Xanthogranulomatous Oophoritis in the Setting of Post-IVF Twin Pregnancy with History of Endometriosis: A Rare Case Report with Review of Literature
CC BY-NC-ND 4.0 · Indian J Med Paediatr Oncol 2022; 43(03): 314-317
DOI: DOI: 10.1055/s-0042-1748489
Xanthogranulomatous inflammation is an uncommon, nonneoplastic, chronic process in which the affected organ is destroyed by massive cellular infiltration of foamy histiocytes admixed with multinucleated giant cells, plasma cells, fibroblasts, neutrophils, and foci of necrosis. The organs most commonly affected by this entity are kidney and gallbladder. Only a few cases involving the ovary have been reported. The etiology of this entity is unknown, but the associated risk factors are infection, inappropriate antibiotic therapy, use of intrauterine contraceptive device, abnormalities in lipid metabolism, endometriosis, leiomyoma, and recurrent pelvic inflammatory disease. The current case was a 31-year-old female with post-in vitro fertilization (post-IVF) twin pregnancy, who presented with pain in the abdomen, provisionally diagnosed as ovarian mass with suspicion of malignancy. Patient was treated with antibiotics and an elective lower segment cesarean section was planned, due to lower abdominal pain and the presentation of both fetuses being breech. Patient underwent exploratory laparotomy with right oophorectomy and left double-J stenting, in view of left hydronephrosis. Diagnosis of xanthogranulomatous oophoritis was established on histopathological examination. There is only a single case; previously documented from India, in the setting of primary infertility. The present case report stresses that the condition may affect women of any age group and may be encountered in pregnancy, as has been observed in this case. Hence, thinking about this differential diagnosis in the cases presenting with similar complaints, would be of great value to avoid misdiagnosing them.
Declaration of Patient Consent
The authors certify that they have obtained all appropriate patient consent forms. In the form, the patient has given her consent for her images and other clinical information to be reported in the journal. The patient understands that her name and initials will not be published and due efforts will be made to conceal their identity.
Publication History
Article published online:
01 July 2022
© 2022. Indian Society of Medical and Paediatric Oncology. This is an open access article published by Thieme under the terms of the Creative Commons Attribution-NonDerivative-NonCommercial License, permitting copying and reproduction so long as the original work is given appropriate credit. Contents may not be used for commercial purposes, or adapted, remixed, transformed or built upon. (https://creativecommons.org/licenses/by-nc-nd/4.0/)
Thieme Medical and Scientific Publishers Pvt. Ltd.
A-12, 2nd Floor, Sector 2, Noida-201301 UP, India
Abstract
Xanthogranulomatous inflammation is an uncommon, nonneoplastic, chronic process in which the affected organ is destroyed by massive cellular infiltration of foamy histiocytes admixed with multinucleated giant cells, plasma cells, fibroblasts, neutrophils, and foci of necrosis. The organs most commonly affected by this entity are kidney and gallbladder. Only a few cases involving the ovary have been reported. The etiology of this entity is unknown, but the associated risk factors are infection, inappropriate antibiotic therapy, use of intrauterine contraceptive device, abnormalities in lipid metabolism, endometriosis, leiomyoma, and recurrent pelvic inflammatory disease. The current case was a 31-year-old female with post-in vitro fertilization (post-IVF) twin pregnancy, who presented with pain in the abdomen, provisionally diagnosed as ovarian mass with suspicion of malignancy. Patient was treated with antibiotics and an elective lower segment cesarean section was planned, due to lower abdominal pain and the presentation of both fetuses being breech. Patient underwent exploratory laparotomy with right oophorectomy and left double-J stenting, in view of left hydronephrosis. Diagnosis of xanthogranulomatous oophoritis was established on histopathological examination. There is only a single case; previously documented from India, in the setting of primary infertility. The present case report stresses that the condition may affect women of any age group and may be encountered in pregnancy, as has been observed in this case. Hence, thinking about this differential diagnosis in the cases presenting with similar complaints, would be of great value to avoid misdiagnosing them.
Introduction
Xanthogranulomatous inflammation is an uncommon form of chronic inflammatory process that is destructive to the involved organs.[1] The usual sites of involvement are the kidneys and gallbladder, though it can affect the anorectal area, bone, stomach, and testis.[2] The involvement of female genital tract is uncommon and if involved, it generally affects the endometrium.[3] Only a few cases affecting the vagina, cervix, fallopian tubes, and ovaries have been described.[4] The characteristic massive infiltration of tissues by foamy histiocytes along with the plasma cells, lymphocytes, and polymorphonuclear leukocytes is evident on histopathology. The rare but unique histopathological appearance of this entity, noted in the pregnant female with post-in vitro fertilization (post-IVF) twin conception, warranted the case report of the said patient.
Case Report
A 30-year-old female (a primigravida, who was treated for infertility using short protocol using gonadotrophin-releasing hormone antagonist injection cetrorelix, with post-IVF-embryo transfer [ET] conception with diamniotic dichorionic twins—period of gestation being 35 weeks) reported to the emergency department of a tertiary care hospital with complaints of moderate to severe pain in lower abdomen, increased frequency of urination, and bleeding, while passing urine.
She was a known case of endometriosis and had presented earlier at the beginning of second trimester with endometrioma, for which she had undergone an emergency exploratory laparotomy, right salpingectomy, and right ureteric double-J (DJ) stenting, in view of hydroureteronephrosis. She was also a known case of hypothyroidism, anemia in pregnancy, receiving thyroid hormone replacement therapy, and hematinics.
Patient was hemodynamically stable. On per abdominal examination, 36 weeks gravid uterus was noted with a tense anterior abdominal wall, without tenderness. Cardiac activity of both the fetuses was also noted. On per vaginal examination, mass was noted in the pouch of Douglas. The patient was found to be having leukocytosis (total leucocyte count 14,700/mm3). Other hematological and biochemical parameters were found to be within reference limits. Urine culture was positive for Escherichia coli, sensitive to amikacin, cotrimoxazole, nitrofurantoin, fosfomycin, and minocycline. The magnetic resonance imaging showed a large heterogeneous mass in the right adnexa, measuring 102 × 89 × 108 mm (anterior-posterior × transverse × craniocaudal), superiorly extending from the level of L3–4 to the level of coccyx inferiorly. The lesion appeared to be originating in the right adnexa and extending to the pouch of Douglas. Tumor markers like human epididymis protein 4, alpha-fetoprotein, cancer antigen 125 (CA 125), CA 19–9, and carcinoembryonic antigen were not elevated.
Patient was treated with antibiotics and an elective lower segment cesarean section (LSCS) was planned, due to lower abdominal pain. Both fetuses were having breech presentation. The exploratory laparotomy was planned along with right oophorectomy and left DJ stenting, in view of left hydronephrosis. During LSCS, two live preterm fetuses, a female and a male, weighing 2.2 and 1.9 kg, respectively, were delivered and required neonatal resuscitation. About 1.8 L of foul-smelling purulent discharge was drained from the right adnexal mass and was sent for microbiological investigations. Ziehl–Neelsen staining was negative for acid-fast bacilli, and the pus culture did not grow any pyogenic bacteria. Appendectomy was performed due to unhealthy appearance of the same. The left DJ stenting was performed, as planned.
The oophorectomy and appendectomy specimens were sent for histopathological examination (HPE). On gross examination, right ovarian mass, measuring 15 × 13 cm, showed lobulated and congested external surface. On cutting open the specimen, two cysts were noted of size 12 × 9 and 10 × 6 cm, with the smaller cyst showing the presence of pus.
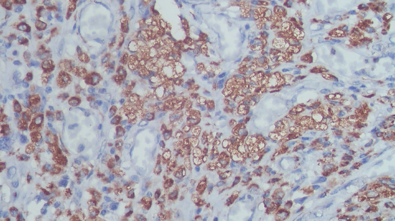
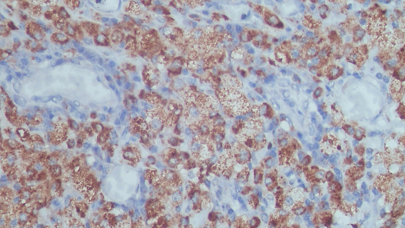
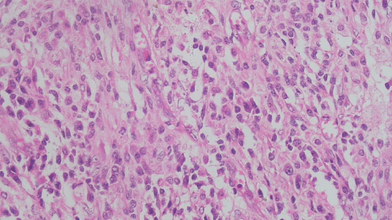
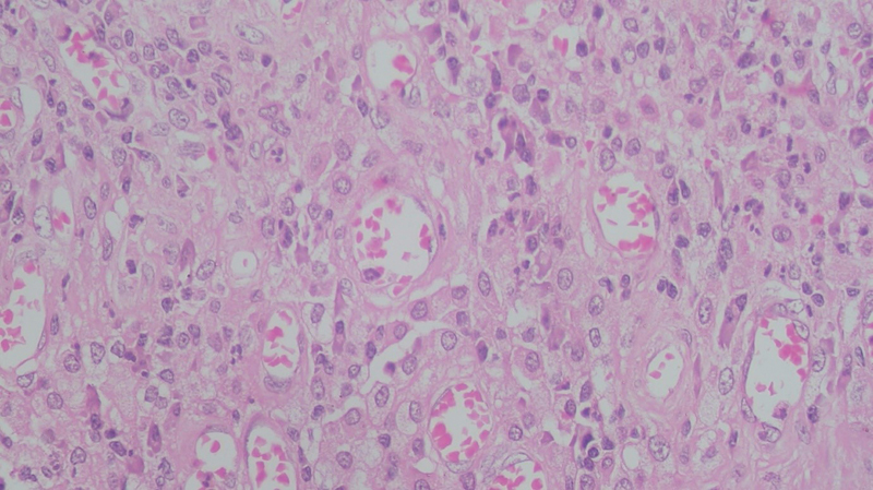
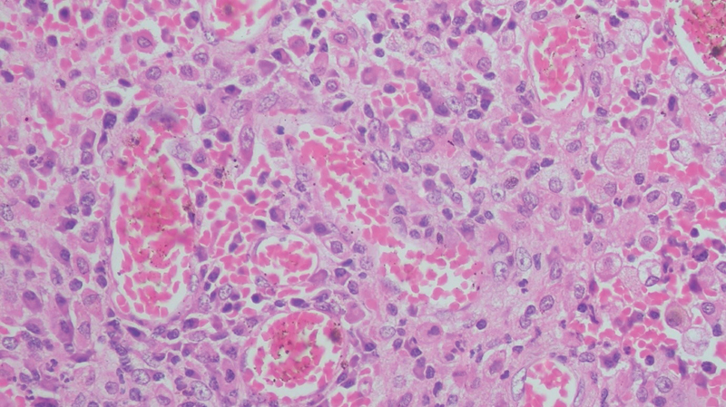
On microscopic examination, the cyst wall was seen to be comprising of fibrocollagenous tissue, infiltrated by sheets of foamy macrophages, lymphocytes, plasma cells, and neutrophils ([Fig. 1], [2], [3]). Proliferating blood vessels were noted. Few areas showed fibrosis with hemosiderin-laden macrophages. Endometrial glands or stroma was not seen. The features like atypia and dysplasia were characteristically absent. The appendix showed normal histomorphology with periappendiceal inflammation. CD68 immunohistochemistry confirmed the presence of foamy histiocytes ([Fig. 4], [5]), while pan-cytokeratin was negative. Diagnosis of xanthogranulomatous oophoritis was made, based on the histomorphological features.
| Fig. 1 The presence of large number of foamy histiocytes admixed with plasma cells, lymphocytes, and occasional neutrophils, is seen, which is pathognomonic feature of xanthogranulomatous oophoritis (hematoxylin and eosin staining; magnification 100x).
| Fig. 2 The presence of large number of foamy histiocytes admixed with plasma cells, lymphocytes, and occasional neutrophils, is seen, which is pathognomonic feature of xanthogranulomatous oophoritis (hematoxylin and eosin staining; magnification 100x).
| Fig. 3 The presence of large number of foamy histiocytes admixed with plasma cells, lymphocytes, and occasional neutrophils, is seen, which is pathognomonic feature of xanthogranulomatous oophoritis (hematoxylin and eosin staining; magnification 400x).
| Fig. 4 The foamy histiocytes show positivity by immunostaining with CD68. (CD68 antibody staining; magnification 100x).
| Fig. 5 The foamy histiocytes show positivity by immunostaining with CD68. (CD68 antibody staining; magnification 400x).
Discussion
Xanthogranulomatous inflammation is a rare benign inflammatory disease—commonly noted in the kidney and gallbladder.[5] [6] [7] [8] It has also been found in other sites like bones, testis, and small intestine.[5] [9] [10] The involvement of the female genital tract is somewhat less common, which can present as endometritis, oophoritis, and salpingitis.[4] [11] [12] The ovarian involvement sometimes has been referred to as ovarian fibroxanthoma.[4] The average age of presentation is 38.5 years (commonly cases reporting between 23 and 72 years), though there has been a case report stating the occurrence of the disease in a 2-year-old child.[2] [13] The disease can present, either unilaterally or bilaterally.[13] About 32 cases have been reported from India and the incidence seems to be more in the developing countries than the developed countries.[14]
The predisposing factors thought of, are pelvic inflammatory disease (PID), endometriosis, and inadequate antibiotic therapy.[15] [16] [17] Abnormal lipid metabolism has also been considered as one of the predisposing factors.[18] [19] Previously, cases have also been reported with infertility and this can be considered as one of the predisposing factors.[16] The pathogenesis of this condition remains unidentified,[20] with various proposed mechanisms like ineffective clearance of bacteria by phagocytosis or as late sequalae of PID.[2] In cases of endometriosis, sites of bleeding along with the obstruction remain to be the fertile soil for the growth of multitude of microorganisms, which is then followed by tissue necrosis and the subsequent release of cholesterol and other lipids, which further leads to increased number of tissue macrophages, trying to phagocytose these products.[21] It has been also considered by some that xanthogranulomatous oophoritis may be the rare aggressive form of the commonly occurring endometriosis.
Common presentations include abdominal pain, adnexal tenderness, pelvic mass, menorrhagia, fever, etc. On hematological investigations, leukocytosis is a consistent finding with raised erythrocyte sedimentation rate.[4] The radiological investigations, confirm the ovarian mass, which is well-defined and often raises the suspicion of malignancy.[4] Bacterial infection is seen in many cases, the causative organisms commonly noted being E. coli, Proteus spp., Staphylococcus aureus, Bacteroides fragilis, Salmonella typhi, Actinomyces, Streptococcus faecalis, viridans streptococci, etc.[21] The pus culture is negative for acid-fast bacteria. The antibiotic therapy alone is not sufficient and operative treatment is necessary in the form of salpingo-oophorectomy, depending on the site of lesion.[3] [4] [22]
The gross appearance of the specimens may show cystic degeneration, foci of necrosis, and hemorrhage, in grossly enlarged ovary. The microscopic examination shows the presence of foamy histiocytes, along with a mixture of inflammatory cells like lymphocytes, plasma cells, and occasional neutrophils.[21] Foamy histiocytes, the so-called “xanthoma cells,” are histiocytes with abundant lipid-laden cytoplasm having a vacuolated appearance. These impart the yellowish color to the specimen, when seen on the gross examination. There is no cellular atypia, abnormal mitoses, or any other microscopic feature suggestive of malignancy.
CD68 immunostaining shows characteristic staining of foamy histiocytes, which confirms the diagnosis.[23] The differential diagnoses of this condition include malakoplakia, chronic infections like tuberculosis, etc. This rare condition should be included in the differential diagnosis of ovarian cysts/tumors and endometrioma abscesses.
In our case, the mass in the right adnexa, though previously thought to be of either neoplastic or infective etiology, the HPE revealed the actual diagnosis, which was crucial in further patient management. Though the entity is overall rare and cannot be diagnosed without the HPE, it is imperative to consider this entity in the differential diagnoses for patients presenting with similar complaints especially in cases having predisposing conditions like PID, endometriosis, inadequate antibiotic therapy, infertility, etc.
Conclusion
Xanthogranulomatous inflammation, occurring in female genital tract, is extremely rare. The presence of this entity, should always be paid due attention, as meticulous HPE is the key in its diagnosis. This case report, which is the first documented report of occurrence of xanthogranulomatous oophoritis, in a pregnant female with post-IVF ET pregnancy, having history of endometriosis and infertility, stresses the fact that the condition can present in varied settings and high level of suspicion is of paramount importance for the diagnosis.
Conflict of Interest
None declared.
Declaration of Patient Consent
The authors certify that they have obtained all appropriate patient consent forms. In the form, the patient has given her consent for her images and other clinical information to be reported in the journal. The patient understands that her name and initials will not be published and due efforts will be made to conceal their identity.
- Jung SE, Lee JM, Lee KY, Han KT, Hahn ST. Xanthogranulomatous oophoritis: MR imaging findings with pathologic correlation. AJR Am J Roentgenol 2002; 178 (03) 749-751
- Bhatnagar K, Narang V, Garg B, Sood N. Xanthogranulomatous oophoritis: a rare case report. Iran J Pathol 2018; 13 (03) 372-376
- Rawal G, Zaheer S, Dhawan I. Xanthogranulomatous oophoritis mimicking an ovarian neoplasm: a rare case report. J Midlife Health 2018; 9 (01) 41-43
- Zhang XS, Dong HY, Zhang LL, Desouki MM, Zhao C. Xanthogranulomatous inflammation of the female genital tract: report of three cases. J Cancer 2012; 3: 100-106
- Yoon JS, Jeon YC, Kim TY. et al. Xanthogranulomatous inflammation in terminal ileum presenting as an appendiceal mass: case report and review of the literature. Clin Endosc 2013; 46 (02) 193-196
- Li L, Parwani AV. Xanthogranulomatous pyelonephritis. Arch Pathol Lab Med 2011; 135 (05) 671-674
- Dixit VK, Prakash A, Gupta A. et al. Xanthogranulomatous cholecystitis. Dig Dis Sci 1998; 43 (05) 940-942
- Hale MD, Roberts KJ, Hodson J, Scott N, Sheridan M, Toogood GJ. Xanthogranulomatous cholecystitis: a European and global perspective. HPB (Oxford) 2014; 16 (05) 448-458
- Alazab RS, Ghawanmeh HM, Al-Okour RK. et al. Xanthogranulomatous orchitis: rare case with brief literature review. Urol Case Rep 2017; 13: 92-93
- Holmes BJ, Castelino-Prabhu S, Rosenthal DL, Ali SZ. Xanthogranuloma of bone: a challenging imitator of malignancy. Acta Cytol 2013; 57 (02) 198-202
- Khan B, Aziz AB, Ahmed R. Case of xanthogranulomatous oophoritis. J Ayub Med Coll Abbottabad 2017; 29 (01) 162-164
- Makkar M, Gill M, Singh D. Xanthogranulomatous endometritis: an unusual pathological entity mimicking endometrial carcinoma. Ann Med Health Sci Res 2013; 3 (Suppl. 01) S48-S49
- Tanwar H, Joshi A, Wagaskar V, Kini S, Bachhav M. Xanthogranulomatous salpingooophoritis: the youngest documented case report. Case Rep Obstet Gynecol 2015; 237250
- Patel KA, Chothani KP, Patel B, Lanjewar DN. Xanthogranulomatous salpingo-oophoritis: a case report and review of literature. Int J Reprod Contracept Obstet Gynecol 2020; 9 (10) 4316-4319
- Punia RS, Aggarwal R, , Amanjit, Mohan H. Xanthogranulomatous oophoritis and salpingitis: late sequelae of inadequately treated staphylococcal PID. Indian J Pathol Microbiol 2003; 46 (01) 80-81
- Shukla S, Pujani M, Singh SK, Pujani M. Xanthogranulomatous oophoritis associated with primary infertility and endometriosis. Indian J Pathol Microbiol 2010; 53 (01) 197-198
- Pace EH, Voet RL, Melancon JT. Xanthogranulomatous oophoritis: an inflammatory pseudotumor of the ovary. Int J Gynecol Pathol 1984; 3 (04) 398-402
- Rathore R, Chauhan S, Mendiratta S, Sharma R, Nain M, Sarin N. Xantogranulomatous salpingo oophritis, lessons learnt: report of two cases with unusual presentation. J Family Reprod Health 2017; 11 (03) 174-178
- Karigoudar M, Kushtagi A, Karigoudar R, Sirasagi A. Xanthogranulomatous oophoritis- a rare inflammatory lesion. J Krishna Inst Med Sci Univ 2013; 2: 111-115
- Carvalho AP, Braga AC, Ferreira H. Case report: xanthogranulomatous salpingo-oophoritis associated to endometriosis – are these different histologic expressions of the same disease?. F1000Research 2020; 9: 94
- Gray Y, Libbey NP. Xanthogranulomatous salpingitis and oophoritis: a case report and review of the literature. Arch Pathol Lab Med 2001; 125 (02) 260-263
- Bindu SM, Mahajan MS. Xanthogranulomatous oophoritis: a case report with review of literature. Int J Health Allied Sci 2014; 3 (03) 187
- Tzankov A, Kremer M, Leguit R. et al. Histiocytic cell neoplasms involving the bone marrow: summary of the workshop cases submitted to the 18th Meeting of the European Association for Haematopathology (EAHP) organized by the European Bone Marrow Working Group, Basel 2016. Ann Hematol 2018; 97 (11) 2117-2128
Address for correspondence
Publication History
Article published online:
01 July 2022
© 2022. Indian Society of Medical and Paediatric Oncology. This is an open access article published by Thieme under the terms of the Creative Commons Attribution-NonDerivative-NonCommercial License, permitting copying and reproduction so long as the original work is given appropriate credit. Contents may not be used for commercial purposes, or adapted, remixed, transformed or built upon. (https://creativecommons.org/licenses/by-nc-nd/4.0/)
Thieme Medical and Scientific Publishers Pvt. Ltd.
A-12, 2nd Floor, Sector 2, Noida-201301 UP, India
| Fig. 1 The presence of large number of foamy histiocytes admixed with plasma cells, lymphocytes, and occasional neutrophils, is seen, which is pathognomonic feature of xanthogranulomatous oophoritis (hematoxylin and eosin staining; magnification 100x).
| Fig. 2 The presence of large number of foamy histiocytes admixed with plasma cells, lymphocytes, and occasional neutrophils, is seen, which is pathognomonic feature of xanthogranulomatous oophoritis (hematoxylin and eosin staining; magnification 100x).
| Fig. 3 The presence of large number of foamy histiocytes admixed with plasma cells, lymphocytes, and occasional neutrophils, is seen, which is pathognomonic feature of xanthogranulomatous oophoritis (hematoxylin and eosin staining; magnification 400x).
| Fig. 4 The foamy histiocytes show positivity by immunostaining with CD68. (CD68 antibody staining; magnification 100x).
| Fig. 5 The foamy histiocytes show positivity by immunostaining with CD68. (CD68 antibody staining; magnification 400x).
References
- Jung SE, Lee JM, Lee KY, Han KT, Hahn ST. Xanthogranulomatous oophoritis: MR imaging findings with pathologic correlation. AJR Am J Roentgenol 2002; 178 (03) 749-751
- Bhatnagar K, Narang V, Garg B, Sood N. Xanthogranulomatous oophoritis: a rare case report. Iran J Pathol 2018; 13 (03) 372-376
- Rawal G, Zaheer S, Dhawan I. Xanthogranulomatous oophoritis mimicking an ovarian neoplasm: a rare case report. J Midlife Health 2018; 9 (01) 41-43
- Zhang XS, Dong HY, Zhang LL, Desouki MM, Zhao C. Xanthogranulomatous inflammation of the female genital tract: report of three cases. J Cancer 2012; 3: 100-106
- Yoon JS, Jeon YC, Kim TY. et al. Xanthogranulomatous inflammation in terminal ileum presenting as an appendiceal mass: case report and review of the literature. Clin Endosc 2013; 46 (02) 193-196
- Li L, Parwani AV. Xanthogranulomatous pyelonephritis. Arch Pathol Lab Med 2011; 135 (05) 671-674
- Dixit VK, Prakash A, Gupta A. et al. Xanthogranulomatous cholecystitis. Dig Dis Sci 1998; 43 (05) 940-942
- Hale MD, Roberts KJ, Hodson J, Scott N, Sheridan M, Toogood GJ. Xanthogranulomatous cholecystitis: a European and global perspective. HPB (Oxford) 2014; 16 (05) 448-458
- Alazab RS, Ghawanmeh HM, Al-Okour RK. et al. Xanthogranulomatous orchitis: rare case with brief literature review. Urol Case Rep 2017; 13: 92-93
- Holmes BJ, Castelino-Prabhu S, Rosenthal DL, Ali SZ. Xanthogranuloma of bone: a challenging imitator of malignancy. Acta Cytol 2013; 57 (02) 198-202
- Khan B, Aziz AB, Ahmed R. Case of xanthogranulomatous oophoritis. J Ayub Med Coll Abbottabad 2017; 29 (01) 162-164
- Makkar M, Gill M, Singh D. Xanthogranulomatous endometritis: an unusual pathological entity mimicking endometrial carcinoma. Ann Med Health Sci Res 2013; 3 (Suppl. 01) S48-S49
- Tanwar H, Joshi A, Wagaskar V, Kini S, Bachhav M. Xanthogranulomatous salpingooophoritis: the youngest documented case report. Case Rep Obstet Gynecol 2015; 237250
- Patel KA, Chothani KP, Patel B, Lanjewar DN. Xanthogranulomatous salpingo-oophoritis: a case report and review of literature. Int J Reprod Contracept Obstet Gynecol 2020; 9 (10) 4316-4319
- Punia RS, Aggarwal R, , Amanjit, Mohan H. Xanthogranulomatous oophoritis and salpingitis: late sequelae of inadequately treated staphylococcal PID. Indian J Pathol Microbiol 2003; 46 (01) 80-81
- Shukla S, Pujani M, Singh SK, Pujani M. Xanthogranulomatous oophoritis associated with primary infertility and endometriosis. Indian J Pathol Microbiol 2010; 53 (01) 197-198
- Pace EH, Voet RL, Melancon JT. Xanthogranulomatous oophoritis: an inflammatory pseudotumor of the ovary. Int J Gynecol Pathol 1984; 3 (04) 398-402
- Rathore R, Chauhan S, Mendiratta S, Sharma R, Nain M, Sarin N. Xantogranulomatous salpingo oophritis, lessons learnt: report of two cases with unusual presentation. J Family Reprod Health 2017; 11 (03) 174-178
- Karigoudar M, Kushtagi A, Karigoudar R, Sirasagi A. Xanthogranulomatous oophoritis- a rare inflammatory lesion. J Krishna Inst Med Sci Univ 2013; 2: 111-115
- Carvalho AP, Braga AC, Ferreira H. Case report: xanthogranulomatous salpingo-oophoritis associated to endometriosis – are these different histologic expressions of the same disease?. F1000Research 2020; 9: 94
- Gray Y, Libbey NP. Xanthogranulomatous salpingitis and oophoritis: a case report and review of the literature. Arch Pathol Lab Med 2001; 125 (02) 260-263
- Bindu SM, Mahajan MS. Xanthogranulomatous oophoritis: a case report with review of literature. Int J Health Allied Sci 2014; 3 (03) 187
- Tzankov A, Kremer M, Leguit R. et al. Histiocytic cell neoplasms involving the bone marrow: summary of the workshop cases submitted to the 18th Meeting of the European Association for Haematopathology (EAHP) organized by the European Bone Marrow Working Group, Basel 2016. Ann Hematol 2018; 97 (11) 2117-2128
PDF
Views
Share

