Renal Cell Carcinoma in the Background of Autosomal Dominant Polycystic Kidney Disease: Report of Two Cases and Review of Literature
CC BY 4.0 · Indian J Med Paediatr Oncol 2024; 45(02): 188-193
DOI: DOI: 10.1055/s-0043-57268
Abstract
Patients with autosomal dominant polycystic kidney disease (ADPKD), especially those with renal failure, carry a higher risk of developing renal cell carcinoma (RCC) compared to the general population. Genetic mutations associated with ADPKD are known but a direct link associated with RCC is still controversial. We discuss the clinical course of two such patients. The first patient was diagnosed with ADPKD at the age of 10 years with an unreported tubulocystic RCC focus on his renal biopsy that was picked up on review 16 years later when he presented with vertebral metastases determined to have originated from the RCC. He was doing well on multikinase inhibitors till 4 years of diagnosis with metastatic disease when he succumbed to progressive disease after 3 lines of systemic therapy. The second patient was diagnosed with ADPKD in middle age and papillary RCC 3 years later. Within 3 months of cancer diagnosis, there was progression to metastatic disease and rapid decline despite systemic therapies. We surmise that the diagnosis of RCC may be missed in ADPKD till the advanced stages. Patients with ADPKD should be monitored regularly with imaging and biopsy if needed. Histology may be varied but once diagnosed, systemic therapies may help disease control.
Keywords
autosomal dominant polycystic kidney disease - tubulocystic renal cell carcinoma - papillary renal cell carcinoma - mTOR inhibitors - sunitinibEthics Approval and Consent to Participate
Written informed consent was taken from patients at the time of treatment planning for future use as long as name was not disclosed. All ethical principles according to Helsinki guidelines were followed.
Consent for Publication
Yes, written consent to participate and publish this information was taken from the patients during the treatment.
Availability of Data and Material
Data can be made available by authors on reasonable request.
Authors' Contributions
P.V. wrote the paper and collected the data. S.G. designed the work, planned the treatment of patient and follow-up, revised and approved the final manuscript. R.M. participated in clinical decision-making, helped in writing and revision of the paper. N.K. and R.S. did the histopathological examination, made the diagnosis, and helped with pathology details for the paper. K.P. and R.K. participated in clinical decisions, and reviewed the final manuscript. All the authors read and approved the final manuscript.
Supplementary MaterialPublication History
Article published online:
04 May 2023
© 2023. The Author(s). This is an open access article published by Thieme under the terms of the Creative Commons Attribution License, permitting unrestricted use, distribution, and reproduction so long as the original work is properly cited. (https://creativecommons.org/licenses/by/4.0/)
Thieme Medical and Scientific Publishers Pvt. Ltd.
A-12, 2nd Floor, Sector 2, Noida-201301 UP, India
Abstract
Patients with autosomal dominant polycystic kidney disease (ADPKD), especially those with renal failure, carry a higher risk of developing renal cell carcinoma (RCC) compared to the general population. Genetic mutations associated with ADPKD are known but a direct link associated with RCC is still controversial. We discuss the clinical course of two such patients. The first patient was diagnosed with ADPKD at the age of 10 years with an unreported tubulocystic RCC focus on his renal biopsy that was picked up on review 16 years later when he presented with vertebral metastases determined to have originated from the RCC. He was doing well on multikinase inhibitors till 4 years of diagnosis with metastatic disease when he succumbed to progressive disease after 3 lines of systemic therapy. The second patient was diagnosed with ADPKD in middle age and papillary RCC 3 years later. Within 3 months of cancer diagnosis, there was progression to metastatic disease and rapid decline despite systemic therapies. We surmise that the diagnosis of RCC may be missed in ADPKD till the advanced stages. Patients with ADPKD should be monitored regularly with imaging and biopsy if needed. Histology may be varied but once diagnosed, systemic therapies may help disease control.
Keywords
autosomal dominant polycystic kidney disease - tubulocystic renal cell carcinoma - papillary renal cell carcinoma - mTOR inhibitors - sunitinibIntroduction
Autosomal dominant polycystic kidney disease (ADPKD) is a hereditary disorder linked to mutations of PKD1 (16p) or PKD2 (4q) genes in 85%- and 15%-patients, respectively, with incidence varying from 1 in 400 to 1 in 1,000.[1] The condition is characterized by multiple renal cysts with or without extrarenal manifestations such as hepatic/pancreatic cysts and vascular abnormalities (intracranial aneurysms, aortic root aneurysms, mitral valve prolapse, etc.), with variable familial expression. Familial involvement and early renal failure are more common with PKD1 mutations.[1] [2] As the fluid-filled cysts in ADPKD replace normal renal tissue, progressive loss of renal function leading to chronic kidney disease (CKD) may develop over time.[3] There is more than twofold higher risk of developing renal cell carcinoma (RCC) in patients with ADPKD in large national databases over a 14-year follow-up period.[4] Surgical specimens of ADPKD patients on dialysis showed 5 to 12%- harboring RCC.[5] [6] A possible direct association of ADPKD with RCC is, however, controversial, and is more often deemed a coincidence except in those with end-stage renal failure where genetic mutations may trigger malignant transformation.[7]
We discuss the clinical course of two patients who presented to us with metastatic RCC with a background of ADPKD.
Case Report
Case 1
A 26 year-old male with past history of bilateral ADPKD diagnosed at the age of 10 years based on renal biopsy and on irregular follow-up with imaging, presented with left-sided abdominal pain, backache, and weight loss for 6 months. Examination revealed both hepatomegaly (15 × 10 cm) and splenomegaly (7 × 6 cm). Positron emission tomography (PET)-computed tomography (CT) demonstrated 18F-fluorodeoxyglucose (FDG) avid mass involving upper pole of left kidney (4.9 × 7.4 × 7.2 cm) with metastatic retroperitoneal lymph nodes, hepatic and D12 vertebral metastases ([Fig. 1A–E]). Magnetic resonance imaging (MRI) of spine showed a soft tissue mass involving left side of D12 vertebral body with neural foramen narrowing. Biopsy from vertebral lesion suggested metastatic papillary RCC. After review of all blood parameters that returned normal and a discussion with the patient regarding possible treatment options in intermediate risk disease, systemic therapy with sunitinib was initiated. Partial morphologic and metabolic response was observed on interim PET-CT performed after 4 months. A single fraction of palliative radiotherapy (RT; 8 Gy) was delivered when the backache recurred (approximately 9 months after initiating sunitinib). The patient experienced complete response in backache after 4 weeks. He needed evaluation for recurrent episodes of massive ascites causing breathing difficulty after 18 months of initiating sunitinib. Ascitic fluid cytology was consistently negative for malignant cells but showed hypoproteinemia, which was managed conservatively. He received palliative re-irradiation (20 Gy in 5 fractions) to dorsolumbar spine for worsening backache (1 year after initial RT). After being stable clinically and on imaging for 29 months, a follow-up PET-CT showed an increase in size and avidity of liver lesions, although bilateral renal masses did not show any disease progression. Ascites, right pleural effusion, and pericardial effusion were seen (negative for malignancy on cytology). Systemic therapy was changed to axitinib 5 mg twice daily, with symptomatic improvement and partial response at a follow-up of 15 months following initiation of axitinib. Review of renal biopsy (done at 10 years of age) and vertebral biopsy (done at diagnosis of metastatic disease) revealed that both specimens showed tubulocystic RCC (TCRC), a rare variant of RCC ([Fig. 2]).
| Fig 1 : (A) Sagittal section of contrast-enhanced computed tomography (CECT) abdomen showing bilateral polycystic kidneys (Right 26.5 × 14 cm, Left 25.5 × 13 cm) with peripheral and chunky calcification, and multiple liver cysts. (B) Sagittal and (C) axial sections of magnetic resonance images of dorsolumbar spine showing a large T2 hyperintense lobulated soft tissue metastatic lesion involving D12 vertebra on left side of body, pedicle, and transverse process with involvement of adjacent costovertebral joint, epidural space extension, cord compression, and left neural foramina narrowing at D11-12 and D12-L1 levels. (D) Axial sections of corresponding positron emission tomography (PET)-CECT images showing multiple cystic liver metastases with fluorodeoxyglucose (FDG) uptake, largest in right lobe (largest11.2 × 7.3 cm) with peripheral enhancement on arterial phase, and (E) multiple bilateral renal cystic masses with soft tissue component and FDG avidity, and left D12 vertebral metastases. (F) Axial PET-CECT image on follow-up showing progressive necrotic liver metastases; many new liver lesions had developed (not shown in image), and (G) progression in extent of D12 vertebral lesion and soft tissue component with cord compression.
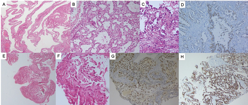
| Figure 2: (A) Renal biopsy specimen obtained at the age of 10 years with a clinical diagnosis of autosomal dominant polycystic kidney disease. (A) Low power images of kidney biopsy showing cystic spaces separated by fibrous septae. (B) At places they are mixed with closely packed tubules. (C) Lining cells are lined by cuboidal cells showing prominent hobnailing with uniform nuclei, minimal atypia, and mitosis. (D) These tumor cells are positive for alpha methyacyl CoA racemase (AMACR) immunostains. At the age of 26 years, the patient was evaluated for low backache and biopsy from D12 vertebral soft tissue mass was obtained. (E) Small biopsy fragments showing metastatic deposit of tumor with same morphology as renal biopsy taken 16 years ago. (F) High power shows hobnailing, with abundant eosinophilic cytoplasm and low atypia and mitosis. (G) These cells show nuclear staining for PAX8, and (H) cytoplasmic staining for AMACR.
After 1 year of stable disease on axitinib, he developed visible and palpable increase in the soft tissue mass on his back at D12 level, but no change in power or sensorium of lower limbs. His Karnofsky Performance Status was 80 with no new symptoms. Repeat PET-CT showed new liver lesions, new retroperitoneal nodes, progression of D12 vertebral lesion with cord compression, and persistent pleural effusion ([Fig. 1F, G]). Neurosurgical intervention for decompression was sought but not considered due to overall poor prognosis of the disease. Treatment options including immunotherapy and tyrosine kinase inhibitors were discussed, and the patient opted for third-line therapy with cabozantinib 60 mg daily. Palliative radiation therapy (12 Gy in 4 fractions) was given after discussion of risks of demyelination. The vertebral disease responded to palliative RT and the visible bulge on his back disappeared, but he developed a seizure episode and progressive weakness of lower limbs within 4 weeks of palliative RT. MRI brain ruled out any intracranial cause for the weakness and renal/liver functions and electrolytes were normal. His oral intake progressively declined and he was unable to tolerate cabozantinib; a dose reduction was attempted but he could not continue the drug due to continuous decline in intake and general health. He succumbed to progressive disease and cachexia within 3.5 months of palliative RT, and approximately 4 years from the first diagnosis of metastatic disease.
Case 2
A 56 year-old-patient, diagnosed radiologically to have ADPKD while being evaluated for hypertension 3 years previously, presented with oliguria for 3 months and azotemia (serum creatinine 11.87 mg/dL) with a diagnosis of CKD stage V on maintenance hemodialysis two to three times per week. Ultrasound and CT abdomen suggested bilateral renal exophytic, solid-cystic lesions, suggestive of RCC ([Supplementary Fig. S1]). In view of preexisting poor renal function, bilateral laparoscopic radical nephrectomy was performed. On histopathology, left upper pole renal mass was suggestive of papillary RCC, type1 (pT1N0) with ADPKD. Right renal mass showed oncocytoma with ADPKD. Six months postoperatively, he developed extensive skeletal and abdominal nodal metastases. He was determined to have intermediate risk disease. Systemic therapy with pazopanib was initiated but within 6 months, there was progression of bony lesions and development of new pulmonary nodules and pleural effusion. He received palliative RT to painful pelvic bone metastases (8 Gy in single fraction) and switched to second-line therapy with lenvatinib/everolimus combination. However, there was rapid deterioration in his general health, and he succumbed to his illness within 3 months of initiating second-line systemic therapy.
Discussion
The first description of RCC and ADPKD together was given in 1934 by Walter and Braasch.[8] Since then, over 60 cases of this association have been published in English literature.
The diagnosis of RCC in a background of ADPKD poses several challenges. An evolving focus of RCC in a background of multiple renal cysts and distorted architecture may be difficult to discern in early stages even on regular follow-up. Many patients have end-stage renal disease and may not have any additional symptoms related to malignancy before progression to advanced disease or development of metastases. Symptoms from malignancy such as pain, hematuria, mass effect, or hypertension may be confused with cyst rupture or hemorrhage.
A literature review of 25 cases of RCC in background of ADPKD compared to RCC in general population reported no gender predilection, earlier age at presentation (45 vs. 61 years), higher occurrence of fever as a presenting symptom (32%-vs. 7%), with higher incidence of bilaterality, multicentricity, and sarcomatoid features.[9]
Surgical series in ADPKD have also documented multifocality and bilateral renal involvement with RCC. Papillary and clear cell RCC were the most common reported pathologic diagnoses in these series and nearly a third of patients had more than one histologic subtype.[5] [6] Metastatic disease is noted in nearly 20 to 23%-patients with RCC in the setting of ADPKD, possibly due to a delay in diagnosis.[9] [10]
Distinguishing new RCC within ADPKD is particularly challenging. The only definitive suspicion could arise from symptoms and findings related to metastatic disease. Ultrasound of kidneys may show complex cysts with or without internal debris or hemorrhage. ADPKD cysts have variable size and appearance on CT or MRI. Hemorrhage within these cysts can appear as higher density on CT or high intensity on MRI. However, none of these features are specific to development of malignancy. A serial change in appearance of a cystic lesion (more asymmetry, parenchymal change, or appearance of solid component) may indicate a malignant change. Contrast enhancement within the cyst wall that is thick and irregular, enlarged renal vein or inferior vena cava indicating possible venous tumor thrombus, para-aortic lymphadenopathy, or other lesions in liver or soft tissues may be soft pointers toward RCC. MRI may show high signal on T1-weighted images, low signal on T2, and diffusion restriction on diffusion-weighted imaging; these findings may also occur in cyst infections, and if fever is the presenting symptom, there may be more confusion than clarity.[10] [11] When suspicion is high and both CT and MRI are indeterminate, open biopsy or nephrectomy may be necessary to exclude malignancy. Role of PET-contrast-enhanced CT (CECT) in diagnosis is also limited since kidneys physiologically excrete FDG as well and malignant cysts may not appear very different from ADPKD cysts and FDG uptake is only slightly higher than normal renal parenchymal uptake; however, it is definitely useful in metastatic disease.[12] Despite advances in imaging, most of the RCCs are noted not on imaging but incidentally at autopsy, nephrectomy before kidney transplant, or during excision of symptomatic cysts. Among our patients, case 1 was picked up due to metastatic disease; however, renal function was normal. Case 2 had end-stage renal disease and diagnosed with RCC within 3 years of CKD. The diagnosis of renal masses on CT in case 1 was challenging but PET-CECT helped in distinguishing malignant cysts from ADPKD cysts, while in case 2, the renal tumors were solid and exophytic on CT.
On biopsy, normal kidney, ADPKD cells, and RCC cells may be differentiated on morphology. ADPKD cysts may be seen as fluid-filled abnormal cavities or membrane-lined sacs with compression of adjacent parenchyma. The fluid arises from glomerular filtrate. In RCC, however, the cyst fluid may show neoplastic cells.[13] Both ADPKD and RCC may have overexpression of vascular endothelial growth factor (VEGF) and its receptors. Hypoxia is seen in both with consequent overexpression of hypoxia inducible factor-1-alpha signaling. In ADPKD as well as RCC, cyst and tumor cell growth and proliferation may be related to two important pathways: PI3K/AKT/mammalian target of rapamycin (mTOR) and Ras/Raf/ERK.
Additionally, majority of polycystic kidney tissue expresses the epithelial developmental antigen Exo1 while normal kidney and RCC do not.[14] RCC cells have highly increased expression of epidermal growth factor receptor and transforming growth factor-alpha; these are also expressed in ADPKD and normal kidney but to a much lesser degree.
The postulated hypotheses of RCC development in ADPKD include chronic renal injury favoring renal parenchymal genetic mutations with consequent malignant change, or hyperproliferation in ADPKD acting as a precursor to RCC.[15] [16] None of these theories have been substantiated yet. Some studies also demonstrate increased apoptosis in cystic and noncystic structures in ADPKD, negating the malignant potential in this condition.[17]
Clinical series documenting the clinical course of RCC in ADPKD are sparse. A Japanese study of 10 patients with a mean age of 61.2 years (80%-men) and on hemodialysis for a mean of 11.2 years showed that clear cell carcinoma was the most common histologic subtype.[15] Three patients had bilateral disease, and four had multiple metastases. At a median follow-up of 20 months, 60%-had died.
TCRC is a recently established rare histologic type recognized by the American Joint Committee on Cancer in 2010 and formally included as an independent subtype of RCC classification by The World Health Organization in 2016.[18] [19] These tumors were earlier clubbed with collecting duct carcinomas, but now deemed a distinct entity, with a male predilection, indolent behavior, and diagnosis at early stage. Immunohistochemistry with vimentin, p53, and alpha methyacyl CoA racemase overexpression and negative high molecular weight cytokeratin, distinguishes them from other RCCs.[20] Metastases are rare and reported in less than 5 cases of the total 80 cases reported so far. Case 1 in this report is the first instance of an association between the rare TCRC and ADPKD. Indolent behavior is evident in this case—although TCRC was not identified initially in biopsy at 10 years and noted in biopsy review later, metastases took nearly 16 years to develop without any anticancer therapy. Surgery is the recommended therapy for TCRC. Targeted therapy has no documented role but a few case reports suggest partial response to sunitinib and everolimus.[21] The role of RT in RCC is largely palliative (for control of brain metastases or painful bone metastases) except in situations where oligometastatic disease is present and may be addressed with stereotactic body radiation therapy with or without immunotherapy.[22]
The surgical and pathology details of the second case have been discussed in a prior publication.[23] Association with papillary RCC has been hypothesized due to pathologic similarity of papillary epithelial cells to cyst lining hyperplastic cells that often manifest papillary-like change.[24] Although papillary RCC is believed to have a better prognosis than clear cell RCC, our patient (case 2) developed metastases fairly early (within 6 months of diagnosis).
Treatment for localized RCC in ADPKD would essentially include surgical management—partial nephrectomy in those with normal renal function and radical nephrectomy, often bilateral, for those with end-stage renal disease on dialysis. Some authors suggest that detection of RCC in one kidney in ADPKD should prompt aggressive search for tumor in the opposite kidney as well.[25] Patients who are not candidates for surgery may be considered for other local ablative therapies such as radiofrequency ablation to the gross tumor.[26] Follow-up for recurrence is again as big a challenge as initial diagnosis but periodic imaging (abdominal CT) is recommended. The European Society of Medical Oncology guidelines recommend annual CT scan of chest and abdomen in low-risk patients and CT every 3 to 6 months for initial 2 years in high-risk patients. Metastatic RCC patients on systemic therapy should undergo CT imaging every 2 to 4 months.[27] Systemic therapy for patients with metastatic disease is guided by the International Metastatic Renal Cell Carcinoma Database Consortium (IMDC) risk classification, comorbidities, and financial arrangements of insurance or reimbursement (especially if immunotherapy is being considered).
mTOR pathway undergoes activation after acute renal injury (or diabetes, progressive renal disease, etc.) and is responsible for repair and regeneration of injured renal tissue.[28] mTOR is inappropriately active in renal epithelial cells lining the cyst walls in ADPKD and mediates formation and enlargement of cysts. In normal kidneys, mTOR pathway inhibitors delay renal function recovery after acute insult, leading to chronic renal disease. In ADPKD, however, mTOR inhibitors have shown reduction in cyst volume and slowing of renal function decline.[29] mTOR inhibitors are also shown to be effective either alone or in combination with VEGF-targeted agents in metastatic RCC. Theoretically, this should be the preferred therapy especially in nonclear cell poor risk RCCs in background of ADPKD because of their dual activity.[30]
Both our patients received VEGF-targeted therapy as first line—case 1 due to financial challenges with immunotherapy chose oral tyrosine kinase inhibitor even for second and third line; moreover, the diagnosis of TCRC does not have a clearly defined systemic therapy. Our first patient did reasonably well on two lines of multikinase inhibitor therapy but progressed rapidly on third line, while the second patient had a rapid decline following initiation of second-line therapy that included mTOR inhibitor.
Conclusion
RCC in background of ADPKD is a difficult diagnosis and needs a high index of suspicion for clinical symptoms and signs, as well as imaging findings on screening of patients with known ADPKD. The association seems sporadic at present although several genetic mutations and pathways are being explored. RCCs in ADPKD kidneys are more often bilateral, multicentric, and metastatic compared to those in general population. Although various histologic types are described, the association of ADPKD with TCRC has been described for the first time in this report. Management of ADPKD essentially includes surveillance for renal function, and dialysis if CKD develops. RCC local management is guided by stage at diagnosis and baseline renal function, and systemic therapy by IMDC risk group as well as logistics. For those with localized disease and preserved renal function, partial nephrectomy is considered with surveillance imaging for recurrence.
Conflict of Interest
None declared.
Acknowledgments
None declared.
Ethics Approval and Consent to Participate
Written informed consent was taken from patients at the time of treatment planning for future use as long as name was not disclosed. All ethical principles according to Helsinki guidelines were followed.
Consent for Publication
Yes, written consent to participate and publish this information was taken from the patients during the treatment.
Availability of Data and Material
Data can be made available by authors on reasonable request.
Authors' Contributions
P.V. wrote the paper and collected the data. S.G. designed the work, planned the treatment of patient and follow-up, revised and approved the final manuscript. R.M. participated in clinical decision-making, helped in writing and revision of the paper. N.K. and R.S. did the histopathological examination, made the diagnosis, and helped with pathology details for the paper. K.P. and R.K. participated in clinical decisions, and reviewed the final manuscript. All the authors read and approved the final manuscript.
Supplementary Material
References
-
Torres VE, Harris PC, Pirson Y. Autosomal dominant polycystic kidney disease. Lancet 2007; 369 (9569): 1287-1301
- Barua M, Cil O, Paterson AD. et al. Family history of renal disease severity predicts the mutated gene in ADPKD. J Am Soc Nephrol 2009; 20 (08) 1833-1838
- Seeger-Nukpezah T, Geynisman DM, Nikonova AS, Benzing T, Golemis EA. The hallmarks of cancer: relevance to the pathogenesis of polycystic kidney disease. Nat Rev Nephrol 2015; 11 (09) 515-534
- Violo L, De Francesco M, Schoenholzer C. Risk of cancer in patients with polycystic kidney disease. Lancet Oncol 2016; 17 (11) e475
- Jilg CA, Drendel V, Bacher J. et al. Autosomal dominant polycystic kidney disease: prevalence of renal neoplasias in surgical kidney specimens. Nephron Clin Pract 2013; 123 (1-2): 13-21
- Hajj P, Ferlicot S, Massoud W. et al. Prevalence of renal cell carcinoma in patients with autosomal dominant polycystic kidney disease and chronic renal failure. Urology 2009; 74 (03) 631-634
- Orskov B, Sørensen VR, Feldt-Rasmussen B, Strandgaard S. Changes in causes of death and risk of cancer in Danish patients with autosomal dominant polycystic kidney disease and end-stage renal disease. Nephrol Dial Transplant 2012; 27 (04) 1607-1613
- Walters W, Braasch WF. Surgical aspects of polycystic kidney. Surg Gynecol Obstet 1934; 58: 647-650
- Keith DS, Torres VE, King BF, Zincki H, Farrow GM. Renal cell carcinoma in autosomal dominant polycystic kidney disease. J Am Soc Nephrol 1994; 4 (09) 1661-1669
- Hakozaki Y, Uchiyama K, Yanai A, Yamada D, Kamijo Y, Ishibashi Y. Sarcomatoid renal cell carcinoma with autosomal dominant polycystic kidney disease: a case report and literature review. CEN Case Rep 2021; 10 (02) 199-207
- Zeile M, Andreou D, Poellinger A, Tunn PU, Dudeck O. Identification of the primary tumour with the help of diffusion-weighted MRI in a patient with autosomal dominant polycystic kidney disease and metastatic renal cell carcinoma. Br J Radiol 2011; 84 (1003): e142-e145
- Fuser D, Hedberg ML, Dehner LP, Dehdashti F, Siegel BA. Extensive metastatic sarcomatoid renal cell carcinoma evaluated by 18F-FDG PET/CT: a case report and review of literature. J Kidney Cancer VHL 2018; 5 (01) 1-6
- Millet-Boureima C, He S, Le TBU, Gamberi C. Modeling neoplastic growth in renal cell carcinoma and polycystic kidney disease. Int J Mol Sci 2021; 22 (08) 3918
- Klingel R, Dippold W, Störkel S, Meyer zum Büschenfelde KH, Köhler H. Expression of differentiation antigens and growth-related genes in normal kidney, autosomal dominant polycystic kidney disease, and renal cell carcinoma. Am J Kidney Dis 1992; 19 (01) 22-30
- Nishimura H, Ubara Y, Nakamura M. et al. Renal cell carcinoma in autosomal dominant polycystic kidney disease. Am J Kidney Dis 2009; 54 (01) 165-168
- Na KY, Kim HS, Park YK, Chang SG, Kim YW. Multifocal renal cell carcinoma of different histological subtypes in autosomal dominant polycystic kidney disease. Korean J Pathol 2012; 46 (04) 382-386
- Ibrahim S. Increased apoptosis and proliferative capacity are early events in cyst formation in autosomal-dominant, polycystic kidney disease. ScientificWorldJournal 2007; 7: 1757-1767
- Edge SB, Byrd DR, Compton CC. et al, eds. AJCC Cancer Staging Manual. 7th ed. New York: Springer; 2010
- Moch H, Cubilla AL, Humphrey PA, Reuter VE, Ulbright TM. The 2016 WHO classification of tumours of the urinary system and male genital organs-part a: renal, penile, and testicular tumours. Eur Urol 2016; 70 (01) 93-105
- Cimadamore A, Cheng L, Scarpelli M. et al. Towards a new WHO classification of renal cell tumor: what the clinician needs to know - a narrative review. Transl Androl Urol 2021; 10: 1506-1520
- Kimura Y, Funahashi Y, Kato M, Fujita T, Tsuruta K, Gotoh M. Metastatic tubulocystic renal cell carcinoma treated with targeted therapies. J Urol Res. 2014; 1: 1013
- Sun X, Gan L, Na A, Ge L, Chen B, Liu J. Combination with stereotactic body radiotherapy offers a promising strategy to overcome resistance to immunotherapy in advanced renal cell cancer. J Oncol 2019; 2019: 1483406
- Thummala Y, Parmar K, Mathew J, Tyagi S, Kumar S. Bilateral laparoscopic nephrectomy in autosomal dominant polycystic kidney disease with bilateral renal masses: a feasible option. J Endourol Case Rep 2020; 6 (04) 353-357
- Huh H, Jo HA, Yi Y. et al. Xp11.2 translocation renal cell carcinoma in the autosomal dominant polycystic kidney disease patient with preserved renal function. Korean J Intern Med (Korean Assoc Intern Med) 2017; 32 (06) 1108-1111
- Soderdahl DW, Thrasher JB, Hansberry KL. Bilateral renal cell carcinoma in autosomal dominant polycystic kidney disease. A case report and literature review. Am J Nephrol 1997; 17 (01) 96-99
- Xu L, Rong Y, Wang W. et al. Percutaneous radiofrequency ablation with contrast-enhanced ultrasonography for solitary and sporadic renal cell carcinoma in patients with autosomal dominant polycystic kidney disease. World J Surg Oncol 2016; 14 (01) 193
- Kanesvaran R, Porta C, Wong A. et al. Pan-Asian adapted ESMO Clinical Practice Guidelines for the diagnosis, treatment and follow-up of patients with renal cell carcinoma. ESMO Open 2021; 6 (06) 100304
- Lieberthal W, Levine JS. The role of the mammalian target of rapamycin (mTOR) in renal disease. J Am Soc Nephrol 2009; 20 (12) 2493-2502
- Canaud G, Knebelmann B, Harris PC. et al. Therapeutic mTOR inhibition in autosomal dominant polycystic kidney disease: what is the appropriate serum level?. Am J Transplant 2010; 10 (07) 1701-1706
- Harshman LC, Kroeger N, Rha SY. et al. First-line mammalian target of rapamycin inhibition in metastatic renal cell carcinoma: an analysis of practice patterns from the International Metastatic Renal Cell Carcinoma Database Consortium. Clin Genitourin Cancer 2014; 12 (05) 335-340
Address for correspondence
Publication History
Article published online:
04 May 2023
© 2023. The Author(s). This is an open access article published by Thieme under the terms of the Creative Commons Attribution License, permitting unrestricted use, distribution, and reproduction so long as the original work is properly cited. (https://creativecommons.org/licenses/by/4.0/)
Thieme Medical and Scientific Publishers Pvt. Ltd.
A-12, 2nd Floor, Sector 2, Noida-201301 UP, India
| Fig 1 : (A) Sagittal section of contrast-enhanced computed tomography (CECT) abdomen showing bilateral polycystic kidneys (Right 26.5 × 14 cm, Left 25.5 × 13 cm) with peripheral and chunky calcification, and multiple liver cysts. (B) Sagittal and (C) axial sections of magnetic resonance images of dorsolumbar spine showing a large T2 hyperintense lobulated soft tissue metastatic lesion involving D12 vertebra on left side of body, pedicle, and transverse process with involvement of adjacent costovertebral joint, epidural space extension, cord compression, and left neural foramina narrowing at D11-12 and D12-L1 levels. (D) Axial sections of corresponding positron emission tomography (PET)-CECT images showing multiple cystic liver metastases with fluorodeoxyglucose (FDG) uptake, largest in right lobe (largest11.2 × 7.3 cm) with peripheral enhancement on arterial phase, and (E) multiple bilateral renal cystic masses with soft tissue component and FDG avidity, and left D12 vertebral metastases. (F) Axial PET-CECT image on follow-up showing progressive necrotic liver metastases; many new liver lesions had developed (not shown in image), and (G) progression in extent of D12 vertebral lesion and soft tissue component with cord compression.
| Figure 2: (A) Renal biopsy specimen obtained at the age of 10 years with a clinical diagnosis of autosomal dominant polycystic kidney disease. (A) Low power images of kidney biopsy showing cystic spaces separated by fibrous septae. (B) At places they are mixed with closely packed tubules. (C) Lining cells are lined by cuboidal cells showing prominent hobnailing with uniform nuclei, minimal atypia, and mitosis. (D) These tumor cells are positive for alpha methyacyl CoA racemase (AMACR) immunostains. At the age of 26 years, the patient was evaluated for low backache and biopsy from D12 vertebral soft tissue mass was obtained. (E) Small biopsy fragments showing metastatic deposit of tumor with same morphology as renal biopsy taken 16 years ago. (F) High power shows hobnailing, with abundant eosinophilic cytoplasm and low atypia and mitosis. (G) These cells show nuclear staining for PAX8, and (H) cytoplasmic staining for AMACR.
References
-
Torres VE, Harris PC, Pirson Y. Autosomal dominant polycystic kidney disease. Lancet 2007; 369 (9569): 1287-1301
- Barua M, Cil O, Paterson AD. et al. Family history of renal disease severity predicts the mutated gene in ADPKD. J Am Soc Nephrol 2009; 20 (08) 1833-1838
- Seeger-Nukpezah T, Geynisman DM, Nikonova AS, Benzing T, Golemis EA. The hallmarks of cancer: relevance to the pathogenesis of polycystic kidney disease. Nat Rev Nephrol 2015; 11 (09) 515-534
- Violo L, De Francesco M, Schoenholzer C. Risk of cancer in patients with polycystic kidney disease. Lancet Oncol 2016; 17 (11) e475
- Jilg CA, Drendel V, Bacher J. et al. Autosomal dominant polycystic kidney disease: prevalence of renal neoplasias in surgical kidney specimens. Nephron Clin Pract 2013; 123 (1-2): 13-21
- Hajj P, Ferlicot S, Massoud W. et al. Prevalence of renal cell carcinoma in patients with autosomal dominant polycystic kidney disease and chronic renal failure. Urology 2009; 74 (03) 631-634
- Orskov B, Sørensen VR, Feldt-Rasmussen B, Strandgaard S. Changes in causes of death and risk of cancer in Danish patients with autosomal dominant polycystic kidney disease and end-stage renal disease. Nephrol Dial Transplant 2012; 27 (04) 1607-1613
- Walters W, Braasch WF. Surgical aspects of polycystic kidney. Surg Gynecol Obstet 1934; 58: 647-650
- Keith DS, Torres VE, King BF, Zincki H, Farrow GM. Renal cell carcinoma in autosomal dominant polycystic kidney disease. J Am Soc Nephrol 1994; 4 (09) 1661-1669
- Hakozaki Y, Uchiyama K, Yanai A, Yamada D, Kamijo Y, Ishibashi Y. Sarcomatoid renal cell carcinoma with autosomal dominant polycystic kidney disease: a case report and literature review. CEN Case Rep 2021; 10 (02) 199-207
- Zeile M, Andreou D, Poellinger A, Tunn PU, Dudeck O. Identification of the primary tumour with the help of diffusion-weighted MRI in a patient with autosomal dominant polycystic kidney disease and metastatic renal cell carcinoma. Br J Radiol 2011; 84 (1003): e142-e145
- Fuser D, Hedberg ML, Dehner LP, Dehdashti F, Siegel BA. Extensive metastatic sarcomatoid renal cell carcinoma evaluated by 18F-FDG PET/CT: a case report and review of literature. J Kidney Cancer VHL 2018; 5 (01) 1-6
- Millet-Boureima C, He S, Le TBU, Gamberi C. Modeling neoplastic growth in renal cell carcinoma and polycystic kidney disease. Int J Mol Sci 2021; 22 (08) 3918
- Klingel R, Dippold W, Störkel S, Meyer zum Büschenfelde KH, Köhler H. Expression of differentiation antigens and growth-related genes in normal kidney, autosomal dominant polycystic kidney disease, and renal cell carcinoma. Am J Kidney Dis 1992; 19 (01) 22-30
- Nishimura H, Ubara Y, Nakamura M. et al. Renal cell carcinoma in autosomal dominant polycystic kidney disease. Am J Kidney Dis 2009; 54 (01) 165-168
- Na KY, Kim HS, Park YK, Chang SG, Kim YW. Multifocal renal cell carcinoma of different histological subtypes in autosomal dominant polycystic kidney disease. Korean J Pathol 2012; 46 (04) 382-386
- Ibrahim S. Increased apoptosis and proliferative capacity are early events in cyst formation in autosomal-dominant, polycystic kidney disease. ScientificWorldJournal 2007; 7: 1757-1767
- Edge SB, Byrd DR, Compton CC. et al, eds. AJCC Cancer Staging Manual. 7th ed. New York: Springer; 2010
- Moch H, Cubilla AL, Humphrey PA, Reuter VE, Ulbright TM. The 2016 WHO classification of tumours of the urinary system and male genital organs-part a: renal, penile, and testicular tumours. Eur Urol 2016; 70 (01) 93-105
- Cimadamore A, Cheng L, Scarpelli M. et al. Towards a new WHO classification of renal cell tumor: what the clinician needs to know - a narrative review. Transl Androl Urol 2021; 10: 1506-1520
- Kimura Y, Funahashi Y, Kato M, Fujita T, Tsuruta K, Gotoh M. Metastatic tubulocystic renal cell carcinoma treated with targeted therapies. J Urol Res. 2014; 1: 1013
- Sun X, Gan L, Na A, Ge L, Chen B, Liu J. Combination with stereotactic body radiotherapy offers a promising strategy to overcome resistance to immunotherapy in advanced renal cell cancer. J Oncol 2019; 2019: 1483406
- Thummala Y, Parmar K, Mathew J, Tyagi S, Kumar S. Bilateral laparoscopic nephrectomy in autosomal dominant polycystic kidney disease with bilateral renal masses: a feasible option. J Endourol Case Rep 2020; 6 (04) 353-357
- Huh H, Jo HA, Yi Y. et al. Xp11.2 translocation renal cell carcinoma in the autosomal dominant polycystic kidney disease patient with preserved renal function. Korean J Intern Med (Korean Assoc Intern Med) 2017; 32 (06) 1108-1111
- Soderdahl DW, Thrasher JB, Hansberry KL. Bilateral renal cell carcinoma in autosomal dominant polycystic kidney disease. A case report and literature review. Am J Nephrol 1997; 17 (01) 96-99
- Xu L, Rong Y, Wang W. et al. Percutaneous radiofrequency ablation with contrast-enhanced ultrasonography for solitary and sporadic renal cell carcinoma in patients with autosomal dominant polycystic kidney disease. World J Surg Oncol 2016; 14 (01) 193
- Kanesvaran R, Porta C, Wong A. et al. Pan-Asian adapted ESMO Clinical Practice Guidelines for the diagnosis, treatment and follow-up of patients with renal cell carcinoma. ESMO Open 2021; 6 (06) 100304
- Lieberthal W, Levine JS. The role of the mammalian target of rapamycin (mTOR) in renal disease. J Am Soc Nephrol 2009; 20 (12) 2493-2502
- Canaud G, Knebelmann B, Harris PC. et al. Therapeutic mTOR inhibition in autosomal dominant polycystic kidney disease: what is the appropriate serum level?. Am J Transplant 2010; 10 (07) 1701-1706
- Harshman LC, Kroeger N, Rha SY. et al. First-line mammalian target of rapamycin inhibition in metastatic renal cell carcinoma: an analysis of practice patterns from the International Metastatic Renal Cell Carcinoma Database Consortium. Clin Genitourin Cancer 2014; 12 (05) 335-340
PDF
Views
Share

