Transitional Cell Carcinoma of Lacrimal Sac Presenting as a Massive Swelling and Dacryohemorrhea
CC BY-NC-ND 4.0 · Indian J Med Paediatr Oncol 2019; 40(03): 447-450
DOI: DOI: 10.4103/ijmpo.ijmpo_154_17
Abstract
Transitional cell carcinomas (TCCs) of lacrimal sac are extremely uncommon neoplasms with high degree of invasiveness, local recurrence, and distant metastasis despite an aggressive treatment. They generally present with epiphora and lacrimal mass lesion but rarely dacryohemorrhea or bloody tears. We hereby report a 50-year-old female who presented with complaints of epiphora, blood in tears, and a progressive swelling measuring 8 cm × 5 cm over left lacrimal sac site. Biopsy from the swelling revealed TCC of lacrimal sac. Radiographic imaging showed a localized mass lesion lacrimal sac eroding adjacent structures, left orbital extension, and left cervical lymphadenopathy without any intracranial extension or distant metastasis. She underwent wide local excision of the primary lesion with left orbital exenteration, left partial maxillectomy, left anterior ethmoidectomy, and left forehead flap reconstruction followed by adjuvant conformal radiotherapy to local site to a dose of 60 Gy and ipsilateral neck to 50 Gy. Combined modality therapy showed satisfactory cosmesis and overall improved functionality on her first review at 6 weeks, however she lost to further follow-up. A thorough review of literature reveals that our case may be one of the largest TCC of lacrimal sac ever reported and the third case to present with dacryohemorrhea in world literature till date.
Publication History
Received: 18 August 2017
Accepted: 18 April 2018
Article published online:
03 June 2021
© 2019. Indian Society of Medical and Paediatric Oncology. This is an open access article published by Thieme under the terms of the Creative Commons Attribution-NonDerivative-NonCommercial-License, permitting copying and reproduction so long as the original work is given appropriate credit. Contents may not be used for commercial purposes, or adapted, remixed, transformed or built upon. (https://creativecommons.org/licenses/by-nc-nd/4.0/).
Thieme Medical and Scientific Publishers Pvt. Ltd.
A-12, 2nd Floor, Sector 2, Noida-201301 UP, India
Abstract
Transitional cell carcinomas (TCCs) of lacrimal sac are extremely uncommon neoplasms with high degree of invasiveness, local recurrence, and distant metastasis despite an aggressive treatment. They generally present with epiphora and lacrimal mass lesion but rarely dacryohemorrhea or bloody tears. We hereby report a 50-year-old female who presented with complaints of epiphora, blood in tears, and a progressive swelling measuring 8 cm × 5 cm over left lacrimal sac site. Biopsy from the swelling revealed TCC of lacrimal sac. Radiographic imaging showed a localized mass lesion lacrimal sac eroding adjacent structures, left orbital extension, and left cervical lymphadenopathy without any intracranial extension or distant metastasis. She underwent wide local excision of the primary lesion with left orbital exenteration, left partial maxillectomy, left anterior ethmoidectomy, and left forehead flap reconstruction followed by adjuvant conformal radiotherapy to local site to a dose of 60 Gy and ipsilateral neck to 50 Gy. Combined modality therapy showed satisfactory cosmesis and overall improved functionality on her first review at 6 weeks, however she lost to further follow-up. A thorough review of literature reveals that our case may be one of the largest TCC of lacrimal sac ever reported and the third case to present with dacryohemorrhea in world literature till date.
Introduction
Transitional cell carcinoma (TCC) of lacrimal sac is extremely rare with less than 30 cases reported in world literature. It forms a part of epithelial tumor of lacrimal sac which carries a dismal prognosis[1] without any sex predilection,[2] high degree of morbidity and mortality due to delayed presentation, untimely and inadequate treatment with resultant local recurrence and distant metastasis to lungs and esophagus.[3] With radiographic and clinical resemblance to mucocele, nasolacrimal duct obstruction, or dacryocystitis, it poses a diagnostic dilemma and a therapeutic challenge. Radiotherapy remains the cornerstone of adjuvant therapy after upfront surgery while chemotherapy has shown inconsequential results.[4]
Case Report
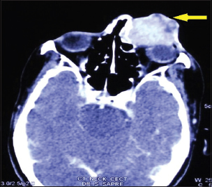
A 50-year-old female with no known comorbidities presented with epiphora left eye, blood in tears, and swelling over left lacrimal sac site of 2 months' duration. Clinical examination revealed a large, erythematous, lobulated 8 cm × 5 cm firm swelling fixed to underlying structures extending from left medial canthus to lower cheek area and left alae of nose covering the entire left eye with resultant restricted eye opening and no perception of light [Figure 1]. Right eye was normal with a visual acuity of 6/12. Computed tomography (CT) scan face and neck showed a 6.5 cm × 5.8 cm × 5.3 cm mass lesion left pre-orbital region eroding the medial wall of left maxillary sinus, left nasal cavity, nasal septum, anterior ethmoidal sinus and left orbit. No intracranial extension was seen. Multiple lymph nodes were seen at Level II and III [Figure 2]. Whole body positron emission tomography scan showed a localized disease without systemic dissemination [Figure 3].
| Figure 1 Patient with the large erythematous swelling left lacrimal sac area
| Figure 2 Computed tomography scan face and neck showing a mass lesion left preorbital region, eroding the medial wall of left maxillary sinus, extending into left nasal cavity, nasal septum, anterior ethmoidal sinus, and left orbit (yellow pointer)
| Figure 3 Positron emission tomography scan showing an exophytic ill-marginated soft-tissue lesion anteromedial to left eyeball without any intracranial extension (white pointer)
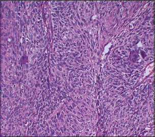
Biopsy from the swelling [Figure 4] revealed fragmented lacrimal sac tissue lined by atypical transitional cell epithelium with mitotic figures and nuclear pleomorphism. She was diagnosed as a case of TCC lacrimal sac and underwent wide local excision of the primary mass lesion, en block left orbital exenteration, left eyelid removal, left anterior ethmoidectomy, left lateral nasal wall excision, and left partial maxillectomy along with left forehead flap reconstruction. Neck was not addressed in view of intolerability of the patient for such an extensive surgery.
| Figure 4 Biopsy from the mass lesion showing fragmented lacrimal sac tissue lined by atypical transitional cell epithelium with mitotic figures and nuclear pleomorphism (H and E, ×100)
Postoperative histopathology showed transitional cells lining the lacrimal sac with nuclear pleomorphism. There was no lymphovascular invasion (LVI), and resection margins were devoid of any tumor cells. CT scan showed no evidence of any residual disease. However, in view of high chances of local recurrence, she was treated with adjuvant radiation therapy (RT) with 3-dimensional conformal radiotherapy (3-DCRT) technique to a dose of 60 Gray (Gy) in 30 fractions to the operated site and 50 Gy to the ipsilateral neck to address the neck nodes. No chemotherapy was considered in view of negative margins. On her first review 6-week post-RT, she showed satisfactory cosmesis [Figure 5] although she lost to follow-up without any further evaluation.
| Figure 5 Patient on her first review 6-week postradiotherapy showing satisfactory cosmesis
Discussion
Primary malignancies of lacrimal sac are extremely rare due to their anatomical location in a fossa bound by frontal process of maxilla and lacrimal bone hidden within the medial orbital wall resulting in late detection either due to symptomatic obstruction of nasolacrimal duct or mass effect. Symptoms such as epiphora and diminution of vision may point toward benign conditions such as dacryocystitis or mucocele. Suspicion of malignancy arises when there is progressive mass in the lacrimal sac area superior to medial canthus tendon.[5] Bloody tear or dacryohemorrhea is a rare symptom and has only been reported twice in literature by Harry and Ashton[6] in 1969 and by Azari et al.[1] in 2013.
Diagnosis is generally made during a routine dacryocystorhinostomy or intraoperatively for any medial canthus lesion primarily by histopathology. Immunohistochemistry positive for P16 may be predictive of human papilloma virus (HPV)-16 infections as an etiological agent[1] apart from HPV-11 infection.[7] TCC has the worst prognosis compared to other epithelial tumors of the lacrimal drainage system attributed to their high incidence of recurrence and distant dissemination despite an aggressive treatment approach. Recurrence rate can be as high as 50%,[8] distant metastasis rate of 22% to lungs and esophagus,[2] and a mortality rate of 44%–100% as described by various authors.[3]
At present, no definite treatment guidelines are present due to its extreme rare occurrence, paucity of relevant literature, and lack of clinical trials. Upfront surgery followed by adjuvant RT has been described as the optimal management strategy aiming for a globe-sparing approach with improved visual function and minimal morbidity.[4] For more aggressive and recurrent tumors with orbital and paranasal sinus extension associated with complete loss of visual acuity, orbital exenteration has been the traditional approach though without any survival advantage.[4] Similar observation was described by Ni et al.[9] about the dismal outcomes of orbital exenteration with lateral rhinotomy once the TCC exhibits an intraorbital extension beyond the lacrimal sac.
Given the propensity of lacrimal sac malignancies for regional lymphatic spread to periparotid lymph nodes such as the preauricular and intraparotid nodes and to cervical nodes with a 27% incidence,[9] ipsilateral parotidectomy and selective neck dissection (SND) may be considered in selected patients,[10] though routine inclusion of SND and periparotid lymphadenectomy has not been ventured on worldwide. Similarly, no role of sentinel lymph node dissection has been described for TCC of lacrimal system.[10] Adjuvant RT plays a significant role due to microscopic residual disease after extensive surgery. Globe-sparing RT techniques such as 3-DCRT, optically guided stereotactic RT, intensity-modulated radiotherapy, and proton therapies are being used instead of conventional RT techniques.
RT can be delivered to a dose of 56–70 Gy depending on margin status and general condition of the patient.[4] Visual acuity may be improved, though at a cost of toxicities such as cutaneous or conjunctival hyperemia, keratopathy, xerophthalmia, glaucoma, cataract, and retinopathy.[4] Concurrent chemoradiotherapy with cisplatin and docetaxel has been prescribed without any significant effect on disease-free survival or overall survival.[4] Epithelial growth factor receptor inhibitor like erlotinib plus carboplatin and paclitaxel has been used in metastatic scenarios.[4] By reporting this exceedingly rare case, we recommend that diagnosis of TCC lacrimal sac should always be considered in patients presenting with symptoms of nasolacrimal duct obstruction, medial canthus mass, and blood in tears so as to initiate a timely and appropriate treatment strategy.
Declaration of patient consent
The authors certify that they have obtained all appropriate patient consent forms. In the form, the patient has given her consent for her images and other clinical information to be reported in the journal. The patient understands that name and initials will not be published and due efforts will be made to conceal identity, but anonymity cannot be guaranteed.
Conflict of Interest
There are no conflicts of interest.
Acknowledgments
We thank the patient for allowing us to publish the case report and use the images taken during her stay in hospital.
- Azari AA, Kanavi MR, Saipe N, Lee V, Lucarelli M, Potter HD. et al. Transitional cell carcinoma of the lacrimal sac presenting with bloody tears. JAMA Ophthalmol 2013; 131: 689-90
- Karim R, Ghabrial R, Lin B. Transitional cell carcinoma of the nasolacrimal sac. Clin Ophthalmol 2009; 3: 587-91
- Preechawai P, Della Roccad RC, Della Rocca D, Schaefer S, McCormack S. Transitional cell carcinoma of the lacrimal sac. J Med Assoc Thai 2005; 88 Suppl 9 S138-42
- El-Sawy T, Frank SJ, Hanna E, Sniegowski M, Lai SY, Nasser QJ. et al. Multidisciplinary management of lacrimal sac/nasolacrimal duct carcinomas. Ophthal Plast Reconstr Surg 2013; 29: 454-7
- Hornblass A, Jakobiec FA, Bosniak S, Flanagan J. The diagnosis and management of epithelial tumors of the lacrimal sac. Ophthalmology 1980; 87: 476-90
- Harry J, Ashton N. The pathology of tumours of the lacrimal sac. Trans Ophthalmol Soc U K 1969; 88: 19-35
- Vickers JL, Matherne RJ, Allison AW, Wilkerson MG, Tyring SK, Bartlett BL. et al. Transitional cell neoplasm of the nasolacrimal duct associated with human papillomavirus type 11. J Cutan Pathol 2010; 37: 793-6
- Ryan SJ, Font RL. Primary epithelial neoplasms of the lacrimal sac. Am J Ophthalmol 1973; 76: 73-88
- Ni C, D'Amico DJ, Fan CQ, Kuo PK. Tumors of the lacrimal sac: A clinicopathological analysis of 82 cases. Int Ophthalmol Clin 1982; 22: 121-40
- Islam S, Thomas A, Eisenberg RL, Hoffman GR. Surgical management of transitional cell carcinoma of the lacrimal sac: Is it time for a new treatment algorithm?. J Plast Reconstr Aesthet Surg 2012; 65: e33-6
Address for correspondence
Publication History
Received: 18 August 2017
Accepted: 18 April 2018
Article published online:
03 June 2021
© 2019. Indian Society of Medical and Paediatric Oncology. This is an open access article published by Thieme under the terms of the Creative Commons Attribution-NonDerivative-NonCommercial-License, permitting copying and reproduction so long as the original work is given appropriate credit. Contents may not be used for commercial purposes, or adapted, remixed, transformed or built upon. (https://creativecommons.org/licenses/by-nc-nd/4.0/).
Thieme Medical and Scientific Publishers Pvt. Ltd.
A-12, 2nd Floor, Sector 2, Noida-201301 UP, India
| Figure 1 Patient with the large erythematous swelling left lacrimal sac area
| Figure 2 Computed tomography scan face and neck showing a mass lesion left preorbital region, eroding the medial wall of left maxillary sinus, extending into left nasal cavity, nasal septum, anterior ethmoidal sinus, and left orbit (yellow pointer)
| Figure 3 Positron emission tomography scan showing an exophytic ill-marginated soft-tissue lesion anteromedial to left eyeball without any intracranial extension (white pointer)
| Figure 4 Biopsy from the mass lesion showing fragmented lacrimal sac tissue lined by atypical transitional cell epithelium with mitotic figures and nuclear pleomorphism (H and E, ×100)
| Figure 5 Patient on her first review 6-week postradiotherapy showing satisfactory cosmesis
- Azari AA, Kanavi MR, Saipe N, Lee V, Lucarelli M, Potter HD. et al. Transitional cell carcinoma of the lacrimal sac presenting with bloody tears. JAMA Ophthalmol 2013; 131: 689-90
- Karim R, Ghabrial R, Lin B. Transitional cell carcinoma of the nasolacrimal sac. Clin Ophthalmol 2009; 3: 587-91
- Preechawai P, Della Roccad RC, Della Rocca D, Schaefer S, McCormack S. Transitional cell carcinoma of the lacrimal sac. J Med Assoc Thai 2005; 88 Suppl 9 S138-42
- El-Sawy T, Frank SJ, Hanna E, Sniegowski M, Lai SY, Nasser QJ. et al. Multidisciplinary management of lacrimal sac/nasolacrimal duct carcinomas. Ophthal Plast Reconstr Surg 2013; 29: 454-7
- Hornblass A, Jakobiec FA, Bosniak S, Flanagan J. The diagnosis and management of epithelial tumors of the lacrimal sac. Ophthalmology 1980; 87: 476-90
- Harry J, Ashton N. The pathology of tumours of the lacrimal sac. Trans Ophthalmol Soc U K 1969; 88: 19-35
- Vickers JL, Matherne RJ, Allison AW, Wilkerson MG, Tyring SK, Bartlett BL. et al. Transitional cell neoplasm of the nasolacrimal duct associated with human papillomavirus type 11. J Cutan Pathol 2010; 37: 793-6
- Ryan SJ, Font RL. Primary epithelial neoplasms of the lacrimal sac. Am J Ophthalmol 1973; 76: 73-88
- Ni C, D'Amico DJ, Fan CQ, Kuo PK. Tumors of the lacrimal sac: A clinicopathological analysis of 82 cases. Int Ophthalmol Clin 1982; 22: 121-40
- Islam S, Thomas A, Eisenberg RL, Hoffman GR. Surgical management of transitional cell carcinoma of the lacrimal sac: Is it time for a new treatment algorithm?. J Plast Reconstr Aesthet Surg 2012; 65: e33-6
PDF
Views
Share

