Unusual Presentation of Wilms' Tumor in a 4-Month-Old Infant as Presternal Metastatic Swelling—A Case Report with Review of Literature
CC BY 4.0 · Indian J Med Paediatr Oncol 2024; 45(05): 451-453
DOI: DOI: 10.1055/s-0043-1766131
Abstract
A 4-month-old infant presented with an enlarging large vascular presternal swelling noticed for the past 2 months. Clinical examination revealed a left renal mass in this otherwise asymptomatic child. She underwent left nephroureterectomy and excision of the skin metastasis following a course of chemotherapy. Preoperative cytology and postoperative histopathological examination confirmed Wilms' tumor with a single skin metastasis. We report this case for its rarity.
Keywords
Wilms' tumor - cutaneous metastasis - presternal swelling - anaplasia
Publication History
Article published online:
12 May 2023
© 2023. The Author(s). This is an open access article published by Thieme under the terms of the Creative Commons Attribution License, permitting unrestricted use, distribution, and reproduction so long as the original work is properly cited. (https://creativecommons.org/licenses/by/4.0/)
Thieme Medical and Scientific Publishers Pvt. Ltd.
A-12, 2nd Floor, Sector 2, Noida-201301 UP, India
We recommend
Unusual Presentation of Wilms' Tumor as Umbilical Granuloma
Shalini Gajanan Hegde, Indian Journal of Medical and Paediatric Oncology, 2018
Retroperitoneal Mature Cystic Teratoma in a 3-month-old Infant: A Case Report and Literature Review
Prasanta Kumar Tripathy, Indian Journal of Medical and Paediatric Oncology, 2018
Retroperitoneal Mature Cystic Teratoma in a 3-month-old Infant: A Case Report and Literature Review
Mahmood Dhahir Al-Mendalawi, Indian Journal of Medical and Paediatric Oncology, 2019
Teratoid Wilms’ Tumor with Hypertension Treated with Partial Nephrectomy: Case Report with Literature Review
A. Kajbafzadeh, European Journal of Pediatric Surgery-1, 2009
Teratoid Wilms’ Tumor with Hypertension Treated with Partial Nephrectomy: Case Report with Literature Review
A. Kajbafzadeh, European Journal of Pediatric Surgery, 2009
Vitriolage: An old abuse in an unusual presentation-a case report
Hanif Shaukat Arif, Indian Internet Journal of Forensic Medicine & Toxicology, 2003
Vitriolage: An old abuse in an unusual presentation – A case report
Shaukat Arif Hanif, Journal of Forensic Medicine and Toxicology, 2004
Masquerading swelling of the Maxilla: A case report with review of literature
Parimala Sagar, Journal of Dental and Orofacial Research, 2015
Case report of unusual presentation of invasive thymoma in A 49 years old male
Dr. Kheiralla Osama Abdalla Mabrouk, International Journal of Medical Research & Health Sciences, 2016
Chloroform poisoning – An unusual presentation a case report
J.P. Sharma, Journal of Forensic Medicine and Toxicology, 2005
Abstract
A 4-month-old infant presented with an enlarging large vascular presternal swelling noticed for the past 2 months. Clinical examination revealed a left renal mass in this otherwise asymptomatic child. She underwent left nephroureterectomy and excision of the skin metastasis following a course of chemotherapy. Preoperative cytology and postoperative histopathological examination confirmed Wilms' tumor with a single skin metastasis. We report this case for its rarity.
Keywords
Wilms' tumor - cutaneous metastasis - presternal swelling - anaplasia
Introduction
Wilms' tumor is the most common primary renal malignancy of childhood. It constitutes 6.3%- of cases of childhood cancer and accounts for approximately 90%- of all pediatric renal tumors.[1] Tumor usually arises from single kidney; however, there can be synchronous or multifocal tumors in around 10% of the patients and these usually tends to present at an earlier age. It is usually seen in children aged between 3 and 5 years and is unusual before 6 months of age.[2] The vast majority of patients presents with asymptomatic abdominal mass. In one-third of patients, there can be abdominal pain, hematuria, and hypertension. Rarely there can be atypical presentation because of compression of surrounding organs or infiltration into renal vein and inferior vena cava.[3] Lung is the most common site of metastasis followed by liver and contralateral kidney.[4] Cutaneous manifestations are not common in Wilms' tumor unlike other tumors like neuroblastoma, leukemia, rhabdoid tumor, and rhabdomyosarcoma that can present in early infancy with metastasis.[5]
In the index case, a 4-month-old infant presented with a presternal swelling and on further examination was found to have a left-sided flank mass. The diagnosis of Wilms' tumor with cutaneous metastasis was confirmed after further workup.
Case Report
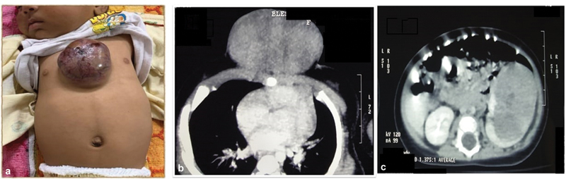
A 4-month-old female child, first in birth order, born by full-term vaginal delivery, and asymptomatic at birth, was referred with a presternal swelling. This had been noticed since the age of 2 months by the parents and was gradually increasing in size. There was no history of loss of appetite or weight. She had normal bowel and bladder habits. There were no complaints other than the presence of the presternal swelling. An ultrasonography (USG) of the swelling done before referral was suggestive of hemangioma or arteriovenous malformation. On examination, a 6 × 4 cm, round, well defined, firm, nontender, noncompressible swelling was present over the presternal area with overlying darkened skin and few areas of ulceration and eschar ([Fig. 1A]). Incidentally, fullness was noted in the left flank region and on abdominal examination, a mass of size 4 × 5 cm was palpable in the left lumbar region that was firm, well defined, smooth, bimanually palpable, and nonballotable. She had no features of any syndrome associated with Wilms' tumor. USG abdomen revealed a hyperechoic 4 × 4 cm left renal mass. Contrast-enhanced computed tomography (CECT) chest showed that the presternal mass had no intrathoracic extension. ([Fig. 1B]). CECT of abdomen showed a 5.1 × 3.8 × 5.3 cm hyperdense exophytic mass arising from the left kidney with no major vessel encasement or calcifications ([Fig. 1C]).
Fig. 1 (A) Single large skin metastasis in lower presternal area at presentation; (B) contrast-enhanced computed tomographic scan of chest shows a 3.8 × 3.8 × 6.3 cm mass in the presternal area lying in subcutaneous plane with no intrathoracic extension; (C) contrast-enhanced computed tomographic scan of abdomen shows a 5.1 × 3.8 × 5.3 cm hyperdense exophytic mass arising from the left kidney with no major vessel encasement or calcifications.
Fine-needle aspiration cytology smears from the left renal mass and chest wall swelling showed a predominantly dispersed population of blastemal cells with high nucleocytoplasmic ratio and hyperchromatic nuclei. Focal anaplasia and occasional mesenchymal fragments could also be noted. Cell blocks with immunohistochemistry were also suggestive of anaplastic Wilms' tumor with metastasis ([Fig. 2]). Both the presternal swelling and renal mass showed a reduction in size after four cycles of age adjusted chemotherapy with doxorubicin, actinomycin D, and vincristine. The patient underwent left radical nephroureterectomy with lymph node sampling and excision of the chest wall lesion. Histopathological examination confirmed Wilms' tumor with lymph nodes free of tumor. Local staging was stage 1 as the tumor was fully excised and there was 99%- necrosis. Margins of the local site tumor (abdomen) and metastatic site were also negative. After surgery, she developed surgical site infection that responded to antibiotics. The tumor was triphasic in nature and there was focal anaplasia on the initial biopsy that does not qualify for unfavorable histology. She therefore did not belong to poor risk histology and was planned for 27 weeks of chemotherapy with actinomycin D, doxorubicin, and vincristine. She defaulted after receiving 12 cycles of chemotherapy. The reason for abandonment of therapy is unclear. She expired 6 months after surgery at home after a brief period of complaint of fever, weight loss, and cough. The probable cause of death may be due to coronavirus disease 2019 or the malignancy itself.
Fig. 2 (A) Hematoxylin and eosin (H&E) staining showing the sheet of atypical large lymphoid cells with hyperchromatic nuclei and eosinophilic cytoplasm with brisk apoptotic and mitotic activity for non-Hodgkin lymphoma (NHL). (B) Immunohistochemistry (IHC) showing membranous CD20 positivity. (C) High-grade (HG) nuclei with papillary architecture on final surgical specimen. (D) WT1 positive on IHC for final surgical specimen.
Discussion
Wilms' tumor is the second most common childhood abdominal malignancy forming 6%- of all the childhood cancers with a 5-year survival rate of nearly 90%.[1]
It usually presents as an asymptomatic abdominal mass. Other presentations include abdominal pain, fever, hematuria, hypertension, recurrent urinary tract infection, and anemia.[2] [3] Metastasis occurs commonly in the lung, liver, and contralateral kidney. Less common sites include bone, skin, brain and orbit, and rarely testes.[4] Wilms' tumor is less frequent in infants with the mean age at diagnosis being around 8 months.2 Complete surgical removal without tumor spillage is essential as these patients have sixfold increased risk of local abdominal relapse.[6] Because of refinement in risk stratification and advancement in chemotherapy, the overall survival has improved to greater than 90%- for localized disease and 75%- for metastatic disease.[7]
Unlike in older children, Wilms' tumor in infancy often has cystic appearance.[8] This cystic form is considered to be low-risk nephroblastoma, prognosis is better, and they may be treated with surgical resection alone.[9] Early detection is possible in specific syndromic associations if frequent checkups are done in the first year of life. In our case, the child presented at 4 months of age with cutaneous metastasis and features of anaplasia on cytological examination. Other more malignant tumors could be ruled out by immunohistochemistry of cell blocks, namely: malignant rhabdoid tumor kidney (as INI-1 retained), clear cell sarcoma kidney (cyclinD1 negative), neuroblastoma (chromogranin and synaptophysin negative), Ewing's sarcoma (CD99 negative), and lymphoma (leukocyte common antigen negative). The tumor cells were positive for vimentin and desmin.
Currently, tumor histology is considered as the most common “biomarker” reflecting prognosis. Anaplastic histology, especially diffuse anaplasia, is associated with higher recurrence rates, metastases, and death. The recommended National Wilms' Tumor Study group/Children's Oncology group chemotherapy protocols differentiate patients by presence and degree of anaplasia.[10] [11]
On reviewing literature, we did not find any case of Wilms' tumor presenting as a single skin metastasis in an infant. We found one report of a 12-year-old child who had undergone nephrectomy 7 years back for Wilms' tumor, and presented with a lump in the parasternal area as a form of late recurrence.[12]
Conclusion
This case reveals an unusual presentation of Wilms' tumor in an infant that has not been reported before in literature. The child manifested first with a skin lesion at 2 months of age and on histopathological examination was revealed to have anaplastic Wilms' tumor, both of which are extremely rare.
Conflict of Interest
None declared.
References
- Breslow N, Olshan A, Beckwith JB, Green DM. Epidemiology of Wilms Tumor. Med Pediatr Oncol 1993; 21 (03) 172-181
- Caldwell BT, Wilcox DT, Cost NG. Current management for pediatric urologic oncology. Adv Pediatr 2017; 64 (01) 191-223
- Davidoff AM. Wilms tumor. Adv Pediatr 2012; 59 (01) 247-267
- Sauter ER, Schorin MA, Farr Jr GH, Falterman KW, Arensman RM. Wilms' tumor with metastasis to the left testis. Am Surg 1990; 56 (04) 260-262
- Mondì V, Piersigilli F, Salvatori G, Auriti C. The skin as an early expression of malignancies in the neonatal age: a review of the literature and a case series. BioMed Res Int 2015; 2015: 809406 DOI: 10.1155/2015/809406.
- Ko EY, Ritchey ML. Current management of Wilms' tumor in children. J Pediatr Urol 2009; 5 (01) 56-65
- Spreafico F, Bellani FF. Wilms' tumor: past, present and (possibly) future. Expert Rev Anticancer Ther 2006; 6 (02) 249-258
- Kullendorff CM, Wiebe T. Wilms' tumour in infancy. Acta Paediatr 1998; 87 (07) 747-750
- Reyher-Klein S. [Multilocular cyst of the kidney. Case reports with review of the literature]. Pathologe 1993; 14 (03) 172-174
- Breslow NE, Norris R, Norkool PA. et al; National Wilms Tumor Study Group. Characteristics and outcomes of children with the Wilms tumor-Aniridia syndrome: a report from the National Wilms Tumor Study Group. J Clin Oncol 2003; 21 (24) 4579-4585
- Vujanić GM, Sandstedt B, Kelsey A, Sebire NJ. Central pathology review in multicenter trials and studies: lessons from the nephroblastoma trials. Cancer 2009; 115 (09) 1977-1983
- Paruvathavarthini T, Stephen N, Pradeep A. et al. Cutaneous metastasis in a case of Wilms' tumor diagnosed on cytology - a rare case report. Diagn Cytopathol 2021; 49 (06) E190-E194
Address for correspondence
Publication History
Article published online:
12 May 2023
© 2023. The Author(s). This is an open access article published by Thieme under the terms of the Creative Commons Attribution License, permitting unrestricted use, distribution, and reproduction so long as the original work is properly cited. (https://creativecommons.org/licenses/by/4.0/)
Thieme Medical and Scientific Publishers Pvt. Ltd.
A-12, 2nd Floor, Sector 2, Noida-201301 UP, India
We recommend
Unusual Presentation of Wilms' Tumor as Umbilical Granuloma
Shalini Gajanan Hegde, Indian Journal of Medical and Paediatric Oncology, 2018
Retroperitoneal Mature Cystic Teratoma in a 3-month-old Infant: A Case Report and Literature Review
Prasanta Kumar Tripathy, Indian Journal of Medical and Paediatric Oncology, 2018
Retroperitoneal Mature Cystic Teratoma in a 3-month-old Infant: A Case Report and Literature Review
Mahmood Dhahir Al-Mendalawi, Indian Journal of Medical and Paediatric Oncology, 2019
Teratoid Wilms’ Tumor with Hypertension Treated with Partial Nephrectomy: Case Report with Literature Review
A. Kajbafzadeh, European Journal of Pediatric Surgery-1, 2009
Teratoid Wilms’ Tumor with Hypertension Treated with Partial Nephrectomy: Case Report with Literature Review
A. Kajbafzadeh, European Journal of Pediatric Surgery, 2009
The use of botulinum toxin in acquired nystagmus: literature review and case presentation
Sarah L. Poulton, British and Irish Orthoptic Journal, 2007
A 64 year old woman with knee pain: case presentation
Peter Tugwell, The BMJ, 2004
Atypical Presentation of Frontal Lobe Tumor (Glioblastoma) in an Adolescent: A Case Report
Savita Manwani, Journal of Scientific Innovation in Medicine, 2021
A 35 year old woman with diabetic nephropathy who wants a baby: case presentation
Giorgina Barbara Piccoli, The BMJ, 2004
Stiff-Person Syndrome: A Case Report and Review of the Literature
Hayley Storey, British and Irish Orthoptic Journal, 2019
Fig. 1 (A) Single large skin metastasis in lower presternal area at presentation; (B) contrast-enhanced computed tomographic scan of chest shows a 3.8 × 3.8 × 6.3 cm mass in the presternal area lying in subcutaneous plane with no intrathoracic extension; (C) contrast-enhanced computed tomographic scan of abdomen shows a 5.1 × 3.8 × 5.3 cm hyperdense exophytic mass arising from the left kidney with no major vessel encasement or calcifications.
Fig. 2 (A) Hematoxylin and eosin (H&E) staining showing the sheet of atypical large lymphoid cells with hyperchromatic nuclei and eosinophilic cytoplasm with brisk apoptotic and mitotic activity for non-Hodgkin lymphoma (NHL). (B) Immunohistochemistry (IHC) showing membranous CD20 positivity. (C) High-grade (HG) nuclei with papillary architecture on final surgical specimen. (D) WT1 positive on IHC for final surgical specimen.
References
- Breslow N, Olshan A, Beckwith JB, Green DM. Epidemiology of Wilms Tumor. Med Pediatr Oncol 1993; 21 (03) 172-181
- Caldwell BT, Wilcox DT, Cost NG. Current management for pediatric urologic oncology. Adv Pediatr 2017; 64 (01) 191-223
- Davidoff AM. Wilms tumor. Adv Pediatr 2012; 59 (01) 247-267
- Sauter ER, Schorin MA, Farr Jr GH, Falterman KW, Arensman RM. Wilms' tumor with metastasis to the left testis. Am Surg 1990; 56 (04) 260-262
- Mondì V, Piersigilli F, Salvatori G, Auriti C. The skin as an early expression of malignancies in the neonatal age: a review of the literature and a case series. BioMed Res Int 2015; 2015: 809406 DOI: 10.1155/2015/809406.
- Ko EY, Ritchey ML. Current management of Wilms' tumor in children. J Pediatr Urol 2009; 5 (01) 56-65
- Spreafico F, Bellani FF. Wilms' tumor: past, present and (possibly) future. Expert Rev Anticancer Ther 2006; 6 (02) 249-258
- Kullendorff CM, Wiebe T. Wilms' tumour in infancy. Acta Paediatr 1998; 87 (07) 747-750
- Reyher-Klein S. [Multilocular cyst of the kidney. Case reports with review of the literature]. Pathologe 1993; 14 (03) 172-174
- Breslow NE, Norris R, Norkool PA. et al; National Wilms Tumor Study Group. Characteristics and outcomes of children with the Wilms tumor-Aniridia syndrome: a report from the National Wilms Tumor Study Group. J Clin Oncol 2003; 21 (24) 4579-4585
- Vujanić GM, Sandstedt B, Kelsey A, Sebire NJ. Central pathology review in multicenter trials and studies: lessons from the nephroblastoma trials. Cancer 2009; 115 (09) 1977-1983
- Paruvathavarthini T, Stephen N, Pradeep A. et al. Cutaneous metastasis in a case of Wilms' tumor diagnosed on cytology - a rare case report. Diagn Cytopathol 2021; 49 (06) E190-E194
PDF
Views
Share

