M, Hainaut P. TP53 mutations in human cancers: origins, consequences, and clinical use. Cold Spring Harb Perspect Biol 2010; 2 (01) a001008
- Leroy B, Anderson M, Soussi T. TP53 mutations in human cancer: database reassessment and prospects for the next decade. Hum Mutat 2014; 35 (06) 672-688
- Vora HH, Mehta SV, Shukla SN, Shah PM. No mutation detected in five hot spot codons of the TP53 gene by restriction site mutation analysis in patients with carcinoma of the tongue. Int J Biol Markers 2010; 25 (01) 46-51
- Field J, Malliri A, Jones A, Spandidos D. Mutations in the P53 gene at codon 249 are rare in squamous-cell carcinoma of the head and neck. Int J Oncol 1992; 1 (03) 253-256
- Kirk GD, Lesi OA, Mendy M. et al. 249(ser) TP53 mutation in plasma DNA, hepatitis B viral infection, and risk of hepatocellular carcinoma. Oncogene 2005; 24 (38) 5858-5867
- Nigam P, Misra U, Negi TS, Mittal B, Choudhuri G. Alterations of p53 gene in gallbladder cancer patients of North India. Trop Gastroenterol 2010; 31 (02) 96-100
- Gauthaman A, Moorthy A. Prevalence of K-ras codon 12 mutations in Indian patients with head and neck cancer. Indian J Clin Biochem 2021; 36 (03) 370-374
- Gauthaman A, Moorthy A. R248W mutations in p53 gene are rare among Indian patients with head-and-neck cancer. Indian J Med Paediatr Oncol 2020; 41 (04) 519-522
- Dutta D, Abarna R, Shubham M. et al. Effect of Arg399Gln single-nucleotide polymorphism in XRCC1 gene on survival rate of Indian squamous cell head-and-neck cancer patients. J Cancer Res Ther 2020; 16 (03) 551-558
- Gauthaman A, Moorthy A. High incidence of BRAF V600 mutation in Indian patients with head and neck cancer. Front Biosci (Elite Ed) 2018; 10 (03) 520-527
- Mineta H, Borg A, Dictor M, Wahlberg P, Akervall J, Wennerberg J. p53 mutation, but not p53 overexpression, correlates with survival in head and neck squamous cell carcinoma. Br J Cancer 1998; 78 (08) 1084-1090
- Xu J, Gimenez-Conti IB, Cunningham JE. et al. Alterations of p53, cyclin D1, Rb, and H-ras in human oral carcinomas related to tobacco use. Cancer 1998; 83 (02) 204-212
- Rogha M, Berjis N, Lajevardi SM, Alamdaran M, Hashemi SM. Identification of R249 mutation in P53 gene in tumoral tissue of tongue cancer. Int J Prev Med 2019; 10: 129
- Wong YK, Liu TY, Chang KW. et al. p53 alterations in betel quid- and tobacco-associated oral squamous cell carcinomas from Taiwan. J Oral Pathol Med 1998; 27 (06) 243-248
- Saranath D, Tandle AT, Teni TR. et al. P53 inactivation in chewing tobacco-induced oral cancers and leukoplakias from India. Oral Oncol 1999; 35 (03) 242-250
PDF
Views
Share

